什么是HE染色法?
HE染色法的原理是怎么样的?
1、细胞核染色原理苏木精为碱性天然染料,可使细胞核着色。细胞核内染色质的成分主要是DNA,在DNA的双螺旋结构中,两条核苷酸链上的磷酸基向外,使DNA双螺旋的外侧带负电荷,呈酸性,很容易与带正电荷的苏木精碱性燃料以离子键或氢键结合而被染色。苏木精在碱性溶液中呈蓝色,所以细胞核被染成蓝色。
2、细胞浆染色原理细胞浆内主要成分是蛋白质,为两性化合物、细胞浆的染色与pH值有密切关系,当pH调到蛋白质等电点4.7-5.0时,胞浆对外不显电性,此时酸或碱性染料不易染色。当pH调到6.7-6.8时,大于蛋白质的等电点pH值,表现酸性电离,而带负电荷的阴离子,可被带正电荷的染料染色,现时胞核也被染色,核和胞浆难以区分。因此必须把pH调至胞浆等电点以下,在染液中加入醋酸使胞浆带正电荷(阳离子),就可被带负电荷(阴离子)的染料染色。伊红Y是一种化学合成的酸性染料,在水中离解成带负电荷的阴离子,与蛋白质的氨基正电荷(阳离子)结合而使细胞浆染色,细胞浆、红细胞、肌肉、结缔组织,嗜伊红颗料等被感染成不同程度的红色或粉红色,与蓝色的细胞核形成鲜明的对比。
3、分化作用染色后,用某些特定的溶液将组织过多结合的染色剂脱去,这个过程称为分化作用,所用的溶液称为分化液。在HE染色中用0.5%盐酸乙醇作为分化液,因酸能破坏苏木精的醌型结构,使组织与色素分离而褪色。经苏木精染色后,必须用0.5%盐酸乙醇分化,使细胞核过多结合的苏木精染料和细胞浆吸附的苏木精染料脱去,在进行伊红染色,才能保证细胞核与细胞浆染色的分明。因此,在HE染色中分化是极为关键的一步。
4、返蓝作用分化之后,苏木精在酸性条件下处于红色离子状态,呈红色,在碱性条件下处于蓝色离子状态,呈蓝色。组织切片经0.5%盐酸乙醇分化后呈红色或粉红色,故分化之后,立即用水除去组织切片上的酸而终止分化,再用弱碱性水(0.2%氨水)使苏木精染上的细胞核呈现蓝色,这个过程称为返蓝作用或蓝化作用。另外用自来水浸洗也可使细胞核返蓝,但所需时间较长。
HE染色实验步骤
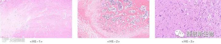
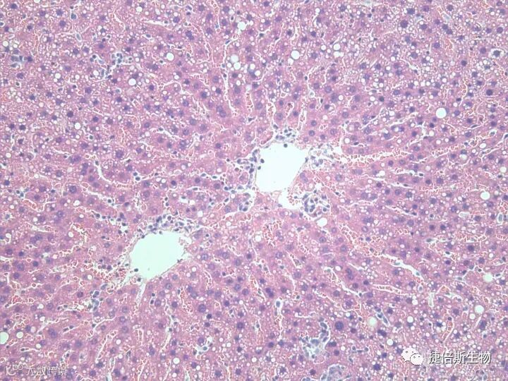
HE染色实验结果展示:

HE染色有哪些注意事项?
1、pH值如果组织块在福尔马林中固定时间长,组织酸化而影响细胞核着色。因此,要在自来水中冲洗时间长一些或在饱和碳酸锂水溶液中处理10-30min,这样可以使细胞核着色较深。染伊红时胞浆着色不佳,可在伊红溶液中滴加1-2滴冰醋酸。
2、分色时间分色这一步是关键,应在显微镜下控制进行,一般以细胞核染色清楚(晰)而细胞质基本无色为佳。如果过分延长分色时间将导致染色太浅,应重新染色后再行分色。
3、酒精脱水应彻底切片经酒精脱水后,入二甲苯时可出现白色不透明状态,此为脱水不彻底,应将切片退回无水酒精,更换酒精、二甲苯,以求彻底脱水与透明。切片从二甲苯取出或进入二甲苯前,切片周边均应擦干净或吸干多余水分。
4、避免切片干燥在染色过程中不要让切片干燥,以免切片收缩、变形,影响神经元形态。
5、避免切片污染出现切片污染,污染物遮盖该部位的细胞或组织难以观察期形态改变。应定期过滤各种染液和试剂以避免其中的沉淀物所引起的污染。
6、避免脱蜡不完全冬季室温低时(14℃以下),二甲苯应在水浴缸中适当加温到30℃后再脱蜡,以避免因脱蜡不完全引起的染色不均匀呈雾化状态。
7、封片注意事项最后封固时,要用中性树脂,防止日后褪色,盖片要选大于组织块的面积,如漏出一部分不久将会褪色,所用树脂浓度要适当,树脂封固时不能有气泡。
送样运输要求:
1、样本放置于20倍样本体积的固定液中固定24h以上,常温运输送样。
2、切勿固定时间过长,切勿冷冻结冰。
HE染色有哪些常见问题?
一.着色过深或者过浅
染色时间控制不佳,HE染色需要通过镜检来控制时间,可以先通过预实验得到最佳染色时间,一般情况下新鲜苏木素染色时间在1-3min左右,分化时间同样不易过长,过度分化可以水洗后重新复染苏木素。
二.染色后切片不清晰,雾化,斑点
1.烤片温度过低,时间不够,导致脱蜡不彻底,切片留存白色斑点,
2.染色后切片脱水时间不合理,切片上残留水分,使切片雾化,需要优化脱水的梯度乙醇时间,切片经过低浓度时时间要短,向高浓度逐渐延长脱水时间
3.盖玻片上残留封固剂,导致切片不清晰,需要重新封片解决
4. 组织标本已发生自溶或取材后没及时固定或固定液浓度不够;另固定前干枯标本,染色后易出现灰染现象,很难补救。
5. 固定剂对组织有一定媒染作用,它既可与蛋白结合又能与染料结合,可增强着色能力,同时能沉淀和凝固细胞内成分,使细胞内成分产生不同折光率造成光学差异。故固定不良是造成切片染色模糊不清的主要原因。
6. 在日常病理制片中淋巴结处理不当造成切片染色后组织见发灰现象,其主要原因由于细胞密集,结构复杂导致固定液难以渗透到组织深部,从而造成组织中央固定不佳,而出现彻底发灰现象。可用等量无水乙醇乙醚混合液处理切片5-10分钟,乙醇洗,水洗,3%硫酸铁铵溶液补充媒染5分钟既可。
三.染色后切片有黑色杂质,气泡
1.杂质多为苏木素染色液中的金属膜粘附于载玻片上,每天染色前仔细过滤苏木素染液或者使用半氧化苏木素染色液
2.染色后切片经过梯度乙醇脱水不彻底,导致封片后载玻片上残留水分,也可能是封片是出现的气泡
四.染色后细胞核呈棕色
苏木素染液过度氧化或者染色后返蓝时间不足,染色前检查苏木素的染色能力并即时更换试剂,然后适当延长返蓝时间。
五.切片染色不匀
1. 组织取材固定不当,如组织取材过大或过厚,不能将组织完全固定,组织切片染色后出现外周固定好的部分易着色,而中间未固定好的组织 ,细胞着色模糊,使染色不均。在送检的标本中,及时用4%中性甲醛对标本固定,固定液应是标本的4倍。大标本应切开固定。
2. 切片薄厚不均或有横纹。切片刀有缺口时,易造成断裂,破碎和不完整。切片刀倾角过大上卷,不能连在一起,过小则切片皱起。或因螺丝松动产生振动切片易造成厚薄不均或技术人员手臂摇动切片机头力量不均易造成横纹。切片时检查切片机螺母是否拧紧。
3. 组织脱水,透明和浸蜡处理不当,组织脱水用的各级乙醇未能保证相应浓度使组织脱水不彻底,二甲苯内的时间过长组织易碎也无法切出好片子,浸蜡温度过高,组织变脆也不利切片染色。
实验所需试剂
| 货号 | 试剂名称-(GBCBIO) |
| G4923 | 苏木素伊红(HE)染色试剂盒 Hematoxylin and Eosin Staining Kit |
| G0577 | 苏木素染色液 Hematoxylin Staining Solution |
| G4925 | 伊红染色液 Eosin Staining Solution |
| 0701 | 苏木素(苏木精)Hematoxylin |

