“貌美牙为先,齿白七分俏”
牙齿丑的明星都难逃拉低颜值的厄运
所以你一直成为不了女神
可能只是因为这么一个小小的原因
就是……
牙!齿!不!够!白!
就是……
牙!齿!不!够!白!







以下行为,如果你占了三条以上
证明你已经进入“黄牙”队列
❀早晨一杯咖啡
❀中午一点咖喱
❀晚上一杯红酒
❀喝茶不漱口
❀赶时间刷牙不彻底
❀爱喝碳酸饮料
❀习惯吸烟
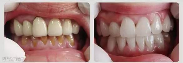
7D牙齿美白技术优势:
7D牙齿美白技术,针对牙黄,牙稀,氟斑牙,牙不齐,牙齿断裂,一次美白操作,保持3-8年不掉色,不痛苦,不用磨牙,随做随走,做完牙齿整齐,干净,对味觉完全没有影响!
7D牙齿美白与洗牙的区别:
洗牙:只是用超声波祛除牙垢。不能起到健白的作用,且易损伤牙釉质,造成长期酸软敏感。
7D牙齿美白:操作简便,无刺激、不伤害牙龈,并且有保护牙齿,牙龈的作用,不改变牙齿结构,是高科技的生活保健美容。在美妙的音乐中牙齿就悄然变白 。
洁白靓丽的牙齿,不仅仅可以带来自信,也可以让你增加好印象;冷光美白技术,让您不再为牙齿美观的问题而烦恼,精心打造完美微笑,三大优势,让牙齿成为你的闪亮明星。

先天性色素牙:遗传性黄牙、先天性色泽不均匀牙齿等.
后天形成色素牙:食物、饮料、烟、酒渍沉淀牙齿;药物性变色牙、自然性变色牙、轻度四环素牙、轻度氟斑牙等。

牙齿美白后切记大吃特吃,牙齿美白后的48小时内,不宜食用太冷或太热的食物,也不要喝咖啡、茶、可乐等具有染色效果的饮料。为防止牙齿在此时吸收更多色素,一星期内最好不吃容易染色的食物,如桑葚、麻辣火锅等,也不适宜咀嚼槟榔、吸烟等。



晟源女神独家代理—7D牙齿美白!女神是怎样炼成的!


如何关注晟源集团有限公司
. 微信查找公众账号“HK-SYJT”
. 点击右上角按键 选择查看官方账号
. 扫描以下二维码即刻关注

