前言:细胞死亡是生命的基本过程之一,对生物个体的发育过程调节起着至关重要的作用。正常情况下,细胞死亡多以程序性死亡的方式进行,包括但不限于细胞凋亡、细胞自噬、细胞坏死等等。1992 年,Zychlinsky [1] 等在感染了福氏志贺菌的巨噬细胞中首次发现细胞焦亡(pyroptosis)现象。在当时认为,细胞焦亡过程需要 Caspase 的参与,属于细胞凋亡的重要特征之一,因此被归类于细胞凋亡的一种[2] 。随着近些年对细胞焦亡过程的研究逐渐深入,研究人员才发现细胞焦亡是不同于细胞凋亡的另一种细胞程序性死亡方式[3]。
焦孔素(Gasdermins,GSDMs)家族目前共包含 6 个成员,分别为 GSDMA, GSDMB, GSDMC, GSDMD, GSDME (也称 DFNA5 ) 以及 PJVK (也称 DFNB59 )[4]。其中焦孔素 D(GSDMD)于 2015 年[5]首次被揭露其通过 N 端结构域对质膜进行切割、寡聚化和易位,在膜上形成小孔而引起细胞焦亡的工作机制。随后除 DFNB59 以外的其他成员陆续被证实具备相似的成孔活性,但是由于在小鼠体内不存在焦孔素 B (GSDMB)的同源蛋白,开展体内实验条件较为局限,因此相关研究最少,GSDMB 在细胞焦亡中发挥的作用也存在争议[6]。
来自美国 Case Western Reserve University 大学的 Theresa T. Pizarro 团队在 Cell 杂志发表题为 《GSDMB is increased in IBD and regulates epithelial restitution/repair independent of pyroptosis》的文章中,首次报道了 GSDMB 在肠道上皮组织的修复过程中的作用,其完全独立于细胞焦亡过程。
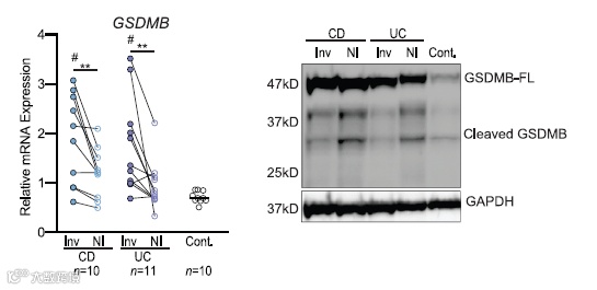
研究人员通过对健康、患有克罗恩病(CD)和患有溃疡性结肠炎(UC)的受试者分别进行肠道活检取样,通过免疫组化染色和生化实验,发现 GSDMB 在患者样本中的表达量显著高于健康受试者样本(Figure 1),且主要集中在肠上皮细胞内(Figure 2)。这些细胞显示出与细胞增殖、迁移和粘附相关的丰富的基因信号通路,但不存在细胞焦亡现象。
Figure 1
Figure 2
随后研究人员筛选出 HT-29 细胞系用于 GSDMB 的内源性表达,并选用甲氨蝶呤作为 GSDMB-FL 的诱导物。免疫标记实验结果显示甲氨蝶呤能够诱导 GSDMB-FL 表达上调,并易位至质膜,但是细胞对碘化丙啶(PI)的摄取并不显著增加,因此可以判定该过程并不诱导细胞裂解死亡。
在该步骤中,对 PI 信号值的读取使用 Molecular Devices 公司的 SpectraMax i3x 酶标仪,于 533/617nm 激发/发射光波长进行荧光强度测定。
Figure 3
此外,通过对野生型 HT-29 和携带突变型 GSDMB 的细胞做 RNA-seq 分析,显示二者在与增殖、迁移和粘附相关的基因中存在明显差异,而且后续实验也发现,与野生型相比,突变型 GSDMB 对敲除 GSDMB 基因后的体外肠上皮细胞的愈伤功能的恢复效果较弱。该结果进一步证实了 GSDMB 在调节肠上皮细胞增殖和迁移中发挥的作用。
Figure 4
为了更好地了解 GSDMB 介导的肠上皮细胞有效恢复调节的潜在机制,研究人员将一系列的粘着斑动力学方向重要且已知的调节剂列举出来并一一排除,最后发现与野生型相比,在非磷酸化的粘着斑激酶(FAK)表达量没有明显变化的情况下,敲除 GSDMB 的细胞内磷酸化的 FAK 含量显著降低。因此,GSDMB 通过介导并调节 FAK 的磷酸化水平来影响细胞运动和肠上皮细胞的重建及修复。
Figure 5
综上所述
GSDMB 是肠道上皮屏障功能恢复和肠道炎症消退的关键因素,主要通过介导粘着斑激酶磷酸化通路,利用细胞增殖、迁移和粘附等功能来促进肠上皮细胞恢复和修复,对炎症性肠道疾病患者在疾病缓解期促进粘膜伤口和溃疡的愈合尤为重要。该研究结果为开发针对 GSDMB 的治疗策略奠定了基础,能潜在地用于改善肠道上皮修复和炎症消退的效果,同时也能够帮助更有效地治疗影响肠道屏障功能的疾病,比如以克罗恩病和溃疡性结肠炎等为代表的一类炎症性肠病。
参考文献:
上下滑动查看
关于美谷分子仪器
Molecular Devices 始创于上世纪 80 年代美国硅谷,并在全球设有多个代表处和子公司。2005 年,Molecular Devices 在上海设立了中国代表处,2010 年加入全球科学与技术的创新者丹纳赫集团,2011 年正式成立商务公司:美谷分子仪器 (上海) 有限公司。Molecular Devices 以持续创新、快速高效、高性能的产品及完善的售后服务著称业内,我们一直致力于为客户提供在生命科学研究、制药及生物治疗开发等领域蛋白和细胞生物学的创新性生物分析解决方案。

