BIO-RAD
癌基因诱导的衰老(OIS)是一种持久的抗增殖反应,可作为防止恶性转化的屏障。在 OIS 过程中,细胞经历动态重塑,涉及通过自噬改变蛋白质和细胞器稳态。
来自丹麦国家癌症研究中心的研究人员近日在 《Cell Reports》 上发表了题为 “Autophagy-mediated control of ribosome homeostasis in oncogene-induced senescence” 的研究论文。研究团队发现核糖体在 OIS 过程中选择性地被自噬降解。通过表征核糖体相互作用组中衰老依赖性改变,研究团队发现去泛素酶 USP10 在向 OIS 过渡期间从核糖体解离。USP10 的释放导致核糖体泛素化增强,特别是小亚基蛋白,包括 RPS2 上的赖氨酸275。USP10- 核糖体相互作用的增强和 RPS2 K275 的突变都会消除核糖体向溶酶体的递送,而不影响大量自噬。研究人员发现泛素化核糖体选择性募集至自噬体是由 p62 受体介导的。虽然核糖体吞噬本身并不是衰老建立所必需的,但它有助于衰老相关的代谢组改变并促进衰老相关的分泌表型。
该研究项目的四个主要结论:
在癌基因诱导的衰老过程中,核糖体被自噬选择性降解
USP10 从核糖体解离触发衰老过程中的核糖体周转
p62 受体介导衰老过程中泛素化核糖体的降解
自噬引起的核糖体周转促进了衰老相关的分泌表型
实验中,研究者为获得更准确的 Western Blot 定量数据,使用了 Bio-Rad 特有的 Stain-Free 免染总蛋白内参定量技术。
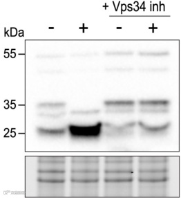
(图源:https://doi.org/10.1016/j.celrep.2023.113381)
以上为研究论文中比较有代表性的两张 Western Blot 结果图。分别为 Small-subunit 的 mKeima-RPS2 和 mKeima-RPS3 Tig3ΔBRAF:ER 细胞系经处理后,样品的蛋白质印迹分析结果,检测全长和裂解产物。图中用作内参的则是胶图上 Stain-Free 免染出来的总蛋白。
Stain-Free 免染技术不需要对凝胶和膜进行染色、脱色操作,仅需成像仪激发就可以获得胶/膜上的总蛋白条带,比传统看家蛋白内参使用更方便、定量更准确,是一种新的 Western Blot 内参定量技术。
了解更多的 Stain-Free 技术请点击
👇👇👇
识别二维码,填写表单
我们将为您提供更多 Stain-Free 技术资料
或为您提供 Demo 机会
参
考
文
献
* BIO-RAD是BIO-RAD LABORATORIES, INC. 在特定区域的商标。
* 本产品仅用于科研用途,不用于临床诊断。

