你知道吗?步入40岁,大脑衰老进程竟悄然开启。《PNAS》的前沿研究通过分析19300名参与者的功能磁共振成像数据发现,大脑衰老不是慢慢匀速变老,而是有明显的“转折点”。一般在43.7岁左右,大脑的网络稳定性开始下降;到了66.7岁,下降速度会加快。这一发现提醒我们,40岁后正是对抗大脑衰老的关键时期。
面对大脑衰老的挑战,科学家把目光投向传统中药材灵芝,试图从天然产物中寻找破解大脑衰老密码的钥匙。广东省科学院微生物研究所、成都中医院大学等机构的科研团队联合发表于《Frontiers in Aging Neuroscience》的研究,为40岁后的大脑健康带来新希望。
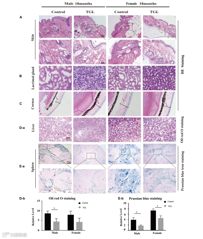
科研人员对8个月大的C57BL/6小鼠持续10个月喂食含灵芝三萜(TGL)的饲料,实验结果令人振奋:灵芝三萜不仅显著改善了衰老小鼠的学习记忆能力,还对多种衰老相关生理指标产生积极影响,从减少白内障形成、改善毛发状态和皮肤松弛,到调节棕色脂肪组织积累,其抗衰老作用展现出显著的系统性特征。
图:长期服用TGL后多器官衰老的改善情况
(TGL显示出对皮肤、眼睛、肝脏和脾脏的改善效果)
灵芝三萜是怎么保护大脑的呢?首先,它能调节大脑里的脂质代谢。大脑中有一种叫鞘脂的物质,和老年痴呆等疾病有关。灵芝三萜能让这些物质的水平恢复到年轻状态,就像给大脑“整理房间”,让神经元更好地工作。其次,它能帮助大脑细胞“打扫卫生”。通过增强细胞自噬功能,灵芝三萜可以加速清除细胞内的“垃圾”,保持大脑环境干净健康。另外,它还能延长细胞端粒长度,从根本上延缓细胞衰老。
图:灵芝三萜类化合物
对正常衰老小鼠鞘脂代谢的影响
在针对老年痴呆模型小鼠的实验中,科学家发现灵芝三萜中的灵芝酸A是关键成分。它既能降低老年痴呆相关蛋白的水平,又能抑制炎症,同时还能加强细胞的“打扫”功能,通过多管齐下的方式保护大脑。
图:灵芝酸A通过调节三转基因
阿尔茨海默病(3×Tg-AD)小鼠鞘脂代谢的改善效应
在全球老龄化加剧的背景下,40岁作为大脑衰老干预的转折点,为人类对抗衰老提供了宝贵的“时间窗口”。灵芝三萜的研究成果为开发天然产物类脑保护剂提供了候选化合物,与基于代谢干预的策略形成互补。尽管前路仍有诸多科学问题亟待解决,但这些研究无疑为实现“健康老龄化”目标提供了坚实的科学依据和充满希望的实践路径,激励着科研人员继续探索大脑衰老的奥秘,守护人类大脑健康。

