牙齿不整齐,好没自信,每次笑都要遮住牙齿。面试的时候,也会因为牙齿问题被拒绝。可是牙齿不好,真的有必要矫正吗?

1F
从外观上看∶
现在大多数人矫正牙齿就是为了美观,如果从小牙齿都不好看会引起心理敏感。

2F
从时间上看∶
矫牙从来不会太晚,但只会越来越难。这里纠正一个观点,矫正牙齿并不是换牙以后。
所以成年人矫正牙齿就太晚了吗?
其实成人矫正牙齿是没有时间限制的,50多岁去矫正的人都有,唯一的问题就是成年人矫正时间会比儿童要稍久一点,当然技术好的医院也会稍快一些,不过矫正牙齿是个长期治疗的过程,切忌心急,另外矫正的时间也受每个人的牙周条件影响。
3F
从健康上看∶
站在牙医的角度上来看,矫正牙齿不仅仅是为了美观,更有健康和功能的问题。如咬合、咀嚼功能等,尤其是在青少年期间。易造成细菌滋生,牙齿排列不整齐,会使得口腔细菌附着在上面不容易清洗,从而引起牙龈、牙周炎症等口腔疾病。
网上说的牙齿不整齐影响脸型是真的吗?
这个确实是真的,牙齿不齐会导致面部外观不协调,颌骨及软组织的生长异常,影响美观。
对于牙齿矫正最大的阻碍
是不少人听说牙齿会容易松动脱落!
这算是一个谣言了,正畸利用的是牙槽骨的改建能力。在矫牙的过程中,牙齿必然要比平时松动一些的,否则牙齿无法移动,一般矫正牙齿要一两年之后才能最终稳定。另外,医生的矫正技术也很重要。

人的牙齿一直都处在变化当中,变化是不可逆的,如果你在矫正牙齿之后,不戴矫正器、不听医生的叮嘱而使牙齿出现问题,这个就是个人原因了。
什么情况需要矫正呢?
1、牙齿拥挤、排列不整齐,或者空间不够导致牙齿重叠拥挤状态。
2、牙齿有缝,牙齿排列过于稀疏。
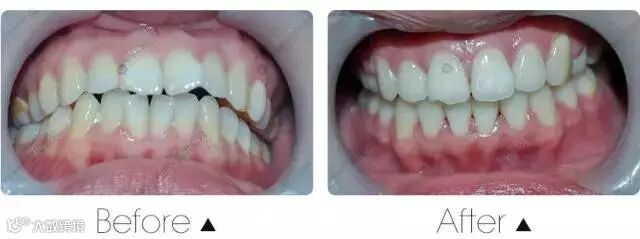
▲牙矫正效果图
3、上颚前突,龅牙,即上前牙过于外凸。
4、反合,俗称地包天,下前牙咬在上前牙的外面。
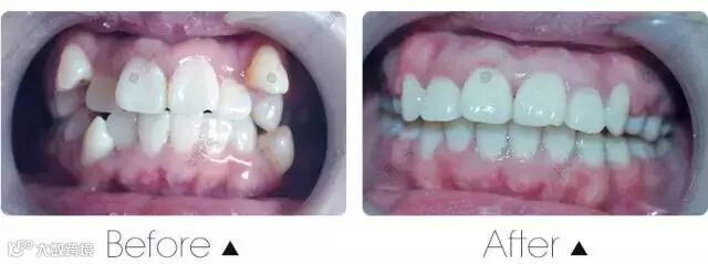
▲牙矫正效果图
5、上前牙与下前牙不能咬在一起。若无法咬合,会导致上下门牙无法切咬食物,说话会漏风喷口水,嘴巴无法闭紧。
6、牙齿倾斜或牙齿长期缺损,导致相邻牙齿移位。还有一部分牙齿上牙覆盖下牙,亦或者是异味埋伏阻生的牙齿也都在可矫正的范围内。
▲牙矫正效果图

精典口腔地址:广州市解放中路306号首层(地铁一号线二号线公元前站A出口往南走300米)
电话:020-83176570
手机网站:m.jdyake.com

金典牙科地址:广州市中山一路46号首层(地铁一号线五号线杨箕站D出口即到)
联系电话:020-87607812
QQ:799417966
手机网站:m.jdyake.com

番禺栋梁口腔专科门诊部 :广州市番禺区石基镇富庭雅园桥边街65号,23路车在大龙小学下,3路车或者市桥到莲花山的车在大龙桥站下走300米。
咨询电话:020-61917789
手机网站:m.jdyake.com


