哪些牙齿应该及时美白?
俗话说一白遮百丑,牙齿也是如此,无论美丽的标准如何改变,洁白永远都是牙齿美丽的王道。如下几种变色牙需要及时美白:
普通变色牙:因清洁不彻底、食用酱油等常见原因造成的牙齿表面变黄、变黑等普通变色牙。
烟碱尼古丁变色牙:因长期接触烟草、咖啡、茶、可乐等导致表面色素沉淀的牙齿。
氟斑牙:由于饮水中含氟量过高而引起牙釉质变黄或出现白垩色到褐色斑块的牙齿。
四环素牙:因服用了四环素类药物,造成牙齿硬组织矿化抑制而出现变色的牙齿。
其他变色牙:蛀坏牙、年龄老化变色牙、营养不良或遗传等其他原因造成的变色牙。

什么是冷光美白?
冷光美白是指用一种高强度蓝光,照射到涂抹在牙齿上的特殊美白剂(主要成分是过氧化氢和二氧化硅)上,使美白剂与牙齿表面及深层的色素产生氧化还原作用,使牙齿回到未经染色前的洁白。
冷光美白的适应症
外源性染色(烟草,可乐,茶,咖啡,酱油等有色物质造成的外源性染色)
增龄性黄牙
不能使用冷光美白的人群
强光过敏者
过氧化氢过敏者
树脂过敏者
16岁以下
孕妇和哺乳期女性
操作过程
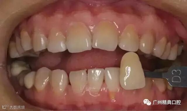
1.美白前比色及记录
在做美白前我们先用专业的比色板来看一下牙齿颜色。


2.美白前的牙龈保护
佩戴护目镜,牙面抛光后吹干牙面及牙龈边缘,我们用蓝色的光固化树脂牙龈保护剂保护牙龈。(这一步非常重要!)

3.涂布美白胶
牙面上无色透明的胶体状物体就是牙齿美白剂(主要成分是过氧化氢)

4.冷光美白灯照射(根据牙齿染色程度光照8~10分钟)

5.美白治疗后比色

问题一 冷光美白安全么?
牙齿冷光美白由于低温冷光环境下,避免了操作过程中对牙神经的刺激。美白剂的主要成分过氧化氢, 安全使用在牙齿脱色上已有数十年之久。在亲水性药物和完全不接触牙龈的美白过程中,对牙齿结构及珐琅质不会造成任何伤害。
问题二 美白效果能持续多久?
美白效果有个体差异。一般美白效果可持续两年以上。(会有个别情况效果不显著)
问题三 冷光美白过程会痛么?
美白过程是无痛的,但是有的人由于有牙龈退缩,牙本质暴露,牙齿表面的隐裂,在美白过程和美白后会有酸的敏感症状。
问题四 冷光美白后要注意些什么?
1.冷光美白后24小时,避免使用带色素的食物和饮料(可乐,红酒,酱油等)
2.有些牙齿可能会有轻度不适,觉得敏感,一般会几天后缓解,可以使用一些抗敏感牙膏。
3、要养成饭后漱口的习惯,这样能有效防止牙齿回色,若再选用一管美白牙膏效果会更佳。这也属于牙齿美白的注意事项。
不过牙齿美白的前提是牙齿健康,还是要在牙齿健康,牙龈健康的前提下做冷光美白,如果口腔有蛀牙,有牙龈炎,还是先治疗好之后再考虑美观的问题吧。

精典口腔地址:广州市解放中路306号首层(地铁一号线二号线公元前站A出口往南走300米)
电话:020-83176570
手机网站:m.jdyake.com

金典牙科地址:广州市中山一路46号首层(地铁一号线五号线杨箕站D出口即到)
联系电话:020-87607812
QQ:799417966
手机网站:m.jdyake.com

番禺栋梁口腔专科门诊部 :广州市番禺区石基镇富庭雅园桥边街65号,23路车在大龙小学下,3路车或者市桥到莲花山的车在大龙桥站下走300米。
咨询电话:020-61917789
手机网站:m.jdyake.com


