
传统补牙,在多次补牙后,牙齿的缺失反而越来越大。有时候刚补牙没几天,却因为咀嚼较硬的食物,补的牙就掉了,甚至是补过的牙有出现了继发性龋齿,而嵌体修复让你补牙不再担忧。

传统的补牙是在口内一次性完成的,就是把蛀的部分磨掉,然后再补上材料,最后进行抛光,整个的操作过程受到口腔唾液,以及医生在口腔内操作空间太小等等一些很难避免的因素的影响,最终使得补上去牙齿寿命不长,很可能引发脱落和继发龋。而且像那种面积较大的龋坏和特殊部位的龋坏进行补牙也不耐用。多次补牙之后,牙齿的缺失反而越来越大。
牙齿刚补了没几天,却因为咀嚼较硬的事物,补进去的银汞材料掉出来一大块;
用牙签拨弄嵌在牙齿里的食物时,连同补牙的填充物一起拨了出来,不停地嵌食物,不断用牙签,结果,牙洞越来越大……
随着口腔医学的迅速发展,嵌体以磨除牙体组织少、机械性能好、边缘密合性好、可高度抛光等良好性能,越来越多的被人们所接受。

嵌体是一种嵌入牙体窝洞内部,用以恢复缺损牙的形态与功能的一种修复体。“嵌体”是为牙齿量身定做的修复体,通过黏合剂将其黏在有缺损的牙齿上,由于嵌体在形态、硬度等各方面与牙齿吻合度很好,这样不仅解决了牙齿缺失部分容易变大的难题,也减轻了患者频繁补牙的痛苦。
嵌体和传统的补牙不同之处在于:普通充填术做充填治疗时一般用银汞合金、光固化复合树脂等,不需要技工配合,医生可以独立完成,所需时间短、费用低。而嵌体是在口外石膏模型上由专门的牙科技师制作出来的,然后再由临床医生将其戴入患者口内,最终粘固形成的,价格也较高。

但和充填材料相比,嵌体有它的优势,这种优势是它被口腔诊所广泛采用的主要原因。
1、极佳的生物相容性和美学效果。这是一切全瓷的特性,不存在所谓的金属过敏现象。全瓷的美学特性是众所周知的,美学效果非常显着。
2、良好的耐腐蚀性,耐磨性。陶瓷可以留存在世间数千年而不腐蚀,所以,用瓷材料做为嵌体就不存在腐蚀问题。
3、边缘密合性高。这一点取决于牙医的操作技术和牙科技师的制作水平。
4、邻面可高度抛光,形成良好的邻接关系。光滑的抛光面可以减少菌斑的附着,容易清洁。
5、邻面缺损采用瓷嵌体修复,可以用最少量的磨牙方式来达到瓷冠套同样的效果。
6、牙合面形态与对牙合牙高度协调。因为瓷嵌体是在模型上做的,可以高度模仿对咬关系,并形成最佳的修复面。
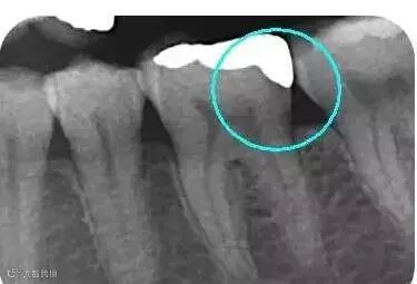
从下面这张X线中可以看出,嵌体远中边缘没有悬突,与牙体边缘密合相接。

这些嵌体,在最终戴如患者口内的时候,真是的非常的完美。在使用上没有任何的影响和不适,而且坚固耐用。

做嵌体修复的时候,好的材质也对嵌体的修复效果产生影响。
普通合金嵌体:价格便宜,延展性较差。
瓷嵌体:颜色逼真度高,但对医生的制作要求高,使用不当有碎裂可能,较金属嵌体导热性低,深龋不易刺激牙髓组织。
超瓷嵌体:颜色较金属嵌体逼真,接近于牙齿颜色,超硬树脂材料。抗折强度和耐磨性不如金属嵌体。
黄金嵌体:延展性最好,长期使用密合度高,不易发生继发龋(再次蛀牙),生物相容性也较好,长期使用对人体无任何副作用。
金属嵌体与瓷嵌体的修复对比


1、牙体任何部位的龋齿造成的牙体缺损修复。
2、牙体缺损较大,一般充填材料难以获得良好的固位。
3、牙合力过大的后牙牙体缺损。
4、后牙牙尖、边缘嵴缺损。
5、后牙接触点的恢复。
6、用高嵌体恢复牙冠高度及外形。
7、支持可摘局部义齿的支托部位的保护性修复。
8、牙体缺损至龈下,一般充填材料难以获得良好的边缘性。
嵌体可以理解为“为牙齿量身定制的修复体”, 在形态、硬度等各方面与牙齿吻合度很好,可以很好恢复原来牙齿的外形及咀嚼效率,这是传统补牙无论如何都无法比拟的。

精典口腔地址:广州市解放中路306号首层(地铁一号线二号线公元前站A出口往南走300米)
电话:020-83176570
手机网站:m.jdyake.com

金典牙科地址:广州市中山一路46号首层(地铁一号线五号线杨箕站D出口即到)
联系电话:020-87607812
QQ:799417966
手机网站:m.jdyake.com

番禺栋梁口腔专科门诊部 :广州市番禺区石基镇富庭雅园桥边街65号,23路车在大龙小学下,3路车或者市桥到莲花山的车在大龙桥站下走300米。
咨询电话:020-61917789
手机网站:m.jdyake.com


