
August Kohler教授(1866-1948)是早期蔡司耶拿工程师
随着显微镜物镜的发展,显微镜的观察视野也在不断地变大,在这个过程中照明方式越来越被重视。1893年August Kohler教授发明了校准显微镜照明的指导方法,有效改善了照明效率,从而使得Abbe物镜在显微成像方面发挥出更好的潜力。科勒照明克服了临界照明的缺点,是研究用显微镜中的理想照明法。这种照明法不仅观察效果佳,而且是成功地进行显微照相所必须的一种照明法。
戳下方视频,让蔡司君手把手教您如何调节科勒照明~~
谨慎告知视频流量较大,也可参考下方操作指导
1.载物台上放置一张即将观察的样本
(最好是染色的切片类样品)
2. 使用10X物镜
3. 明场目镜观察照明状态
(聚光镜转轮选择 H或 BF;
荧光滤镜轮选择空位;
DIC 附件全部拉出光路;
照相光路转换到观察状态)
4. 聚焦样品

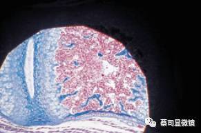
▲5.将视场光阑调节到最小状态

▲6. 视野中出现边缘清楚锐利的多边形 

▲6.视野中出现的是圆形光斑而不是边缘清楚的多边形
和蔡司君继续再加把劲吧!
圆形光斑说明光路中的聚光镜上下位置不准确
→ 可调节聚光镜左手侧的上下调节旋钮来解决问题。
此时聚光镜位置就是Z轴上最佳位置,切记不要再去调节,不然要剁手,重新来过一遍!

▲7.多边形的正确位置在视野的正中心。太棒了!
▼7.中心位置找不到样本图像,说明聚光镜在XY水平面上偏移
→可调节聚光镜上的科勒照明光路调节旋钮使多边形回到视野的中心

8.最后,将视场光阑慢慢放大,多边形正好外切于视场(即看不到多边形的边缘), 就是视场光阑的最佳工作位置。
保持聚光镜,视场光栏和聚光器对中螺钉的位置,不再对其调节。
终于大功告成!!!可以开始做实验咯~~

如您对显微镜的“科勒照明”有任何疑问,请联系千江工程师。

