关注微信公众号,获取更多服务信息,让自己在业务时间充电,提升自己!
再不关注我们就老了!
今年最受欢迎的微信公众号:GDSUOREC
【温馨提示】
长按红色字体账号复制并搜索关注!
敬请持续关注!

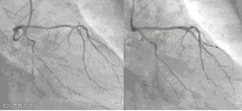
一位居住在伦敦的人的亲身经历,他去巴基斯坦开会的时候,突然胸口剧痛,后来被医院验出来,他的三条心血管已经被严重堵塞,需要做搭桥手术。手术的时间是一个月以后,在这个期间,他去看一位回教国家古法治疗师。
这位Hakim让他自己在家中做一个食疗,他吃了一个月。一个月后他去同一家医院做检查,发现三条血管干干净净,原来堵塞的地方已经全通了。他是一位虔诚的回教徒,为了让更多的人受益,他把自己的经验放在网上分享,他的前后两张血管照片也放了在网上,在照片中,服用食疗之前与之后的分别连普通人也看得出来。

所需原料:
1 杯柠檬汁
1 杯姜汁
1 杯大蒜汁
1 杯苹果醋

制作方法:
1.蒜头去皮,姜去皮切小片,放入榨汁机榨汁,或者放入搅拌器打成浆,用网布隔渣,绞出汁。

2.将蒜头、姜汁放入瓦煲,加入柠檬汁与苹果醋,大火滚,小火慢煮,不要盖锅盖,让水份蒸发,大约需要半小时,剩下大约一半汁液。
3.温度降下后,加入蜜糖,仔细搅匀,蜜糖可能需要很多,主要是令汁液容易入口。
4.将成品储在有盖的玻璃瓶中,放入雪柜。

服用方法:每天早餐前服用一汤匙。大部分人的心血 管疾病能得到根治。也可当作饮料,预防心血管疾病和高血压、预防感冒等疾病。
吃上一个月以后去医院做次检查,会发现血管干干净净,堵塞的地方已经全通了。

