2025年9月,中日友好医院曹彬教授团队在 Signal Transduction and Targeted Therapy 在线发表最新研究成果,系统阐述了跨膜蛋白 Ninjurin-1(NINJ1) 在甲型流感病毒(IAV)感染过程中发挥的关键作用。源井生物为该研究提供了NINJ1 Knockout cell line (A549)、NINJ1 Knockout cell line (THP-1)敲除细胞系模型支持。
研究发现,NINJ1并不决定IAV感染诱导的PANoptosis(细胞程序性坏死复合途径)的发生与进程,但却是最终细胞膜破裂及损伤相关分子模式(DAMPs)释放的关键执行分子。其活化导致炎症因子的释放,并部分调控IL-1β的分泌,从而加剧宿主炎症反应。在小鼠模型中,NINJ1缺失显著减轻了流感病毒感染引起的肺组织免疫病理损伤,并提高了存活率。同时,单细胞测序分析揭示:单核/巨噬细胞中NINJ1的高表达与COVID-19患者的疾病严重程度及不良预后密切相关。该研究不仅揭示了NINJ1作为病毒感染下游关键效应分子的作用机制,也提示其作为病毒性肺炎潜在治疗靶点和生物标志物的应用前景。这一发现为理解病毒感染相关的PANoptosis和炎症反应提供了新的视角,并为未来临床干预策略的发展奠定了重要基础。
一.研究背景
二.研究结果
1. IAV感染诱导NINJ1表达上调,并与疾病严重程度相关
研究首先证实,IAV感染能够显著上调 NINJ1 的表达。具体表现为:在小鼠肺组织及骨髓来源的巨噬细胞(BMDMs)中,NINJ1水平均明显升高。单细胞转录组测序进一步揭示,这一上调主要集中在髓系细胞群体(如巨噬细胞和中性粒细胞)中。值得注意的是,在致死剂量感染条件下,NINJ1的表达远高于非致死剂量感染,提示其表达水平与疾病严重程度密切相关。
2. NINJ1寡聚化与PANoptosis进程同步,并介导细胞裂解
在IAV感染的骨髓来源巨噬细胞(BMDMs)中,研究发现 NINJ1的寡聚化(其活化标志) 与PANoptosis相关分子事件高度同步,包括 GSDMD切割、MLKL磷酸化和Caspase激活。这一结果提示,NINJ1的活化与PANoptosis的进程密切耦合。通过Ninj1⁻/⁻细胞进一步验证,研究团队确认 NINJ1是IAV诱导细胞膜破裂及DAMPs(如LDH、HMGB1)释放的必要分子。然而,NINJ1缺失并未影响细胞死亡的总体发生率,说明其主要功能是执行细胞死亡的终末破裂步骤,而非启动程序性死亡信号。
一个关键发现是,在IAV诱导的PANoptosis背景下,NINJ1缺失可显著降低IL-1β的释放,而GSDMD缺失并不产生类似效应。这表明,在PANoptosis过程中,细胞因子的释放调控机制具有 通路特异性,与经典焦亡模型中“GSDMD主导IL-1β释放”的认识存在差异。
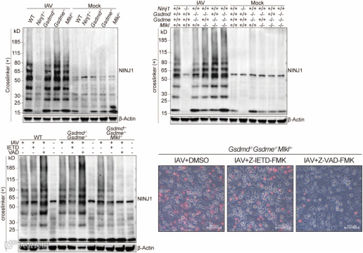
3. NINJ1的激活依赖于ZBP1,且可由任一PANoptosis通路触发
已有研究表明,ZBP1通过感知病毒Z-RNA可启动流感感染中的细胞死亡。本研究进一步证实,NINJ1的寡聚化及其介导的细胞破裂完全依赖于ZBP1。然而,机制探索显示:即便在 Gsdmd、Gsdme 和 Mlkl 同时敲除的条件下,焦亡与坏死性凋亡通路均被阻断,残余的凋亡通路依然能够激活NINJ1并触发细胞裂解。只有在进一步应用caspase抑制剂阻断凋亡时,NINJ1的寡聚化与活化才被完全抑制。
这一结果表明,PANoptosis中的三条经典细胞死亡通路在激活NINJ1时具有高度冗余性:任何一条通路的激活都足以驱动最终的细胞膜破裂。因此,在PANoptosis背景下,凋亡的激活并不等同于传统意义上的“非炎性细胞死亡”,而是能够通过NINJ1转化为炎性、破裂性的死亡过程。
4. 动物模型验证:NINJ1缺失提供独特保护表型
在体内实验中,Ninj1⁻/⁻ 小鼠在致死剂量IAV攻击下表现出 显著提高的生存率和减轻的肺组织病理损伤。支气管肺泡灌洗液(BALF)分析显示,其 蛋白渗漏 及关键炎症因子(IL-1β、IL-6、TNF-α)水平均明显下降,而肺部病毒载量并未受到影响。有趣的是,与此前文献报道不符,在本研究的实验条件下,Gsdmd⁻/⁻、Gsdme⁻/⁻ 或 Mlkl⁻/⁻ 小鼠均未表现出生存优势。这一结果提示,在PANoptosis这一整合通路中,单一分支的抑制容易因其他通路的代偿而失效。而 NINJ1作为多条通路的共同下游执行分子,其靶向干预可能提供更为有效的体内保护。
与Zbp1⁻/⁻ 小鼠的对比进一步凸显了NINJ1的优势:虽然Zbp1⁻/⁻ 小鼠在感染中也能存活,但其肺病毒载量显著升高,提示抗病毒免疫受损;相较之下,Ninj1⁻/⁻ 小鼠不仅减轻炎症反应,还保持了正常的病毒清除能力,展现出更为理想的保护表型。
5. 临床相关性:NINJ1表达与COVID-19重症程度相关
通过对重症COVID-19患者支气管肺泡灌洗液(BALF)的单细胞转录组数据进行分析,研究发现 NINJ1在单核/巨噬细胞中的表达水平与疾病严重程度及炎症反应呈正相关。
这一结果提示,NINJ1的作用并不仅限于流感感染,而可能代表 重症病毒性肺炎中普遍存在的关键机制。其在多种病毒相关炎症病理中的一致性关联,也进一步强化了NINJ1作为潜在治疗靶点与生物标志物的临床价值。
三、研究意义与展望
本研究系统阐明了 NINJ1在IAV诱导的PANoptosis中的关键作用,并为未来重症病毒性肺炎的治疗探索提供了新方向:
1. 明确了功能机制:NINJ1是介导PANoptosis最终细胞裂解的核心分子,其激活具有通路冗余性,能够整合多条程序性细胞死亡信号。
2. 揭示了独特现象:在PANoptosis背景下,单一凋亡通路的激活即可通过NINJ1引发炎性细胞破裂;同时,NINJ1参与调控部分不依赖GSDMD的IL-1β释放,丰富了对炎性细胞死亡调控机制的理解。
3. 提出了潜在治疗靶点:与靶向上游分子或特定执行蛋白相比,NINJ1的干预不仅能够有效缓解免疫病理损伤,还能最大程度保留抗病毒免疫功能,显示出更优的治疗潜力。
4. 提供了临床线索:NINJ1在髓系细胞中的表达水平与疾病严重程度密切相关,具备作为病毒性肺炎预后生物标志物的应用价值。
展望未来,研究可进一步聚焦以下方向:
1. 开发特异性靶向NINJ1的抑制剂(如中和抗体、小分子抑制剂),探索其在病毒感染相关炎症中的干预效果;
2. 验证NINJ1在更广泛的病毒性肺炎模型(包括SARS-CoV-2感染)中的作用与治疗潜力;
3. 深入解析NINJ1在不同细胞类型(如中性粒细胞)中的功能差异,拓展对其免疫学作用的系统性认知。
该研究不仅为理解PANoptosis的分子执行机制提供了新视角,也为重症病毒性肺炎的临床防治开辟了新的可能路径。
四、源井生物提供的支持
在此次曹彬教授团队发表于 Signal Transduction and Targeted Therapy 的研究中,源井生物提供的NINJ1 Knockout cell line (A549)、NINJ1 Knockout cell line (THP-1)敲除细胞系模型支持,为阐明NINJ1在IAV诱导的PANoptosis中介导细胞裂解和炎症反应的机制发挥了重要作用。目前,源井生物已建立超8000种KO细胞系资源库,价格低至 ¥4980。如果您在细胞库中未能找到所需的敲除细胞模型,我们还可为您提供定制化敲除细胞构建服务。依托自主研发的 CRISPR-U™创新技术,源井生物在细胞构建效率上实现突破:与传统方法相比,敲除效率可提升至97%,为您的科研项目提供更高效、更可靠的技术支持。
参考文献:
Xu, Y., Zheng, Y., Liu, Y. et al. Ninjurin-1 mediates cell lysis and detrimental inflammation of PANoptosis during influenza A virus infection. Sig Transduct Target Ther 10, 307 (2025). https://doi.org/10.1038/s41392-025-02391-9
扫码联系我们获取更多技术支持👇
联系电话:18054268871,微信同号
点击阅读原文,查看详情

