
上期文章中我们为您总结介绍了组织样品的Western Blot实验的5个方面的技巧,包括:快速处理组织样品、谨慎选择裂解缓冲液、选择最佳的破碎方法、样品制备过程中抑制蛋白质降解并保留翻译后修饰、上样前的蛋白定量。

本期内容我们将继续为您介绍另外的5个实验技巧:
选择适合的凝胶
验证蛋白上样量
选择合适的转印膜
减少内源性免疫球蛋白的高背景
合适的对照
确定适合目标蛋白质的凝胶的一个良好起点是根据蛋白质的分子量选择聚丙烯酰胺浓度。 例如,对于高分子量,选择低浓度凝胶,对于低分子量,选择高浓度胶。如果您想检测单一蛋白,请选择非梯度凝胶。当需要分离一系列不同大小蛋白质时,请选择梯度凝胶。高电压设置可能会导致凝胶“微笑”;为避免这种影响,请降低电压,或在制冷条件下运行凝胶并使用预冷的运行缓冲液。
根据蛋白的细胞定位选择最佳的上样对照。细胞质蛋白的常用上样对照包括管家蛋白:如 β-肌动蛋白或 β-微管蛋白;对于核蛋白,通常使用组蛋白 H1 或组蛋白 H3。近年来,许多研究报道,一些最常用的管家蛋白不适合可靠的蛋白质标准化,强调生理和病理因素可以影响它们的表达水平。Bio-Rad 的Stain-Free免染总蛋白是管家蛋白内参的一个很好的替代方案请参阅微信文章(Western Blot内参归一化方法及选择)。
蛋白可以印移到硝酸纤维素(NC)或聚偏二氟乙烯 (PVDF) 膜上。PVDF 膜具有高机械强度,适合需要抗体剥离和重杂交的情况。PVDF 具有疏水性,需要在甲醇中预浸泡。NC膜具有高信噪比,不需要甲醇预处理。需要注意的是,NC膜不能与含有 SDS 的转膜缓冲液一起使用。选择膜类型时,您可能还需要考虑其他参数,例如孔径,这些参数会影响较大蛋白质与较小蛋白质的结合效率。
减少内源性免疫球蛋白的高背景
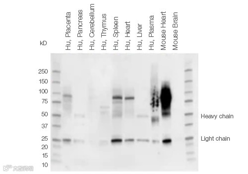
对组织裂解物进行WB检测时,来自内源 IgG 和非特异性二抗结合的信号可能会掩盖低丰度蛋白质或特定分子量蛋白质的检测。对于约 50 kD 和约 25 kD 的蛋白质尤其如此,这些蛋白质可能会被组织样品制备的变性和还原步骤中产生的 IgG 重链和轻链所掩盖。然后通过与 IgG 重链和轻链结合的常规二抗常规检测 IgG 链。当使用组织样本时,这个问题最为明显,例如胸腺或甲状腺,它们是免疫系统的一部分,因此含有大量的内源性免疫球蛋白(如下图)。

使用 Goat Anti-Mouse-HRP Antibody
二抗对不同组织裂解物进行WB检测
Bio-Rad TidyBlot 蛋白质印迹检测试剂(cat# STAR209P 和 STAR209PA)仅与用于蛋白质印迹检测的天然抗体结合,因此为生成干净的组织裂解物印迹提供了良好的解决方案。
为确保一抗的特异性,使用阳性和阴性组织对照非常重要。对于阳性对照,请使用据报告表达高水平目标蛋白的组织类型、表达目标蛋白标记版本的小鼠组织或重组蛋白。 推荐的阴性对照包括仅二抗对照(省略一抗孵育步骤)和来自已知不表达靶蛋白的组织的样品。加入特定的敲除样本或组织特异性敲除小鼠模型可能有助于通过显示在某种组织类型中未检测到靶标来确认抗体的特异性。
您还需要意识到,疾病状态下特定蛋白质的数量存在数量差异。为了解释这些差异,您可以包含来自健康组织和疾病组织的样本来分析异常表达。
了解更多的 Stain-Free 技术请点击
👇👇👇
识别二维码,填写表单
我们将为您提供更多
Stain-Free 技术资料
或为您提供 Demo 机会
参
考
文
献
* BIO-RAD 是 BIO-RAD LABORATORIES, INC. 在特定区域的商标。
* 本产品仅用于科研用途,不用于临床诊断。

