说到牙周炎,颇有感慨!牙周病患病率在我国比较普遍高达「90%以上」,以35岁以后较为常见。不过遗憾的是,我们国家整个大众口腔卫生的「自我保健意识」还是比较低的,不重视的后果就是牙根暴露,牙齿松动甚至不得不拔掉牙齿。

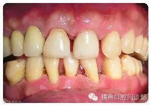
严重牙周炎
如上图所示,橙色线为正常牙龈高度,当患有牙周炎,会累及「牙槽骨」,导致牙槽骨慢慢流失(紫色线),这时牙齿就失去了「支撑的土壤」,开始松动甚至脱落。坦白来讲,牙周炎发展到这种程度,很多时候医生也「束手无策」!为了保留更多的牙槽骨,医生会不得不拔掉严重松动的牙。
牙周炎能治好吗?
先下结论,牙周病「只能控制」,不能「真正治愈」。我们只能通过控制菌斑,定期洁牙清除牙石,刮治等局部致病因素,将牙周区域的细菌数量尽可能控制住。
想要知道为什么只能控制不能治愈,我们还要从“始动因子”开始说起!不得不提到的就是「牙菌斑」。
牙菌斑就是嘴巴里的「细菌」及他们为了「生存分泌出来物质」的合称,相当于「细菌」的居民区和食堂。薄薄的一层粘附在牙面上,不能被水冲走,只能靠机械性的摩擦(刷牙)去除。
当细菌住宅区也有壮大的时候,牙周炎可能要开始了。

既然说到牙周炎是牙菌斑中的细菌引起的,为何不叫「牙周感染」?
实际上,我们很多人把炎症和感染这两种概念混淆了。感染,只是「炎症反应」中的一种,是由「病原体入侵」某处引起的,而炎症则是身体的「免疫细胞」聚集在某处干活的状态。
举个栗子:比如你的手破皮了,出现伤口红肿疼痛的,也有可能出现化脓的,这种就是炎症,因为伤口被「细菌感染」所致;如果摔伤了,并没有伤口,但是摔处还是红肿疼痛,这也是一种炎症,是因为「组织创伤」引起的。
所以,只有我们搞清楚「感染与炎症」的区别,才能理解「牙周炎」为什么那么难治。
原来它们经历了这么多"战争"
牙周炎的「本质是炎症的反应」,可能最初是由牙菌斑里的「细菌感染」引起的,但是发展到后来就不是那么回事了。

我们的嘴巴里有无数细菌,大家都和平共处,相安无事。至到有天,某坨牙菌斑里的细菌混混「丧心病狂」的弄死了「牙肉组织」里的某个正常细胞,当然,这细胞也不能白白死去啊,它的兄弟们也会赶来把犯事的细菌干掉替它报仇。
你说这种小冲突太常见了。但是不巧的是,某个责任心过强的「免疫细胞」把这事上报给免疫系统总部了。总部系统说,这事必须引起注意,细菌太嚣张了,派人「驻守」在那儿,杜绝后患。
免疫系统嗨起来了吧,到这里,牙周炎的「发病机制」才算正式启动。
不好,事情有点闹大了,口腔里的细菌也不是吃素的,它们迅速进入战斗状态,准备和免疫细胞大干一场,可是细菌那么多,免疫细胞根本就不是它的对手,最后只能死于敌手。
让人悲伤的是,细菌可是杀不完的,而免疫细胞前仆后继,以「整个身体的庞大后勤」作为支持。战争还没有分胜负,牙周组织那一块算是完了。无数的「正常细胞受牵连纷纷躺枪」。直到最后,哪怕局部没有那么多细菌,杀红了眼的「免疫细胞」仍然释放炎症因子,继续维持炎症反应,滥杀无辜细胞。

炎症发威了!
接下来,表现出牙龈红肿、出血、退缩、牙周韧带被破坏,牙槽骨被破坏吸收。最后我们看到的就是牙根越来越长,牙齿开始松动了。
说到这里,大家应该明白了吧!牙菌斑只是牙周病的始动因子,一旦开始这种发病机制,就很难被中止。我们能做的也就是控制牙周区域的「细菌数量」,让那些驻守的免疫细胞「息怒」。

精典口腔地址:广州市解放中路306号首层(地铁一号线二号线公元前站A出口往南走300米)
电话:020-83176570
手机网站:m.jdyake.com

金典牙科地址:广州市中山一路46号首层(地铁一号线五号线杨箕站D出口即到)
联系电话:020-87607812
QQ:799417966
手机网站:m.jdyake.com

番禺栋梁口腔专科门诊部 :广州市番禺区石基镇富庭雅园桥边街65号,23路车在大龙小学下,3路车或者市桥到莲花山的车在大龙桥站下走300米。
咨询电话:020-61917789
手机网站:m.jdyake.com

