牙齿这一生,会经受各种「磨难」,会因某些因素导致原本洁白的牙齿慢慢变黄甚至变黑。当牙齿越来越黄的时候,我们开始「花心思」寻求各种牙齿美白方法,甚至小偏方。然后发现往往是竹篮打水一场空。
所谓的“牙齿美白小妙招”
1、食醋含在嘴里1到3分钟后吐掉,刷牙。
2、桔子皮晒干,磨成粉,和牙膏共用。
3、刷牙时往牙刷上放点酵母粉。
4、刷完牙后,沾柠檬汁擦每一颗牙齿。
5、生花生嚼碎,当牙膏用。
6、墨斗鱼的骨头碾碎放在牙刷上当牙膏使用。
7、刷牙时往牙刷上放点盐
牙齿美白小妙招到底该不该信
真心想对这些牙齿美白小妙招说:我走过最长的路,就是你的套路。这些小妙招十之八九都是无稽之谈,简直堪比板蓝根能治癌症,而且使用这些小妙招更是步步惊心。
如将鸡蛋泡在食醋里,只需一晚,蛋壳就会变软,因为醋是一种酸性物质,对很多事物都有软化腐蚀的作用,而牙齿则是其中一种。 如果将醋(柠檬汁)含在嘴里紧接着去刷牙,牙齿表层的牙釉质就会被去除!
虽然牙齿暂时看起来稍白了一些,但是付出的代价却是牙齿越来越脆,越来越薄,很容易沉积其他色素。也就意味着:短期内牙齿可能会白一些;长期来看,牙齿反而容易变得更黄更黑!
因此,我们不仅不应该用食醋和柠檬汁来美白牙齿,在平时吃过酸性的食物:话梅、雪碧、可乐等碳酸饮料后,也应立即漱口,减少酸性物质在牙齿上附着。但不要立即刷牙!!!因为此时牙齿在酸的作用下硬度大大下降,马上刷牙很容易造成牙釉质磨损,从而引起牙敏感、牙缺损。最好在饭后半小时再刷。

摩擦牙齿不等于美白牙齿
相对来说,桔子皮粉、酵母粉、碎花生、盐,墨斗鱼骨头粉之类的所谓“美白牙齿”方法温和了许多,因为“美白”的原理是“摩擦清洁”。但是实验证明:通过摩擦来美白牙齿,对于牙齿表面的浅着色有一定效果,但对牙齿本身的色泽改变是无能为力的。
朋友圈美白仪需慎重!
各种小妙招被否定,这时候就有很多朋友转而选择朋友圈牙齿美白仪,看似实用又方便,事实果真如此吗?首先我们要了解这些:
产品是否合格?
(1)使用的仪器是否通过卫生机构检验?
(2)使用的仪器对人体有无毒性?
(3)使用的仪器对牙髓有无损害?
(4)使用的仪器对牙体硬组织有无腐蚀性?
如果在微商发布的链接中,没有看到该产品的医疗器械或者药品和批文,那可能其使用的药剂是不符合国家规定的,不仅容易直接伤害牙釉质,造成牙齿敏感,还可能导致牙齿脱矿,对于身体的损害是无法估量的。
未给牙龈做任何保护,伤害牙龈
正规的美白必须先给牙龈做保护,否则美白药剂会对牙龈造成损害,而朋友圈的美白仪器并没有相应的保护措施,使用的牙托更是统一的大小,怎么可能保护到牙龈呢?
没经过口腔检查,可能加剧口腔疾病
美白牙齿的治疗必须在口腔清洁、牙龈健康或者是没有牙周病的前提下才能做。如果本身有牙结石或者口腔不健康,美白之后会加剧口腔各种炎症的病情或者增加发病几率,更容易患龋齿。
牙齿美白 晟源7D牙齿美白更放心
牙齿美白是个技术活,还是应该由专业的人来做!不仅技术过硬,效果有保障,还可以量身定制最适合的美白方案!
晟源7D牙齿美白
7D牙齿美白技术是什么?
7D牙齿美白这种技术也不是一般的牙齿漂白或者洗白,而是一种全新的牙齿美白的技术。该技术是利用现代仿生科技研制的最接近天然牙齿成份的纳米树脂快速成型材料,在牙齿上雕刻、修复、美化各类缺陷牙齿,以恢复牙体形态、改善牙齿色泽、使其逼真自然、有质感,达到人们追求美增加自信的目的。
7D牙齿美白适用于哪些口腔问题?
7D牙齿美白采用了先进的纳米树脂再成技术,可以改变氟斑牙、瓜籽牙、四环素牙齿、残缺牙、牙缝增龄性黄斑牙、死髓牙以及牙齿缝隙过宽等牙齿缺陷,这种技术领先与其他的牙齿美白技术,不留伤口,不损伤皮肤、牙齿。
7D牙齿美白技术优势有哪些?
1、美白效果佳:多个美白色号供您选择,象牙白、亮白、超白等。
2、舒适不脱落:有效保护了颌牙和舌侧的形态,几乎无适应期,和真牙无异,不易脱落。
3、安全不伤牙:不磨牙,无需麻醉,美牙过程无任何痛苦,不会刺激牙龈,能最大限度保护牙体组织,对人体无任何毒副作用。
4、效果更持久:该技术所使用的材料具有良好的透明性、遮光性、透光性、美学效果绝佳,不会出现烤瓷牙常见的“黑线”问题,其高温耐磨性、不着色的特点保证了美白、亮泽的长久性。
5、更具性价比:7D牙齿美白技术,美白结束后可立即刷牙、喝水、吃东西,对酸、咸、辛辣东西绝无不良反应,不会影响正常生活。
7D牙齿美白——4大特色
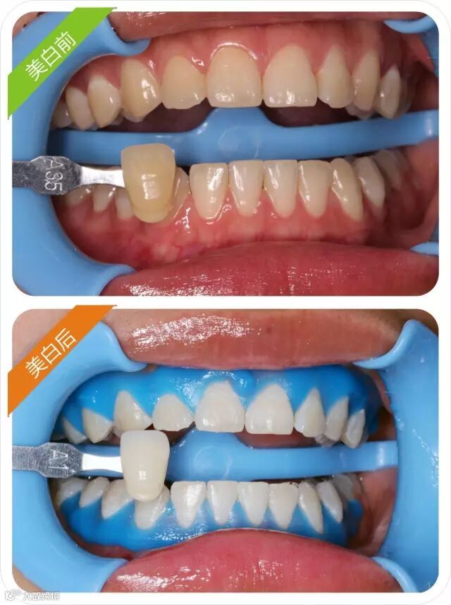
7D牙齿美白 对比图
如何关注晟源集团有限公司
. 微信查找公众账号“HK-SYJT”
. 点击右上角按键 选择查看官方账号
. 扫描以下二维码即刻关注


















