风靡全球的高端美容仪器——征服EXILIS,采用英国新技术“超级射频+超级声波”直击皮下六层组织,其蓝宝控温及半导体冷却系统,令体验过程尽享舒适,轻松达到无创溶脂,紧肤、嫩肤、抚纹一体化的功效。
因为旧越,所以“征服”

【征服EXILIS】6层组织,层层深入,层层有效!
表皮层:40-42℃蓝宝控温,防止接触面灼伤;
真皮层:促进胶原蛋白再生,增加皮肤胶原密度;
皮下组织:重建胶原支架;
脂肪层:多余脂肪细胞核凋零并重新排列,打造小V脸;
浅筋膜、深筋膜:胶原纤维收缩,提拉收紧,定格轮廓。

【征服EXILIS】技术原理
1、超极射频+超级声波;
2、无创溶脂紧肤一体化;
3、温控分层溶脂技术;
4、EFC(能量流控制系统);
5、无麻醉、无不适感;
6、无恢复期。

【征服EXILIS】重塑天使面孔
1、整张脸(额头、眼眶、中脸、下脸、下颌等);
2、颈部/乳沟;
3、手部;
4、2次治疗。

【征服EXILIS】独特技术
1、超级射频加热;
2、超声机械振荡。

【征服EXILIS】治疗效果
1、胶原蛋白再生;
2、弹性蛋白再生;
3、皮肤紧致;
4、皮肤密度增加;
5、皱纹/细纹减少;
6、面部提升。

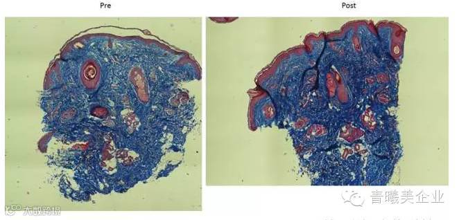
两次治疗后三个月胶原蛋白(蓝色)密度的全面增加
超级射频:面部疗效



【征服EXILIS】精雕完美身材
1、腹部;
2、腰间赘肉;
3、背部脂肪;
4、手臂;
5、大腿/小腿。

【征服EXILIS】独特技术
1、单极射频加热;
2、超声机械振荡;
3、高级半导体冷却系统。

【征服EXILIS】治疗效果
1、脂肪细胞凋亡;
2、多余的脂肪减少;
3、脂肪团减少;
4、深层组织紧致;
5、皮肤紧致。
【征服EXILIS】温控分层溶脂技术
1、半导体冷却系统;
2、可治疗不同组织层 - 从真皮到皮下脂肪(深度为4厘米!)

超级射频:体部疗效



欢迎关注青曦美企业,让我们带您体验更多精彩信息,真诚为您服务。
【分享到朋友圈】请点击右上角按钮→点击“分享到朋友圈”
【关注官方微信】获取更多资讯,请点击右上角→查看官方账号→点击“关注”。
地址:广州市天河区珠江新城天盈广场西塔1701
电话:020-3220-0552

