近期,德国 Georg-Speyer-Haus 肿瘤生物学和实验治疗研究所的研究人员在免疫学领域顶级期刊《Immunity》上发表了题为“Expansion of T memory stem cells with superior anti-tumor immunity by Urolithin A-induced mitophagy”的研究论文。抗肿瘤免疫会受到 T 细胞持久性和抗原呈递减少的限制。Denk 等人发现,石榴提取物的天然代谢物尿石素 A(Urolithin A)可以增强肿瘤中的抗原呈递,促进 CD8+ T 细胞的自噬,从而产生具有增强抗肿瘤特性的再生干细胞样记忆细胞(TSCM)。
实验结果
01
UA 以 T 细胞依赖性的方式抑制肠肿瘤生长
为了研究 UA 依赖性自噬是否模仿了 Stat3△IEC 小鼠的效果,并以 T 细胞依赖性的方式阻止了肠道肿瘤的发展,研究者们采用了氧化偶氮甲烷 (AOM)诱导的肿瘤发生模型。FVB 小鼠每周注射一次致癌物 AOM,持续 6 周,并以含 UA 的饲料(2.28 g/kg)或对照饲料喂养 18 周(图 1A)。口服 UA 可显著降低肿瘤发生率和肿瘤大小(图 1B-1D)。随之而来的是 CD3+ T 细胞浸润到结肠黏膜的增多(图 1E 和 1F)。结合肿瘤类器官 APTK 类器官 (characterized by loss of Apc,Trp53,and Tgfbr2 as well as expression of oncogenic KrasG12D)系统实验 ,证实了 UA 诱导的肿瘤抑制依赖于 T 细胞。
图 1
02
UA 促进 TSCM 分化
线粒体重塑与 T 细胞命运的改变有关。考虑到 UA 效应对 CD8+ T 细胞的依赖性,研究者们想了解 UA 是否也可能直接影响 T 细胞的命运。从 FVB 小鼠中纯化的 T 细胞被 αCD3/αCD28 珠刺激,诱导 T 细胞分化为效应 T 细胞亚群,无论 UA 存在与否,持续 72 小时。UA 给药阻断了向效应 T 细胞的分化(图 2B 和 2C),并导致幼稚 CD44loCD62Lhi T 细胞显著增加。此外,还观察到中枢记忆细胞(TCM)的减少,而效应记忆细胞(TEM)的频率保持不变。在 CD4+ 细胞中,只观察到较晚时间点的变化,其特征是 CD4+ 细胞的幼稚样减少,但 TEM 细胞的频率增强。
图 2
03
UA 通过过继 T 细胞转移改善肿瘤治疗
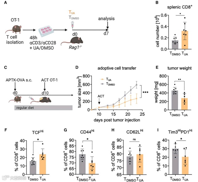
研究者们从 OT-1 供体小鼠(图 3A)中培养 T 细胞 48 小时(UA 或对照),然后过继转移到免疫缺陷 Rag1-/-小鼠。移植后 7 天,在接受了 UA 处理的 T 细胞的小鼠中,移植的 CD8+ T 细胞的数量更高(图 3B),支持增加的扩张潜力。此外,当 UA 条件下的 OT-1 T 细胞移植到具有可触及的过表达卵白蛋白 APTK (APTK- ova)肿瘤的小鼠(图 3C),这导致了与对照 OT-I T 细胞相比更强的肿瘤抑制(图 3D 和 3E)。对肿瘤的分析显示,在 UA-T 细胞转移后,肿瘤中 CD44 表达较低,而 TCF1HiCD8+ 肿瘤浸润 T 细胞数量较高(图 3F 和 3G)。这在肿瘤中符合 UA 诱导的记忆表型的维持,CD62L 表达保持不变(图 3H)。此外,与改善的记忆反应一致,接受 UA 预处理的 T 细胞的动物在TME中包含更少的 Tim3HiPD1Hi 最终耗尽的 CD8+ T 细胞(图 3I)。因此,UA 在过继细胞转移过程中增强了免疫介导的抗肿瘤记忆。
图 3
04
UA 诱导 T 细胞的 Pink1 依赖性自噬
研究者们进一步证实,在给 CD8+ T 细胞服用 UA 后 6 小时内,线粒体膜电位降低(图 4A 和 4B)。这伴随着增强的溶酶体形成(图 4C), 24 小时后,线粒体含量以剂量依赖性的方式丢失(图 4D)。后者可以在所有分析的 T 细胞亚群中检测到,因此提示有丝分裂的诱导。图 4 的其他数据也有力地支持了 UA 诱导的依赖于 Pink1 的自噬触发 TSCM 的形成以增强抗肿瘤免疫的观点。
图 4
05
UA 通过 Pgam5 胞质
释放驱动 Wnt 信号诱导 TSCM
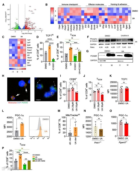
研究者们共鉴定出 1178 个差异表达基因,其中 765 个表达上调,413 个表达下调(图 5A)。UA 治疗降低了免疫检查点和效应分子编码基因的表达,而增强了 Cd27、Ccr7 和粘附基因的表达(图5B),这是干细胞样 CD8+ T 细胞的一个特征。另外,研究了观察到的 TCF1 上调是否是 Wnt 信号增强的结果。根据这一概念,观察到几个 Wnt 靶基因的转录增加(扩展数据图 4B)。此外,UA 在 6 小时后已经导致 β-连环蛋白磷酸化显著下降(图 5),表明 Wnt 信号的激活早于转录因子的改变。图其他结果表明 UA 通过 Wnt 依赖的 PGC-1a 上调来驱动 TSCM 的形成,这是由 Pgam5 在自噬反应中的囊内释放所促进的。
图 5
06
UA 促进人 TSCM 细胞,
帮助产生有效的 CAR - TSCM
最后,研究者们希望确定UA是否会导致人类 CD8+ T 细胞中 TSCM 细胞的扩增。从健康献血者的外周血单个核细胞(PBMCs)中分离出人 CD3+ T 细胞,并在 UA 存在的情况下体外用 αCD3/αCD28 珠刺激它们。事实上,在 5 / 5 个人供体中,UA 增加了基于 CD45RA+CCR7HiCD62L+CD95+CD8+ 表达的人类 TSCM 细胞的频率(图 6B;图 S5A 和 S5B)。与小鼠 T 细胞一样,UA 处理 48 小时后,人 CD8+ T 细胞显示出线粒体膜电位下降(图 6C),细胞内染色证实 TCF1 表达增加(图 6D),证实 UA 诱导小鼠和人 T 细胞的记忆干细胞特征。为了确定 UA 引发的自噬是否也构成了诱导 CAR-TSCM 的可行策略,在存在或不存在 UA 的情况下,激活的 T 细胞通过慢病毒载体(VSV-LV)转导 CD19-CAR 基因。转导后 3 天,测定 CAR - 表达 TSCM 的数量(图 6E)。UA 不影响基因传递到 CD8+ 细胞;然而,尽管在 UA 暴露后, CAR- 表达的 TSCM 细胞显著增加,约占 CD8+ 细胞的 60%(图 6F),但这对 CD19 CAR- T 细胞介导的 NALM-6 白血病细胞杀伤没有负面影响(图 6G)。即使将 UA 应用于先前冷冻的癌胚抗原特异性 CAR - T 细胞(CEA;图 6H),这种强烈增强的 CAR - TSCM 形成(图 6I)与表达 CEA 的人类 CRC 类器官的杀伤效果相当(图 6J)。因此,UA 显著增强 CAR- TSCM 细胞的增殖。在 CAR T 细胞杀伤实验中,采用了 Molecular Devices 公司的 SpectraMax iD3 酶标仪的发光模式进行了数据读取。
图 6
总结
T 记忆干细胞(TSCM)表现出增强的自我更新能力和延长的生存能力,从而防止 T 细胞衰竭,促进有效的抗肿瘤 T 细胞反应。TSCM 细胞可以被尿石素 A (UA)扩增。(UA)是由肠道微生物群系从富含鞣花丹宁的食物中产生的,已被证明可以改善线粒体健康状态。口服 UA 给荷瘤小鼠提供了强大的抗肿瘤 CD8+ T 细胞免疫,而体外 UA 预处理的 T 细胞在过继细胞转移后显示出更好的抗肿瘤功能。UA 诱导的 TSCM 的形成依赖于 Pink1 介导的自噬触发线粒体磷酸酶 Pgam5 的胞质释放。胞质 Pgam5 去磷酸化 β-catenin,驱动 Wnt 信号通路和代偿性线粒体生物发生。总的来说,研究者们揭示了一个连接自噬和 TSCM 形成的关键信号通路,并认为耐受性良好的代谢化合物 UA 是改善免疫治疗的一个有吸引力的选择。
关于美谷分子仪器
Molecular Devices 始创于上世纪 80 年代美国硅谷,并在全球设有多个代表处和子公司。2005 年,Molecular Devices 在上海设立了中国代表处,2010 年加入全球科学与技术的创新者丹纳赫集团,2011 年正式成立商务公司:美谷分子仪器 (上海) 有限公司。Molecular Devices 以持续创新、快速高效、高性能的产品及完善的售后服务著称业内,我们一直致力于为客户提供在生命科学研究、制药及生物治疗开发等领域蛋白和细胞生物学的创新性生物分析解决方案。

