去除牙结石的方法
口腔卫生护理与酵素成分相结合
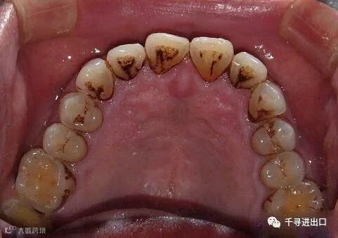
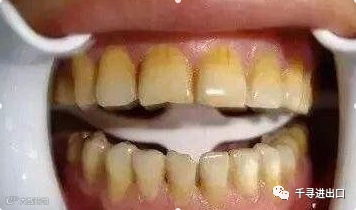
什么是牙结石?
牙结石,通常存在于唾液腺开口处的牙齿表面(例如:下颚前牙的舌侧表面,上颚后牙的颊侧表面)和牙齿的颈部,以及口腔黏膜运动不到的牙齿表面等处。牙结石是牙周病发展的一个重要致病因素。不注意养成良好的口腔卫生习惯,即使彻底洁治后,牙结石很容易很快再次沉积在牙齿表面。
牙结石用什么牙膏?
+
牙结石是一种钙化的物体,选用牙膏要多多注意,选用含酵素成分的牙膏,结合洗牙可以去除。
日常牙齿保护,去除牙结石的方法
茶水漱口
每次饭后用茶水漱口,大多数人对甜食都是没有抵抗力的,那如果你经常吃甜食的话,一定要注意尽量用茶水漱口,保持牙齿干净,减少甜食的残留。
叩齿咽津
每天早晨醒来和临睡坚持做上下牙之间相互叩击。开始时轻叩十几下,以后还日增加叩击次数和力量,达到每次叩击五十次左右。此法能增强牙周组织纤维结构的坚韧性,促进牙龈及颜面血液循环,使牙齿保持坚固。叩齿后咽下唾液也有利于养生。
保持口腔清洁
坚持每天早晚用温水刷牙,临睡前刷牙比早晨刷牙更重要。此外,一日三餐后要用清水漱口,漱口时要借用水的冲力尽量将牙缝中的食物残渣清除。如嵌得很紧,也可用牙签除掉。
酵素牙膏
安利一款日本的酵素牙膏,特别的温和,含茶花香和薄荷香,里面的薄荷柔和细腻,进入到口腔里那种清爽恰到好处。而茶花香,能让你刷完牙后,口腔里还保留着茶花的清香。重要的是它精选的是日本酵素,能深入牙缝,温柔洁净,呵护牙釉质。它含有木瓜蛋白酶酵素,温和分解牙渍,还原健康净白,巩固牙齿健康。还有茶叶酵素,深入洁净牙齿表面,减轻牙渍附着。
扫码关注我们
日本进口|千寻好物
双11提前购~~

