
Transfection Surface是InCellis智能细胞显微成像系统一个非常简单但可靠的应用APP
在3个简单步骤中,所有的样本您都可以获得与参考方法一样精确的结果:
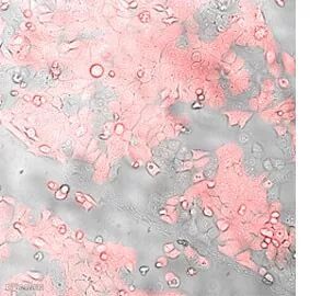
>>使用阴性对照设置荧光通道的阈值
>>生成相差图像
>>定义白光通道和荧光通道的阈值
InCellis智能细胞显微成像系统
高质量明场、相差和荧光图像
专用应用程序:细胞培养、融合、细胞计数…
智能界面与触屏
推荐阅读
>>InCellis智能细胞成像系统发布细胞融合度测定App
>>InCellis:细胞培养好助手,自动评估Hela细胞的培养融合度
>>讲座视频回放:军用夜视技术成细胞研究好助手——轻松评价细胞增殖和转染效率
>>Bertin InCellis细胞显微成像系统自动评估培养细胞的转染效率
>>伯齐独家代理法国bertin智能细胞显微成像系统·军用夜视技术
欢迎关注伯齐官方微信(微信公众号:Bio-Gene)
回复:incellis,查看相关视频
长按以下二维码可识别关注公众号

伯齐科技有限公司
Bio-Gene Technology Ltd.
广州伯齐生物科技有限公司
热线:176 2009 3784
www.bio-gene.com.cn
marketing@bio-gene.com.cn

