
Avision聚合物二抗检测系统
AVision Poly-HRP 羊抗鼠/兔二抗检测系统是用最新的紧致聚合物技术将抗小鼠及抗兔二抗与酶聚合在一起形成空间位阻明显较小的多聚物。此聚合方法在提高每一个二抗上所联合的酶的分子数的同时,保留了聚合物系统的紧密结构和对一抗的高亲和力。此试剂盒具有简单、快速、敏感等特点,可同时检测鼠源及兔源的一抗,并可以排除组织或细胞中内源性生物素所造成的染色干扰。
规格
产品类型 |
产品编号 |
产品名称 |
规格 |
通用型 |
AT8013 |
AVision Poly-HRP 羊抗鼠/兔二抗试剂 |
10ml |
30ml |
|||
50ml |
|||
100ml |
|||
153ml |
|||
增强型 |
AT8033 |
AVision Poly-HRP 羊抗鼠/兔二抗试剂 |
10ml |
30ml |
|||
100ml |
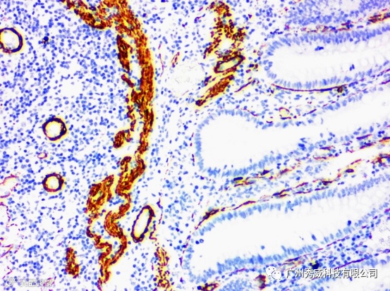
实验图
小肠组织,一抗 SMA AVision Poly-HRP 羊抗鼠/兔二抗


秀威集团简介
广州秀威集团公司在陈军董事长,陈茜、白清华、何紫君总经理,刘岩总监、颜冰、许海明、燕晓飞、罗文婷等副总监的精明领导下。
秀威集团通过学习、借鉴国内外知名病理企业产品和技术特色、特点,创新性地研发和生产推出了拥有病理常规全系列解决方案的仪器、耗材、试剂、免疫组化染色机、免疫组化试剂等产品和技术。

秀威推出病理整体解决方案助力病理科建设
欢迎关注 共同进步

点击⇩“阅读原文”查看更多 “精彩产品”


