近年来,秋冬季节的广州被一种红粉色的花渲染的分外温馨迷人。这种花常常在各个地方成为众人瞩目的焦点,甚至成为游客们到此一游的风景照。

图1 摄于华软学院

图2 摄于华南师范大学

图3 摄于华南师范大学

图4 摄于天蓬阁园林餐厅
这些开着粉白到深红色花的树, 就是今天要给大家介绍的——“美丽异木棉”。
吉贝属(Ceiba)隶属于木棉科,原产于中南美洲和非洲西部,“美丽异木棉”为该属物种。我国于20世纪60年代开始引种吉贝属植物于海南尖峰岭,后在华南地区广泛栽培。由于该属植物引入我国的时间较短,目前为止对该属植物知之甚少。为此,广州市绿化公司生态园林中心课题组对华南地区的吉贝属植物进行了多项研究,渐渐揭开主要来自新世界的“美丽异木棉”的神秘面纱。
种质资源的分子研究
为揭晓“美丽异木棉”的真实身份,课题组对广州市吉贝属种质资源进行研究。基于形态学和分子标记方法的结果显示,广州市“美丽异木棉”包括吉贝属三个物种以及大量的物种间杂种,这三个物种分别是美丽异木棉(C. speciosa),C. insignis和C. crispiflora。
该研究对样品进行测序及DNA指纹分析,结合个体形态性状进行分析,结果发现有五种性状与物种存在明显的相关性,如图5-7。

图5a 树干形态和花期展示图

图5b 树干形态和花期展示图

图6 花瓣条纹和雄蕊附属物展示图

图7 ISSR分析的聚类图
简而言之,即:美丽异木棉(C. speciosa)常表现为开花早(7~9月),树干直且带刺,花瓣条纹多,雄蕊附属物为红色;另一个物种C. insignis则表现为开花晚(10~12月),树干大腹无刺,花瓣条纹少,雄蕊附属物为白色;而物种C. crispiflora在该研究中没有纯种个体存在;杂种的性状则表现不一。
该研究首次从分子角度揭示了华南地区栽培的吉贝属种质资源关系,该研究成果发表在《中国农学通报》上。
花芽分化期与形态特征研究
华南地区的吉贝属植物不同物种及杂种间花期差异较大,早花个体在8月份进入盛花期,晚花个体可在12月份才步入盛花期。为此,课题组在吉贝属植物的花期表现进一步研究。
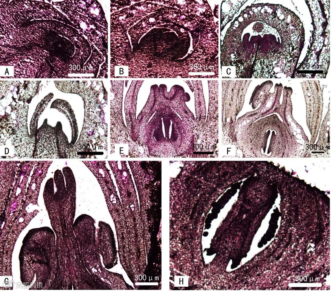
花芽分化和发育是开花植物发育的关键时期,其分化的机理和规律,对花期调控有重要的指导意义。为此,课题组对不同的美丽异木棉个体其花芽分化各个阶段特征及其与外观形态变化的关系进行研究。该研究首先将花芽分为10个等级(图7),结合花芽不同发育时期的外部形态特征,应用石蜡切片法进行分析。

图7 各级花芽外观形态特征演示图
结果发现花芽分化期与形态特征对应关系为:前分化期(枝端生长点)、萼片分化期(枝端生长点)、花瓣形成期(1~2级)、雄蕊附属物及子房形成期(3~4级)、雌雄蕊形成期(4级)、胚珠形成期(5~6级)共6个时期,如图8~9。

图8 花瓣结构解剖图

图9 花芽分化时期及内部生理解剖结构图
注 A:生长点前分化期;B:萼片分化期;C、D:花瓣原基分化期、成熟期;E、F:雄蕊附属物原基形成期;G:雌雄蕊原基形成期;H:胚珠形成期。
掌握花芽分化的时期与外部形态特征对应的关系这一规律,有助于从美丽异木棉花芽外部形态特征了解其内部的分化时期。该研究成果发表在《广东园林》上。

接下来,广州市绿化公司生态园林研究中心的课题组还会从其他方面继续发掘吉贝属植物的“本质”和规律,为打造绚烂壮观、齐齐盛放的吉贝属花海美景提供研究基础。


end
关注公众号,扫描二维码
共赏园林佳作


