感冒怎么办?
多喝水
肚子痛怎么办?
多喝水
牙黄怎么办?
多喝水表示无能为力,不如试试:
1.食醋含在嘴里1到3分钟后吐掉,刷牙。
2.桔子皮晒干,磨成粉,和牙膏共用 。
3.刷牙时往牙刷上放点酵母粉。
4.刷完牙后,沾柠檬汁擦每一颗牙齿。
5.生花生嚼碎,当牙膏用。
6.墨斗鱼的骨头碾碎放在牙刷上当牙膏使用。
相信不少伙伴都与小编一样,为牙黄、牙渍困扰着。上述这些坊间流传的“小妙招”恰恰迎合大家的需要——简单易行。但这些方法是不是有效,是不是安全?都需要在实践之前了解清楚。
含食醋以后再刷牙的做法是非常错误和危险的。幼儿园的小朋友都做过这样的实验:把鸡蛋放在食醋里一晚上,第二天早上就会发现鸡蛋壳变软溶化了,这个现象和食醋对牙齿的影响类似。食醋里的醋酸能使牙齿表层溶解,如果接着再刷牙,牙齿表层的牙釉质就会被去除。
虽然牙齿的确能看起来白一些,但是付出的代价就是牙齿越来越薄越来越小。我们不但不应该用食醋和柠檬汁来美白牙齿,在平时吃过酸性的食物和饮料,比如酸味蜜饯、话梅、果汁、可乐等碳酸饮料以后,也应该立即用水漱口,减少酸性物质在牙齿上的附着。
干桔子皮粉、酵母粉、花生碎、墨斗鱼的骨头粉,这些不辞辛劳的努力其实你一直都在做。
平时吃饭时的那些食物都能起到清洁牙齿的作用。一日三餐不管吃什么,咀嚼食物的同时就使食物不断地摩擦牙齿,起到一定程度的清洁作用。当然那些容易粘在牙齿上的食物或是容易导致蛀牙的糖果不在此列。
此外,牙膏的主要成份也是摩擦剂,只是这些颗粒比食物碎屑更细小,因此能清洁到更细小的牙齿间隙。牙膏中的摩擦剂都是经过大量临床实验证实,不仅不会损伤牙釉质,而且能增加牙齿的光亮度,是比较安全有效的洁齿方法。
目前,超市内的美白牙贴和美白凝胶,以及号称有美白牙齿作用的牙膏,都是含有化学漂白剂成分的产品。
使用牙齿美白产品时,首先要注意,各个品牌牙美白产品的质量参差不齐,在选择时最好选择有品质保证的品牌;其次,每个人都存在体质差异,牙齿也一样。有可能出现在使用了牙美白产品后,牙齿的颜色仍然没有明显变化的情况。再次,使用牙美白产品可能有不良反应,比如牙齿酸痛敏感等。遇到这类问题,最好还是咨询专业医生。
1.含食醋、柠檬汁擦牙齿会腐蚀牙齿表面,损坏牙釉质,牙齿会越来越薄。
2.吃酸的东西不能马上刷牙,不然很容易造成牙釉质磨损,从而引起牙敏感、牙缺损。
3.平时吃饭时的那些食物都能起到清洁牙齿的作用。一日三餐不管吃什么,咀嚼食物的同时就使食物不断地摩擦牙齿,起到一定程度的清洁作用。
4.通过摩擦来美白牙齿,对于牙齿表面的浅着色有一定效果,但对牙齿本身的色泽改变是无能为力的。
5.想牙齿有效美白又减少伤害,最安全的方法还是找专业医生咨询。

牙齿美白是个技术活,还是应该由专业的人来做!不仅技术过硬,效果有保障,还可以量身定制最适合的美白方案!
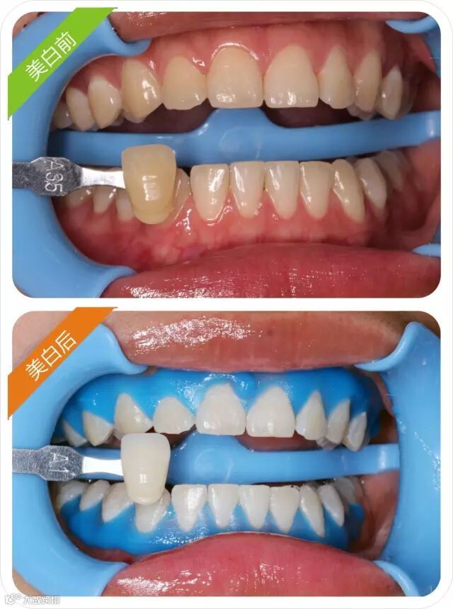
7D牙齿美白 对比图




你检查过你的牙齿了吗?
7D牙齿美白采用了先进的纳米树脂再成技术,可以改变氟斑牙、瓜籽牙、四环素牙齿、残缺牙、牙缝增龄性黄斑牙、死髓牙以及牙齿缝隙过宽等牙齿缺陷,这种技术领先与其他的牙齿美白技术,不留伤口,不损伤皮肤、牙齿。
你知道你牙齿可以这么安全高效的美白吗?
1、美白效果佳:多个美白色号供您选择,象牙白、亮白、超白等。
2、舒适不脱落:有效保护了颌牙和舌侧的形态,几乎无适应期,和真牙无异,不易脱落。
3、安全不伤牙:不磨牙,无需麻醉,美牙过程无任何痛苦,不会刺激牙龈,能最大限度保护牙体组织,对人体无任何毒副作用。
4、效果更持久:该技术所使用的材料具有良好的透明性、遮光性、透光性、美学效果绝佳,不会出现烤瓷牙常见的“黑线”问题,其高温耐磨性、不着色的特点保证了美白、亮泽的长久性。
5、更具性价比:7D牙齿美白技术,美白结束后可立即刷牙、喝水、吃东西,对酸、咸、辛辣东西绝无不良反应,不会影响正常生活。

7D牙齿美白技术是什么?

7D牙齿美白这种技术也不是一般的牙齿漂白或者洗白,而是一种全新的牙齿美白的技术。该技术是利用现代仿生科技研制的最接近天然牙齿成份的纳米树脂快速成型材料,在牙齿上雕刻、修复、美化各类缺陷牙齿,以恢复牙体形态、改善牙齿色泽、使其逼真自然、有质感,达到人们追求美增加自信的目的。

如何关注晟源集团有限公司
. 微信查找公众账号“HK-SYJT”
. 点击右上角按键 选择查看官方账号
. 扫描以下二维码即刻关注

