大数跨境

蔡司光学课 | 如何选择合适的物镜

蔡司光学课 | 如何选择合适的物镜 广州千江企业集团
2023-01-10
1
导读:选对物镜,认清物镜,让您Seeing beyond!


不知道您在使用显微镜的过程中有没有遇到过同样的经历,看不到,看不清,或者看着不像呢?

出现这种情况的很大原因是使用了不合适的物镜,所以,选择一颗正确的物镜对显微观察来说至关重要。

1866年,科学家Ernst Abbe加入蔡司公司,首次提出了完善的显微成像理论,并在此基础上将显微镜进行了模块设计,现代意义上的物镜就在此刻应运而生。随着显微成像技术的不断发展,物镜种类的不断增多,适用的范围也在不断扩展,但任何一颗物镜都有其自身的优势和局限性,无法满足所有样品观测的需求。蔡司君和您一起看看从实际样品出发,该怎样选择合适的物镜。

从样品本身来说,可以分为非荧光染色样品荧光染色样品两大类,对于非荧光染色样品,往往是通过白光照明寻找感兴趣区域,而在此过程中可能会遇到一些困难。

贴壁细胞样品

由于贴壁细胞样品厚度薄且透光率高,很难直接观测到细胞轮廓。此时您可能需要选择增强对比度的方法和物镜来观测样品,如相差物镜
相差PH物镜下的未染色细胞  清楚  Plan-Apochromat 20x/0, 8 Ph2

非相差物镜下的未染色细胞 不清楚  Plan-Apochromat 20x/0, 8


左右滑动查看更多
01

具有折射性的样品

对于具有折射性的非荧光染色样品,如对骨骼,牙齿,晶体,淀粉粒及蛋固醇等进行观察时,您可能需要选择偏光物镜

偏光物镜下的晶体  EC Plan-Neofluar 20x/0, 5 Pol

非偏光物镜下的晶体  EC Plan-Neofluar 20x/0, 5


左右滑动查看更多
02

荧光标记样品

对于使用荧光染料或转染荧光蛋白标记的样品,通常使用宽谱激发光源配合荧光滤片等来观测不同波长的荧光信号,这类成像方法的特异性和对比度很好,但由于荧光信号强度较弱,想要更清楚地看到样品,就对物镜的光效率有一定要求,这时您要考虑选择荧光物镜

荧光物镜下的肾组织切 亮 信噪比高 Plan-Apochromat 20x/0, 8

非荧光物镜下的肾组织切片 暗 信噪比差 N-Achroplan 20x/0, 45 Ph2


左右滑动查看更多

03


了样品自身,实验过程中样品载具也对物镜有着各种各样不同的要求。


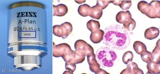
盖玻片封片样品

当您观测有盖玻片的样品时,由于盖玻片厚度(标准值为0.17mm)会对成像效果产生影响,因此需要使用盖玻片覆盖差是0.17的物镜:

盖玻片覆盖差是0.17mm的物镜 清楚  Plan-Apochromat 40x/1, 4 ∞/0.17

盖玻片覆盖差是0的物镜 不清楚  A-Plan 40x/0, 65   ∞/0


左右滑动查看更多
01

无封片样品

当您观测无盖玻片样品时,则需要使用覆盖差是0的物镜:

盖玻片覆盖差是0的物镜   清楚  A-Plan 40x/0, 65   ∞/0

盖玻片覆盖差是0.17的物镜 不清楚  Plan-Apochromat 40x/1, 4 ∞/0.17


左右滑动查看更多
02

多孔板培养的细胞样品

当您的细胞培养在培养皿或多孔板中时,对于厚度为0.17mm的玻璃底培养皿和多孔板,使用覆盖差是0.17mm的物镜即可,而对于底部较厚的培养皿和多孔板,可能会出现高倍物镜无法聚焦到样品上的情况,这是由于载具底板厚度超出物镜的工作距离造成的,这时就要考虑使用低倍物镜或长工作距离物镜

LD-长工作距离物镜观察 可以聚焦  LD Plan-Neofluar 40x/0, 65

非长工作距离物镜观察 无法聚焦  Plan-Apochromat 40x/0, 95


左右滑动查看更多
03

培养在溶液中的细胞样品

在使用培养皿或多孔板拍摄时,由于孔内加有培养液等液体试剂,进行高倍成像时还需要考虑物镜介质是否匹配,如在做水溶液中细胞三维成像时,水介质物镜油介质物镜更适合,这样可以保证介质和样品溶液的折射率更加匹配,实际的成像效果会更好。而对于样品类型比较复杂的实验,也可选择多种介质混合物镜

水镜观察水溶液中的活细胞  Plan-Apochromat 63x/1,2 Water

油镜观察水溶液中的活细胞  Plan-Apochromat 63x/1,4 Oil


左右滑动查看更多
04

了解了以上物镜的信息 ,相信大家对她有了更深的认识。只要认清她,选对她,她一定会让您Seeing beyond!

考文献:
[1] ZEISS on Campus Website –https://www.zeiss.com/microscopy/us/solutions/reference/all-tutorials.html
[2] iBiology Microscopy Series –https://www.ibiology.org/online-biology-courses/microscopy-series/
[3] Abbe Diffraction Experiment –https://www.youtube.com/watch?v=d8Tqoo0S6gc

声明:本文内容来源于蔡司显微镜
【声明】内容源于网络
0
0
广州千江企业集团
致力于打造中国领先的生命科学专业服务平台
内容 0
粉丝 0
广州千江企业集团 致力于打造中国领先的生命科学专业服务平台
总阅读0
粉丝0
内容0