缺牙齿
嗯哼
我最爱的零食

咦
啥?是这个

怎么肥四
没有一点点防备也没有一丝顾虑
你就这样出现在我的世界里
带给我惊喜
缺牙说来就来完全没有预兆
带来的却是有惊无喜
小编总结了“缺牙”给的暗示
请仔细收好哦


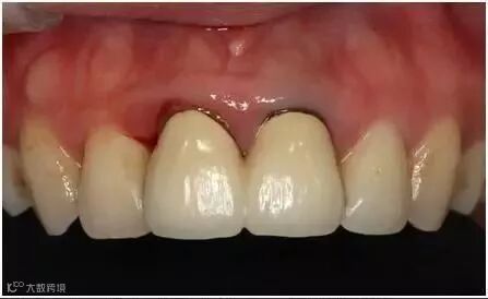
刷牙出血、牙齿敏感、牙龈异常
这些症状出现你可能患了牙周病。牙周组织逐渐破坏,龈沟加深,形成牙周病态。最后牙槽骨吸收,会出现牙齿松动、脱落或者拔除,也是缺牙出现的主要原因之一。

1.保持口腔清洁。
这是最简单有效的方法,要注意早晚刷牙,而且每次刷牙都不能少于三分钟,并且注意食后漱口,如果牙齿清洁不够干净可以用牙线剔除。
2.正确咀嚼。
不能经常单侧咀嚼,应该两侧交替咀嚼,因为单侧咀嚼容易导致另一侧缺少生理性刺激,容易发生萎缩,而另一侧可能因为负荷过重,导致牙髓炎,引起掉牙。
3.定期洗牙。
人们口腔内普遍有牙垢和牙结石,这样会压迫到牙龈组织,导致牙龈受损,有利于细菌滋长繁殖,引起慢性炎症。而洗牙能够去除牙垢和牙结石,防止牙周炎的出现。
4.定期检查。
每半年去医院做一次口腔检查,发现口腔问题,及时治疗。
1.活动假牙。
其原理是通过卡环“钩住”剩余牙齿来稳定假牙,日常使用中会影响美观、发音,有异物感,而且假牙必须取下清洁刷洗,缺点较多,麻烦不少。

2.烤瓷牙。
烤瓷牙是许多明星艺人选择的修复方式,它跟真牙基本一模一样,受到许多时尚人士、商务精英的喜爱,但是缺点是缺掉一颗需要补三颗,需要借助周边牙齿的力量,会相对影响周边的牙齿。

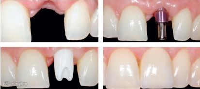
3.种植牙。
是在缺失牙的部位将纯钛的种植体植入牙床内,等种植体与周围骨质发生骨融合,然后在种植体上安装牙冠或牙桥。种植牙的结构与感觉类似于天然牙齿,无需取戴,咀嚼功能强。目前这种镶牙法,是口腔医学界公认的缺失牙首选修复方法,被誉为“人类的第三副牙齿”,是目前国际上最主流的牙齿缺失修复方式。


精典口腔地址:广州市解放中路306号首层(地铁一号线二号线公元前站A出口往南走300米)
电话:020-83176570
手机网站:m.jdyake.com

金典牙科地址:广州市中山一路46号首层(地铁一号线五号线杨箕站D出口即到)
联系电话:020-87607812
QQ:799417966
手机网站:m.jdyake.com

番禺栋梁口腔专科门诊部 :广州市番禺区石基镇富庭雅园桥边街65号,23路车在大龙小学下,3路车或者市桥到莲花山的车在大龙桥站下走300米。
咨询电话:020-61917789
手机网站:m.jdyake.com

