

钡尔口腔是一家专业从事口腔疾病诊疗、预防、牙齿美容、缺牙修复、牙齿矫正、牙齿种植为一体综合口腔门诊。

秉承“华西精神”,坚守“华西品质”,以患者为中心,追求世界先进口腔医疗技术。注重客人就诊体验,打造高端舒适的诊疗环境,平价的收费项目,让蓉城老百姓享受到物超所值的口腔诊服务。
不同于许多牙科诊所的刻板印象,本着舒适口腔、无痛、微创的牙科理念设计装修,全独立的治疗诊室,宽敞明亮,倍感温馨,时刻给顾客高度的私享诊疗空间。









专家坐诊,能够稳稳抓住你的口腔病根直接拔起!

先进的设备和仪器,是口腔治疗和护理的基础。
钡尔口腔斥巨资引进先进口腔检查治疗设备:韩国三星数字化口腔CBCT、数字化全景机、数字化X光检查系统、口腔3D扫描仪、国际标准的消毒设备、先进的根管治疗系统、瑞士EMS超声波洁牙机、舒适牙周治疗仪、进口微创种植系统、以及能完全达到无菌操作的口腔数字化综合治疗机,保证口腔治疗护理的安全可靠。



严格按照高标准的四手操作配备医护人员,执行一人一机一消毒的国际消毒标准,杜绝治疗过程中的交叉感染。专业医师团队+顶尖设备,时刻给顾客安全放心的就诊体验。
案例分享
- 案例① -



牙齿美容性修复
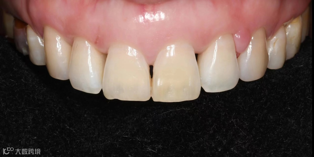
贴面美容性修复前:

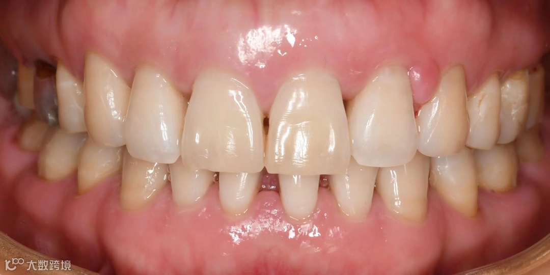
贴面美容性修复后:

钡尔口腔始终秉承着精益求精的原则,用心呵护每一颗牙齿,让您拥有征服世界的迷人微笑!现创始会员火热招募中,仅需100元即可获得总价值1880元的钡尔口腔VIP会员卡一张!


钡尔口腔VIP
仅需100元 即可办理总价值1880元
VIP会员卡
如果您也有关于口腔的困扰,欢迎到钡尔口腔咨询了解!

钡尔口腔
· 地址 ·
华熙528A区2楼钡尔口腔门诊

