BIO-RAD
美国生理学会旗下期刊《American Journal of Physiology-Heart and Circulatory Physiology》在线刊登了“作者及审稿人在生理学研究中使用抗体的指南”一文,用于规范指导相关研究人员在实验过程中的抗体使用规则。其中,很重要的一部分是和 Western 实验抗体相关的,我们就其中和 WB 定量及内参方面要求向读者做介绍和解读。感兴趣的读者可以阅读该文章的全文(参考文献1)。
在定量 WB 实验中,样品信号处于动态范围内尤其重要。定量的一个重要步骤是验证每个泳道中加载的蛋白量相同,或者通过归一化去除上样量差异的影响。管家蛋白通常用于将靶蛋白丰度归一化。
如果使用管家蛋白跨泳道进行归一化,请确保该蛋白在不同条件下确实不会发生变化。例如 GAPDH 经常用做内参,但在不同的心血管疾病(如心肌梗塞)下也经常发生变化(参考文献2)。
过度上样的问题也非常常见,这种情况下,管家蛋白往往由于上样量大而过曝,很难显示出泳道间的差异。特别是对印迹进行抗体剥离与重杂交时,因为与更丰富的管家蛋白质相比,低丰度的靶蛋白通常需要更多的上样量(参考文献3)。
当分析同一样品组的多个靶蛋白时,不建议剥离印迹并依次进行重杂交。可以做多个胶进行转印,每个胶的上样量可以不同,从而避免高丰富的蛋白过曝。
使用总蛋白染色剂(例如考染、丽春红等)评估泳道上样量。总蛋白比管家蛋白更好,并且允许将每个泳道归一化为泳道中的总蛋白(参考文献4)。
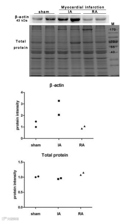
四川大学华西医院的研究人员在他们发表的文章中举出了一个非常典型的案例,用来说明在心肌缺血性梗塞动物模型中,传统的管家蛋白表达都发生了不同程度的变化,而总蛋白染色(Stain-Free 免染)相对稳定,是一种更合适的内参(参考文献5)。下图显示了心肌缺血样品中β-actin的变化,但相同样品中,免染总蛋白表达恒定。
图源:doi: 10.1016/j.bbrep.2017.09.001
对于小鼠心脏样品,手术后1-7天内,常用管家蛋白:β-actin、β-tubulin 和 GAPDH 表达都有明显差异或非常巨大的差异。
图源:doi: 10.1016/j.bbrep.2017.09.001
但我们欣喜的发现,Stain-Free 总蛋白在1-7天内的表达则相对稳定,比传统管家蛋白更适合做为内参使用。
图源:doi: 10.1016/j.bbrep.2017.09.001
来自川大华西医院的研究者的结论是:Stain-Free 总蛋白是各种动物模型心肌缺血性疾病不同阶段最合适的内参
了解更多的 Stain-Free 技术请点击
👇👇👇
识别二维码,填写表单
我们将为您提供更多 Stain-Free 技术资料
或为您提供 Demo 机会
参
考
文
献
* BIO-RAD 是 BIO-RAD LABORATORIES, INC. 在特定区域的商标。
* 本产品仅用于科研用途,不用于临床诊断。

