
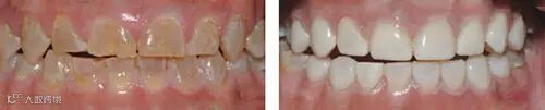
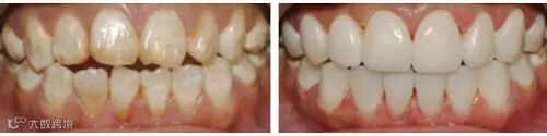
都说爱笑的女孩运气不会太差
这样的笑容能多动人?

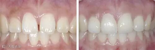
7D牙齿美白技术可以在保存活髓、少磨牙的情况下 ,改善其色泽 ,方便快捷,深受时尚爱美一族的喜爱。

如何关注晟源集团有限公司
. 微信查找公众账号“HK-SYJT”
. 点击右上角按键 选择查看官方账号
. 扫描以下二维码即刻关注
香港晟源集团有限公司
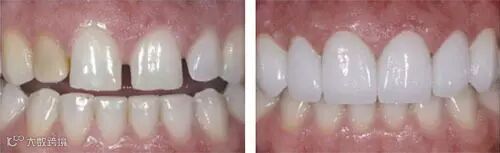
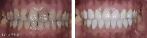
都说爱笑的女孩运气不会太差
这样的笑容能多动人?

7D牙齿美白技术可以在保存活髓、少磨牙的情况下 ,改善其色泽 ,方便快捷,深受时尚爱美一族的喜爱。

如何关注晟源集团有限公司
. 微信查找公众账号“HK-SYJT”
. 点击右上角按键 选择查看官方账号
. 扫描以下二维码即刻关注