牙缝大也可能会引来疾病吗?
牙缝大也可能会引来疾病吗?
核心提示:有一口洁白整齐的牙齿会给人留下好的印象,但是不少人都有牙缝,牙缝大也会引来疾病吗?
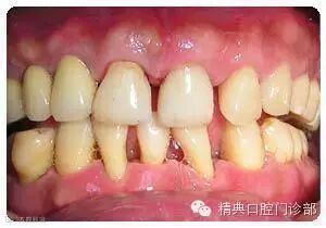
每个人都有牙缝,正常健康的牙齿,牙龈饱满,牙龈乳头填塞住牙缝,用肉眼难以看到牙缝的存在。
牙缝增大的原因

有的人可能某些牙齿先天过小,这样某些部位牙缝偏大是正常的;病理性的牙缝增大,则是一般牙周疾病造成的。尤其是慢性炎症长期存在、反复发作,造成牙槽骨吸收、牙龈退缩。牙龈萎缩到一定程度,牙根暴露就会导致牙齿松动,甚至脱落。
专家提示:随着女性逐渐步入中年,骨骼中的钙质开始流失,特别是更年期前后,也会出现牙缝增宽等现象。
这样一来,牙齿遇到冷热酸甜就会感到疼痛。同时,暴露的牙根还容易堆积食物残渣和牙垢发生龋齿。所以在更年期前后,女性特别容易发生龋齿、牙龈炎、牙周炎等牙病。此外,更年期妇女的唾液分泌减少,口腔自洁作用减弱,加上内分泌水平改变的影响,很多女性会出现口干、发涩、舌黏膜烧灼感等不适感觉,还容易发生复发性黏膜溃疡,扁平苔藓等口腔黏膜疾病。
牙缝大,口腔疾患如何预防

专家表示:首先要特别注重保持口腔卫生,养成早晚刷牙和饭后漱口的习惯,最好在刷牙同时使用牙线;同时,每天晨起和晚间可以进行“叩齿”训练并按摩牙龈,这可以促进牙周局部血液循环,增加牙龈组织的抵抗力,减缓牙槽骨的萎缩;此外,对于更年期出现的口腔黏膜感觉异常等,可补充一些钙质、复合维生素等。女性步入更年期后,至少要每年看次牙科医生;一旦牙齿松动,咀嚼无力等,应尽快就医。


精典口腔地址:广州市解放中路306号首层(地铁一号线二号线公元前站A出口往南走300米)
电话:020-83176570
手机网站:m.jdyake.com

金典牙科地址:广州市中山一路46号首层(地铁一号线五号线杨箕站D出口即到)
联系电话:020-87607812
QQ:799417966
手机网站:m.jdyake.com

番禺栋梁口腔专科门诊部 :广州市番禺区石基镇富庭雅园桥边街65号,23路车在大龙小学下,3路车或者市桥到莲花山的车在大龙桥站下走300米。
咨询电话:020-61917789
手机网站:m.jdyake.com

