【摘要】
在日常生活中,牙龈出血非常常见,而且,大家都习以为常。有的人是刷牙时出血,有的人是吃苹果出血,严重点的稍微微用力吸吮时就会出血。问题是,大多数人并不在意,觉得是“热气”,过几天就好。或者出血久了,认为是正常的。但,实际上,这正常吗?
专家告诉我们,这不正常。我们正常的牙龈是粉红色的,即使稍微用力一点刷牙,也不会出血。牙龈出血是口腔健康欠佳的一个标志;长期出血,甚至有可能是慢性牙周炎。而慢性牙周炎,是“老掉牙”的罪魁祸首,如果没有及时治疗,会引起更多的口腔疾病。
牙周病:“老掉牙”的罪魁祸首

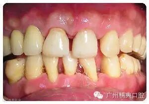
据精典口腔牙科联盟专家介绍,牙周病是支持牙齿的组织,如牙龈、牙槽骨、牙周韧带等感染而引起的疾病。不及时治疗,初期会引起牙龈出血及牙龈萎缩,后期导致牙骨吸收、牙齿松动、牙缝增大过度增生等症状,严重的可能会掉牙。有人可能会问,区区牙周病怎么会导致掉牙?专家解析,这是因为牙周病扩散到牙槽骨,而牙槽骨有支持牙齿的作用,有炎症不及时治疗就会导致牙齿松动甚至缺失。
易引发其他全身疾病

牙周病还会引起牙龈周围出现脓肿,不但产生严重口臭,还会使抵抗力弱的人发生脓进肺的致命状况。不仅如此,牙槽骨里的脓,还会引起骨髓炎,随着血液流到全身还可能引起败血症、心内膜炎、心脏麻痹等。专家表示,牙周病不仅损伤牙齿和牙周组织,还会引起各种疾病,甚至导致死亡。
尽管如此,很多人还是会疏忽牙周病。牙周病不知不觉潜入我们身体,初期根本没有疼痛现象,病情发展到一定程度才感觉疼痛。很多来医院诊疗的人大部分都是到了中期,用简单的方法很难治疗,严重者甚至要切开牙龈除去炎症组织。
早发现早治疗是关键

专家呼吁,发现牙齿出问题,应趁早去医院口腔科接受诊疗。当牙龈由粉红色变成红色、出血、脓肿、疼痛时千万不要犹豫,马上治疗。这时属于牙龈病的早期阶段,只要洗牙去除牙结石就能治愈。尤其是老年人,缺牙的要及时镶上,否则由于口腔内组织退化,诱发牙周病的可能性更高。80%以上的老年人都患有牙周疾病,日常生活受到很大影响,早期发现牙周病并及时治疗,这对牙齿及全身健康都有益。
信息来自网络,如有侵权,请告知!
想了解更多、更详尽的牙齿保健知识,,请关注《精典口腔》,微信号:JD-aiya, QQ空间:1917501939 感谢您的分享!
口腔健康咨询热线:020-83176570。也可添加小编的微信:JDKQ-DaBai
长按下边二维码关注“精典口腔”


