孩子在成长发育期都会一些不良习惯:用口呼吸、吐舌、反向吞咽、吮手指等,这些习惯会造成牙齿萌出的位置异常而且影响颌面部的正常发育。

其实针对这些欧早期可预见的口腔问题,欧美的医师们主张对3-15岁的儿童进行早期干预矫正。更易引起牙齿不齐 。而MRC牙颌畸形矫治系统作为一个最佳的解决方案。
什么MRC肌功能训练矫治系统?
MRC肌功能训练矫治系统是于上世纪九十年代初,由澳大利亚正畸专家Chris Farrel医师应用计算机并结合自己大量的正畸临床工作设计而成,该系统系列产品已获得国际专利,并已在澳洲、美洲广泛使用。
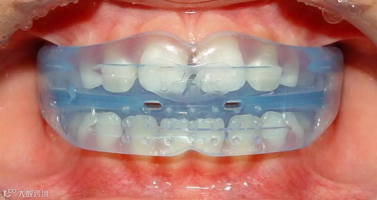
MRC系列矫治器是由高弹性、高稳定性的材料制成,无毒副作用,通过计算机设计成通用型理想的牙弓轨迹,并设计有舌尖诱导装置、舌挡、唇珠、中性颌定位装置等功能结构。MRC矫治器可分为:训练器系列、阻截性系列、正畸用矫治系列、肌功能矫治性托槽系列、TMJ系列。
MRC的矫治的原理
通过训练舌头的正确位置,正确吞咽方式和用鼻呼吸,MRC的训练器和矫治器给孩子们带来整齐的牙齿排列。同时,训练器也对牙列施加轻度的力量,以帮助牙齿的排列和牙弓的扩张。这样的治疗不但排齐了牙齿,而且给孩子们美丽的脸形。同时,大大减少后期托槽矫治的时间也避免了拔牙的发生。
MRC的矫治器的设计特点
中空的舌顶,舌挡和舌垫,训练舌体时刻位于正确位置,破除吮指等习惯;
呼吸孔,帮助过渡到正确的鼻呼吸;
3. 伸长的唇挡,预防唇肌功能过强和过渡活跃;
4. 牙齿轨道,可以排齐前牙。MRC的矫治的目标
1.纠正异常肌肉软组织运动及功能,训练舌尖在正确位置停留及正确吞咽。
2.纠正吐舌、咬唇、咬手指等不良习惯,无需家长喝止帮助孩子自然改正。
3.帮助矫正颌骨的位置,促进孩子用鼻子呼吸,不再口呼吸。
促进牙齿正常发育,可帮助缩短矫正时间,甚至摆脱矫正后的保持器和避免矫正后的复发。
什么症状需要MRC肌功能训练矫治?
MRC的矫治的最佳适用期
乳牙期(4—5岁):主要适用于乳牙反颌,早期矫正有利于上颌骨发育,预防错颌。
替牙期(8—12岁):如有咬唇、龅牙、伸舌、口呼吸、咬合深等症状,家长应及时带孩子检查正畸。
恒牙期(11—15岁):常见的错颌、牙列不齐、地包天等畸形可配合其他矫治器得到最佳治疗。
MRC的使用佩戴方法


MRC的肌功能矫治器的材质是软硅胶,医生会根据孩子的口腔情况来选择大小,给牙齿、颌骨留出一定空间,孩子戴时会有足够空间,不会压在上面,因此不会有强烈的不适感,戴进去也只是讲嘴巴轻轻包起来而已。
注意事项:
不会给患者带来太多不适,开始会有异物感,但并不会影响正常生活,不过在佩戴时不能说话,不然有可能会损坏矫治器。
MRC的佩戴时长
想要取得较好的治疗结果必须每天在清醒状态下至少戴MRC矫治器1-2个小时,此外每天晚上睡觉全程佩戴即可。
并且,在佩戴的过程中并不会影响佩戴者的日常生活,小朋友们可以一边做作业、看书,或者玩耍,一边佩戴MRC肌功能矫治器。
MRC矫治多长时间见效?
一般来说,只要宝贝跟医生配合度高,佩戴时间足够,常规八到十个月就能见效。从临床上看,要让小朋友有一个适应过程,所以一般现在是十到十二个月的一个配戴时间,基本上是效果比较好的。
MRC早期矫治包含两个方面:佩戴矫治器和进行肌功能训练。
因为我们采用的是可以由孩子自行取出的治疗器具,所以,治疗结果的成功与否,完全决定于孩子的意愿与配合。孩子必须矫正口腔不良习惯,完全听从医嘱,良好的配合使用矫正器。孩子的肌功能训练与佩戴矫治器一样重要,想要取得好的效果,必须持之以恒,每天进行医生指定的肌功能训练练习。
使用注意事项:
1.越早配戴越好,以矫正不良口腔习惯,保障口腔环境的正常使用为主;
2.由于孩子处在生长发育时期,颌骨会发生些变化,所以戴入矫治时间一般在1-2年左右;
3.初戴矫治器期的一周期间,有不适感(唾液分泌增多,口齿不清,酸痛,进食困难,局部粘膜牙痛等)慢慢习惯适应就会好转;
4.注意保持口腔卫生,白天清醒状态下刷牙或漱口后戴入矫治器,每日累计时间必须达到2小时,晚上刷完牙后将矫治器戴入口腔,并夜间睡眠整晚戴入;
5.正确戴入方式:舌位上抬,舔在舌顶,上下唇用力闭合,但不要紧咬矫治器,只要牙齿的切端轻轻入槽就可,用鼻呼吸;
6.戴入矫治器后的1-2周内必须复诊一次,医生会对其佩戴是否正确,佩戴时间是否足够等进行评估,做出必要的调整,并听从医嘱定期按时复诊;
7.必须按照医生教的方式摘戴矫治器,取下时不要用猛力推、拉,戴入时请勿紧咬、说话、唱歌等,以免造成矫治器咬裂或变形,从而影响矫治计划;
8.矫治器不佩戴时,应清洁干净放入保持器盒,以免损失或丢失;
9.矫治器的维护:用清水浸泡、清洗,禁刷、禁高温消毒;每周浸泡一次,每次五分钟,可购买清洁片如保丽净浸泡,以达到消毒除菌,去除长期佩戴残留的气味;
10.佩戴初期会有不适,夜晚矫治器会从口中脱落,需要通过加强清醒状态下的佩戴来让矫治器整晚保留在口中;
11.矫治器遗失或破损,须重新配置矫治器继续矫治计划;
12.坚持每日按照医嘱认真做好“肌训练”;

精典口腔地址:广州市解放中路306号首层(地铁一号线二号线公元前站A出口往南走300米)
电话:020-83176570
手机网站:m.jdyake.com

金典牙科地址:广州市中山一路46号首层(地铁一号线五号线杨箕站D出口即到)
联系电话:020-87607812
QQ:799417966
手机网站:m.jdyake.com

番禺栋梁口腔专科门诊部 :广州市番禺区石基镇富庭雅园桥边街65号,23路车在大龙小学下,3路车或者市桥到莲花山的车在大龙桥站下走300米。
咨询电话:020-61917789
手机网站:m.jdyake.com


