热点
热烈庆祝卓普乐上市!
默沙东动物保健原研动物
专用抗生素卓普乐®在华获批
治疗由多种牛/猪细菌感染引起的
牛/猪呼吸道疾病
中国上海,2021年1月28日——默沙东 (默沙东是美国新泽西州肯尼沃斯默克公司的公司商号)宣布,其动物保健事业部的原研动物专用抗生素卓普乐®4%【泰地罗新注射液(猪用)】获得中国农业农村部批准,用于治疗和预防对泰地罗新敏感的胸膜肺炎放线杆菌、多杀性巴氏杆菌、支气管败血波氏杆菌和副猪嗜血杆菌等引起的猪细菌感染性呼吸道疾病(SRD, Swine Respiratory Disease) 1。
此前,2020年12月4日,卓普乐®18%【泰地罗新注射液(牛用)】获得中国农业农村部上市批准,用于治疗和预防对泰地罗新敏感的溶血性曼氏杆菌、多杀性巴氏杆菌和睡眠嗜组织菌等引起的牛细菌感染性呼吸道疾病(BRD, Bovine Respiratory Disease) 2。
呼吸道疾病一直以来都是牛场和猪场面临的棘手疾病,给养殖场的生产经营造成巨大的经济损失。卓普乐®18%和卓普乐®4%连续在华获批,为牛群和猪群呼吸道疾病的防控提供了综合解决方案,其主成分泰地罗新为具有十六元环的半合成大环内酯类抗生素,可抑制细菌必需蛋白质的合成,从而产生抑菌或杀菌的作用,具有吸收迅速、作用长效持久的特点,一针可有效防治多种病原。
卓普乐在现场的应用
断奶一针,减“副”乐增
Q
什么是副猪嗜血杆菌病?
副猪嗜血杆菌病,也称格拉泽氏病或革拉泽氏病(Glasser‘s disease)。副猪嗜血杆菌病是由副猪嗜血杆菌(Haemophilus parasuis, HPS)引起的猪的疾病。
主要解剖症状为猪的全身性纤维素性浆膜膜炎:胸膜炎、腹膜炎、心包炎、关节炎、脑膜炎等。
好发于4-8周龄的保育猪;育肥猪、母猪、公猪也有发生。
01
副猪嗜血杆菌病在猪场多发
2016-2018年,从来自中国26个省的14610份病料中共分离出副猪嗜血杆菌8153株,其中1386株经PCR鉴定为副猪嗜血杆菌,分离率为9.49%
—— Jinjin Liu, et al 2021
利用PubMed、ScienceDirect、中国知网、万方、维普中文期刊五大数据库进行Meta分析。2005年至2019年,中国猪副猪嗜血杆菌的总流行率为27.8%,2011-2015年为流行率最高达41.0%。
—— Hong-Bo Ni, et al 2020
02
副猪嗜血杆菌导致的损伤
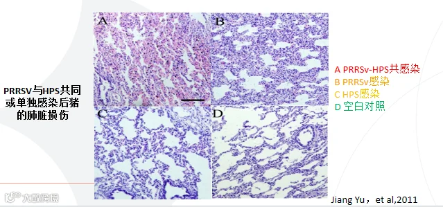
副猪嗜血杆菌病几乎只发生在蓝耳病阳性场;实际上正是在PRRSV的感染下导致(再伴随断奶转群应激等因素)仔猪免疫力缺陷(肺泡巨噬细胞吞噬能力下降)才使HPS如此致命(病死率可达50%)。

对于一个蓝耳病阳性场(尤其是活跃场),最重要的工作之一就是如何减少仔猪断奶后HPS造成的伤亡

副猪防控面临的五大难点
| 菌株血清型多,易产生耐药性 |
| 病程长,拌料治疗往往效果不佳,普通针剂需要多次注射 |
| 上呼吸道常在菌,一般药物很难到达该位置 |
在蓝耳病阳性场高发,易与多种病原菌混合感染 |
断奶4-8周龄仔猪高发,频繁用药影响生长 |
03
副猪出现的耐药性
国内由于抗生素的大量使用,HPS表现出越来越强的耐药性。
已经对以下药物产生较强耐药性:
1. 环丙沙星54.8%
2. 链霉素51.2%
3. 氨苄西林48.8%
4. 诺氟沙星36.1%
5. 阿米卡星35.5%

如何防控副猪嗜血杆菌病?
防线前移,预防用药!

副猪防控第一步:饲养管理
应激是副猪发病的前导条件:
断奶
混群
饲料转换
保暖与通风
环境消毒
其它疾病的感染(PRRSV/PCV2)
病弱猪的及时处理



副猪防控第二步:母猪产前预防
从源头减少母猪排菌:
产前、后纽弗罗20克/头/天,各用5天,直接减少母猪产床排菌
为仔猪提供高水平母源抗体保护:
母猪免疫副猪嗜血杆菌疫苗
做好其他疾病的基础免疫
副猪防控第三步:仔猪断奶给药





副猪嗜血杆菌危害猪群健康,尤其是蓝耳病阳性场,并易在断奶应激下发病
副猪防控三部法:饲养管理,疫苗免疫,策略性投药
副猪防控五大难点:易耐药,病程长,寄生在上呼吸道,易混合感染,断奶仔猪发病
卓普乐--针对副猪的特效药,拥有:
- 副猪嗜血杆菌高度敏感特效
- 仅需断奶一次使用,17天超长药效
- 87倍肺部组织分布且能到达扁桃体等上呼吸道组织
- 体外比体外更高药效,针对多种病原菌有效
- 高度安全,仔猪放心使用,且仅有9天休药期






