很多人觉得刷牙只不过是一件小事情,其实不然。
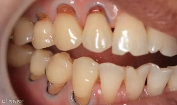
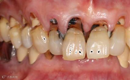
现在,请你先对照镜子,张开嘴,看看你的牙齿根部,是不是像下图一样,隐隐约约有些凹下去了?如果是,那你就得当心了!
▼


与普通蛀牙不同,出现这种情况,你的牙齿危险了!
医学上称之为“楔状缺损”!
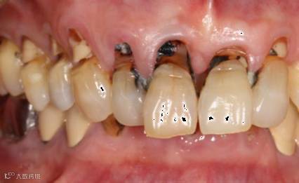
恐怖!大爷牙齿出现横槽,一颗颗掉!
杨大伯是一名退休职工,每天坚持早晚刷牙,每次至少刷3到5分钟,这个习惯一直保持至今。
然而,近几年他时常出现牙疼、牙齿松动,先后掉了十几颗牙。
为何坚持刷牙牙齿还会一颗一颗地掉了呢?医生经过一番检查,发现杨大伯不少牙釉质和牙龈交接处,都有较明显的横槽。


↑↑↑而这种横槽就是“楔状缺损”!
由于它外形酷似木匠用的楔子,因此称为“楔状缺损”。

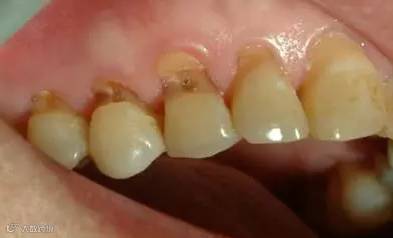
为何出现楔状缺损?
原来是横向刷牙惹的祸!
医生仔细一问,原来杨大伯数十年来都有横向刷牙的习惯,而这正是他牙齿一颗颗掉了的“罪魁祸首”。
医生表示,横着刷牙特别是横着使劲刷牙,时间长了,易造成牙齿颈部的楔状缺损损害,牙齿表面刷出一道道槽沟,进而形成牙髓炎、牙疼、牙变色、牙变死等。
此外,酸、细菌、挤压的作用,也会造成牙齿“楔状缺损”。
症状较轻者:

对于组织缺损较少且无酸痛症状者,局部不需要特殊处理。但要避免横刷,并选用较软的牙刷和磨料较细的牙膏。
缺损较重者:

可选用与牙齿颜色近似又有一定粘接性的复合树脂或玻璃离子粘固粉等将楔状缺损补好,以防继续发展。
重度缺损者:

重度缺损而引起牙髓炎、根尖炎的患者,要及时进行治疗。对于牙折者,根面好的行根管治疗后,作接冠术、桩冠或拔牙。
赶紧学一招:巴氏刷牙法
▼

精典口腔地址:广州市解放中路306号首层(地铁一号线二号线公元前站A出口往南走300米)
电话:020-83176570
手机网站:m.jdyake.com

金典牙科地址:广州市中山一路46号首层(地铁一号线五号线杨箕站D出口即到)
联系电话:020-87607812
QQ:799417966
手机网站:m.jdyake.com

番禺栋梁口腔专科门诊部 :广州市番禺区石基镇富庭雅园桥边街65号,23路车在大龙小学下,3路车或者市桥到莲花山的车在大龙桥站下走300米。
咨询电话:020-61917789
手机网站:m.jdyake.com


