口腔是食物消化的“第一站”,而“牙齿”扮演着重要的角色,它帮助我们切割、撕裂、研磨食物。
如果我们不注意保护牙齿洁白健康,所引起的将不仅仅是牙痛和口气那么简单,还会出现蛀牙、牙龈炎、牙齿松动或缺失等口腔疾病,影响了美观不说,还会影响你享受美食。
严重的口腔问题甚至导致或加剧全身疾病如心血管疾病、糖尿病等等。俗话说牙好胃口就好,所以牙齿是否洁白与身体健康、生活质量息息相关,要认真对待不能马虎。
1981年,世界卫生组织提出了牙齿健康的五条标准(不出现):牙齿清洁、无龋洞、无痛感、牙龈颜色正常、无出血现象。
牙齿美白胶、烤瓷冠……各种牙齿美白方式让很多人跃跃欲试,但如果方法没选对,可能适得其反,让牙齿呈现不自然的光泽,甚至使健康的牙齿受到伤害。
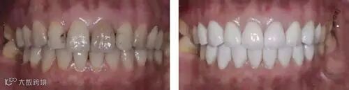
引起牙齿着色、发黄的原因,大体上可分为内源性和外源性两种。外源性主要由茶垢、烟渍、红酒以及饮用水中的矿物质引起。内源性着色是在牙齿发育过程中形成的,如四环素牙、氟斑牙等。牙齿美白必须针对着色原因治疗,才能收到理想效果。

牙齿美白胶能够对四环素牙、氟斑牙、烟斑、茶锈等牙齿着色起到一定的脱色作用,但对有牙釉质表面缺损的患者效果就不理想。
其实,洁牙仅仅只能维持牙周组织健康,它是治疗牙周病的好方法。而如果想要彻底的进行牙齿美白,单纯的洁牙是不够的。
很多人常常通过药店、超市或互联网购买牙齿美白产品后自行使用,牙齿美白产品包括美白牙膏、美白牙贴膜、漂白涂膜等。殊不知如果缺乏医生指导,可能美白效果并不假,且有误用和过量使用的危险。另外,这些产品中多含有过氧化氢、过硼酸钠等漂白剂成分,因而较容易引起牙齿敏感、牙龈刺激、牙颈部和牙根外吸收等不良反应。
牙齿美白治疗结束后的48小时内,不宜使用太冷或太热的食物,也不要喝咖啡、茶、可乐等具有染色效果的饮料。为防止牙齿在此时吸收更多色素,一星期内最好不吃容易染色的食物,如桑葚、麻辣火锅等,也不宜咀嚼槟榔、吸烟等。
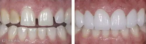
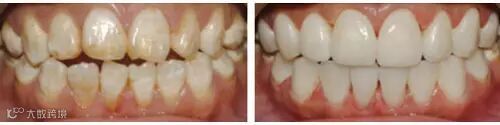
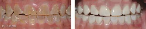
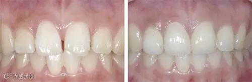
7D牙齿美白技术是牙齿美白修复的一种技术,“齿白七分俏,貌美牙为先”!好的牙齿不仅仅是美的标志,更是自信的招牌,健康的象征!
7D牙齿美白技术可以在保存活髓、少磨牙的情况下 ,改善其色泽 ,方便快捷,深受时尚爱美一族的喜爱。


4、 牙缝稀疏或牙齿轻度歪扭,不想做矫正但咬合正常的牙齿。
7D牙齿美白技术开展以来,深受爱美者的喜爱。 那么,究竟是一种怎样的技术优势征服了众多的爱美人士呢?
7D牙齿美白技术相对来说磨除牙体组织少,有些情况下甚至不用磨除牙体组织,这样可以保存大量的牙体组织,保持天然牙齿长期的健康。
7D牙齿美白仿真的美容效果,具有与天然牙体组织相同的光学特质,不含有任何金属成分,表现出最佳的美学效果,同时不会出现牙龈黑线的现象。
7D牙齿美白具有极好的透光性,牙体预备时可以平齐牙龈即可,这样有利于保护牙龈及制取印模和粘结材料。与牙龈相衔接的区域也仅在唇侧,对牙龈的刺激更小。更不会有金属离子导致的牙龈变色。
7D牙齿美白基本不需要磨切牙齿的舌侧部分,可以保存大部分甚至全部舌侧的形态,有效的保护了颌牙,同时舌头接触到的仍然是未被破坏的天然牙齿,触觉自然、舒适,避免舌头与牙齿接触时的“异物感”。所以说,7D牙齿美白具有良好的舒适性。
牙齿美白后切记大吃特吃,牙齿美白后的48小时内,不宜食用太冷或太热的食物,也不要喝咖啡、茶、可乐等具有染色效果的饮料。为防止牙齿在此时吸收更多色素,一星期内最好不吃容易染色的食物,如桑葚、麻辣火锅等,也不适宜咀嚼槟榔、吸烟等。
如何关注晟源集团有限公司
. 微信查找公众账号“HK-SYJT”
. 点击右上角按键 选择查看官方账号
. 扫描以下二维码即刻关注