点击蓝字 关注我们
组织胚胎学
胚胎学
人类乳腺从妊娠第5周开始发育,此时胎儿腹侧面的外胚层开始增厚,形成从腋窝延伸至腹股沟的乳腺嵴(也称乳线)。
随着胎儿的发育,除胸部的一小块区域外,其他部位逐渐退化、消失。如果退化不完全,则在生后形成异位乳腺或副乳头,可发生于乳线的任何部位,最常见于腋窝、乳房下褶皱和外阴。

▲婴儿乳腺,导管分布于疏松结缔组织性间质中,间质内的单个核细胞为造血细胞成分,提示存在髓外造血。
青春期乳腺
女性从青春期开始出现雌激素和孕激素的周期性分泌,乳腺也随之开始发育。
在雌激素的作用下,乳腺导管伸长、分支、上皮增厚。孕激素基本不参与此过程。
雌激素优势的结果也导致导管周围的结缔组织密度增加,间质内开始有脂肪沉积,此为乳房增大并隆起的最主要原因。
青春期男性乳腺由纤维脂肪组织和被覆低立方细胞的导管构成。
成年女性乳腺
乳腺内主要为脂肪组织。乳腺位于前胸壁胸大肌上方,垂直方向位于第2至第6肋间, 水平方向内侧至胸骨缘,外侧至腋中线,部分乳腺组织像尾巴一样伸人腋窝,称为Spence腋尾。
成年女性乳腺由一系列的导管、小管、小叶腺泡和纤维脂肪性间质构成。非哺乳期成年乳腺以间质成分为主,纤维与脂肪组织所占比例存在年龄和个体差异。

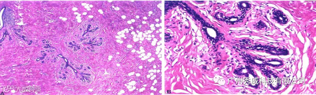
▲青春期乳腺由分支导管和原始小叶构成。间质由纤维结缔组织和脂肪组织混合构成。

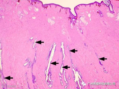
▲6个乳腺大导管(箭头)直到形成“末端导管小叶单(TDLU)

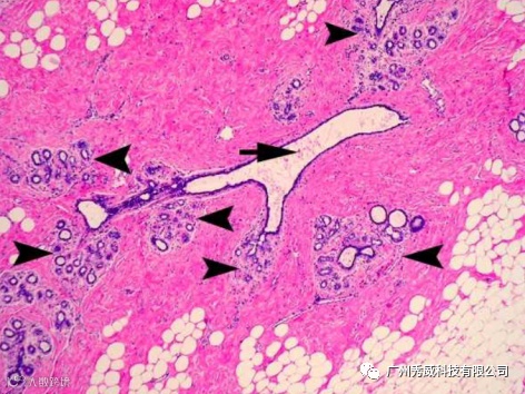
▲乳腺大导管在乳头处扩张形成乳头窦,作用是通过平滑肌收缩,排除乳汁。

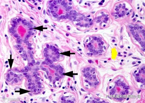
▲分支导管,分为终末小叶单位(箭头)(TDLU)

▲一个末端导管(箭头)产生了一系列较小的导管/腺泡(箭头) ,称为“小叶” ,小叶“产生”乳汁并通过导管系统排出。

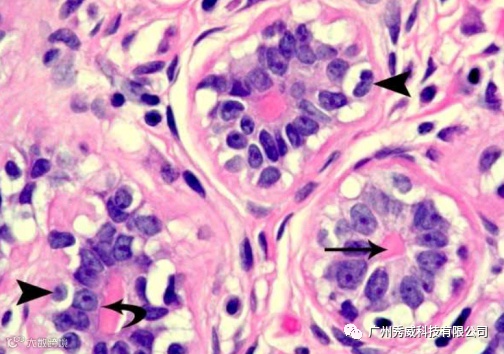
▲显示了三个腺泡(长箭头)。每个腺泡由两层上皮: 外层完整的透明样肌上皮(箭头)和内层立方至柱状上皮细胞(弯箭头)。注意,每个腺泡都被基底膜包绕,周围的基质有成纤维细胞、淋巴细胞和浆细胞。

▲小叶包含20-200个小的小管 / 腺泡,这些小管 / 腺泡是由末端导管的连续分支形成的。一个小管内导管在这个切面(箭头)上产生五个终末导管 / 腺泡。当这些盲端分支形成扩张的腺体样结构时,可用术语“腺泡”来形容。对于不形成扩张末端的终末结构,最好称为末端小管。注意松散的粘液样小叶间质,包含成纤维细胞、小淋巴细胞和浆细胞(大黄色箭)

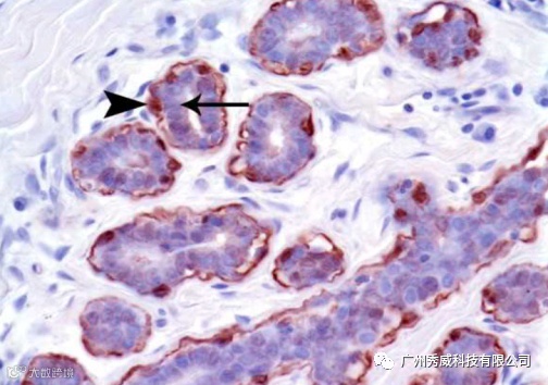
▲S-100染色显示完整的外层肌上皮细胞(箭头) ,但是内立方至柱状上皮细胞染色阴性。

▲乳球蛋白染色显示肌上皮细胞外层(箭头)无染色,但内立方至柱状上皮细胞对该抗原呈强阳性

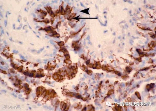
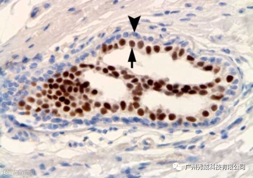
▲免疫组化染色显示雌激素受体蛋白在肌上皮细胞的外层(箭头)没有染色,但是这种抗原的内立方到柱状上皮细胞强烈阳性
秀威组织芯片枪
专利带包埋盒受体蜡块,植入后,无需包埋,操作简便
取样针标配:1mm、1.5mm、2mm、3mm、5mm 可定制

秀威组织芯片枪
乳腺发育异常
副乳腺和异位乳腺
副乳腺:位于胚胎期乳线区域的乳腺组织。或称多乳腺症、迷走乳腺、异位乳腺和额外 乳腺等。
异常乳腺:出现于胚胎期乳线以外区域(非正常乳房区域)的乳腺组织,例如肩胛区、 大腿部和直肠等。
光镜病变:①正常乳腺小叶;②小叶间纤维组织常增生;③部分导管可增生或扩张; ④可伴发肿、纤维腺瘤、乳头状瘤和乳腺癌等。

如果对秀威产品感兴趣
(病理器材或设备问题)
长按扫码可联系我们
点击“阅读原文”可进入“病理海”网站

