非酒精性脂肪性肝病(Non-alcoholic fatty liver disease,NAFLD)是世界范围内一种主要的肝脏疾病亚型,与胰岛素抵抗和肥胖密切相关。NAFLD的特点是肝脏脂质累积过多以及肝脂肪变性。非诺贝特是一种广泛应用于临床的过氧化物酶体增殖物激活受体α激动剂,可有效改善NAFLD的发生发展,但其作用机制尚不完全清楚。在这里,作者发现非诺贝特可调节高脂饮食(HFD)诱导的NAFLD小鼠模型肠道微生物群的组成,且肠道菌群组成的变化依赖于TFEB-自噬轴。此外,还发现非诺贝特显著改善肝脂肪变性,并激活自噬调节因子TFEB的活性。可见非诺贝特对NAFLD的改善作用依赖于TFEB-自噬轴。
昆明医科大学第一附属医院马岚青课题组在European Journal of Pharmacology上,发表了题为“ Fenofibrate improves hepatic steatosis, insulin resistance, and shapes the gut microbiome via TFEB-autophagy in NAFLD mice”的原创性研究论文。该研究采用源井生物构建的敲低TFEB基因的腺相关病毒,深入阐明了TFEB-自噬途径在非诺贝特治疗NAFLD的潜在机制[1]。
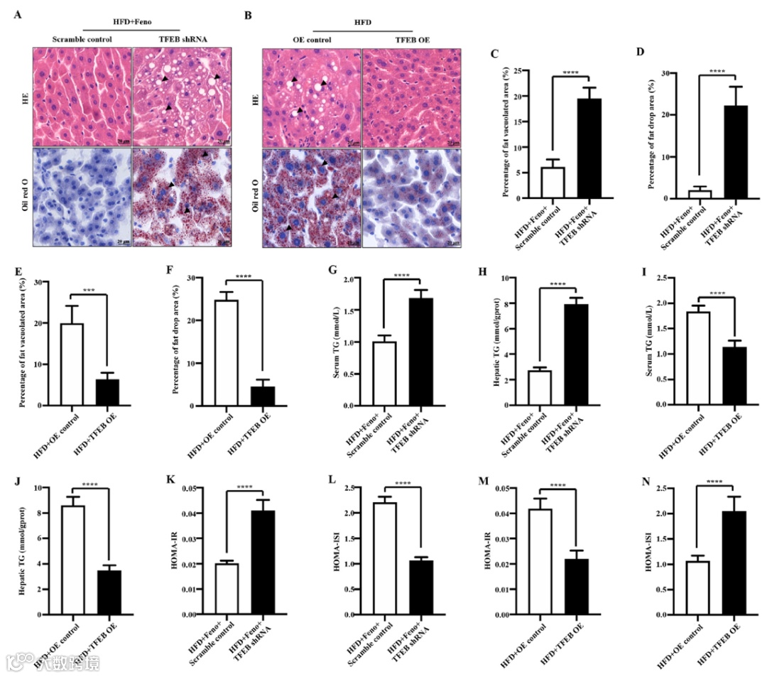
在这项研究中,作者使用源井生物构建的过表达或敲低TFEB基因的腺相关病毒构建基因干预小鼠模型。探究TFEB-自噬途径在非诺贝特改善NAFLD中的作用机制。如图1的结果显示当TFEB肝脏特异性敲低后,非诺贝特对NAFLD小鼠肝脏的激活作用受到抑制,而TFEB过表达可增加NAFLD小鼠肝脏中的自噬活性。如图2的结果显示非诺贝特改善NAFLD小鼠的肝脏脂肪变性,降低甘油三酯水平和胰岛素抵抗程度依赖于TFEB的表达。图3结果显示宿主基因TFEB影响肠道菌群的组成。
图1 非诺贝特通过TFEB诱导NAFLD小鼠肝脏的自噬
图2 非诺贝特通过TFEB改善NAFLD小鼠的肝脂肪变性,降低甘油三酯水平和胰岛素抵抗程度
图3 非诺贝特通过TFEB-自噬途径影响微生物群落的组成
综上所述,此研究表明宿主基因可能会影响肠道微生态并强调了TFEB-自噬在改善NAFLD中的作用。这项工作扩展了对宿主和肠道菌群之间的相互调节作用的理解,并为减轻肥胖提供新的思路。
源井生物提供病毒载体定制及包装服务,可用于动物定位注射和整体注射实验。欢迎咨询!
联系电话:18054268871,微信同号
[1] Zhang D, Ma Y, Liu J, Wang D, Geng Z, Wen D, Chen H, Wang H, Li L, Zhu X, Wang X, Huang M, Zou C, Chen Y, Ma L. Fenofibrate improves hepatic steatosis, insulin resistance, and shapes the gut microbiome via TFEB-autophagy in NAFLD mice. Eur J Pharmacol. 2023 Dec 5;960:176159. doi: 10.1016/j.ejphar.2023.176159.
关注我们get更多基因编辑细胞干货和福利!



