基于肝星状细胞的糖酵解在空间上调节纤维性细胞外囊泡的释放和放大肝纤维化的研究

全世界每年约有200万人死于肝病和肝硬化。最近,大量研究人员致力于了解细胞和分子异质性如何促进肝纤维化向肝硬化发展。这种异质性包括一种特殊的肝星状细胞(HSC)亚群,它通过肝脏特定区域的高细胞外基质沉积来驱动肝纤维化。纤维化向肝硬化的进展是由于造血干细胞的激活,包括增殖、迁移和肌成纤维转化,初步研究表明,HSC活化与代谢重编程有关,包括通过糖酵解增强葡萄糖代谢,以满足高能量需求。研究表明,糖酵解酶的药理抑制可减少体内肝纤维化。
美国研究人员基于肝星状细胞的糖酵解在空间上调节纤维性细胞外囊泡的释放和放大肝纤维化的研究。在这项研究中,通过使用Apogee纳米流式、单细胞、空间、大量转录组学和蛋白质组学,证明了HSC特异性糖酵解在空间调节控制肝纤维化扩增的特定途径中的作用。更具体地说,研究发现造血干细胞中的糖酵解不是肝纤维化的结果,而是肝纤维化的驱动因素。此外,研究发现HSC特异性糖酵解通过表观遗传机制促进了纤维性中心周围区EVs相关基因的表达。最后,研究证明糖酵解依赖性EVs在体内放大肝纤维化,这是一种持续纤维化和肝脏疾病的机制。

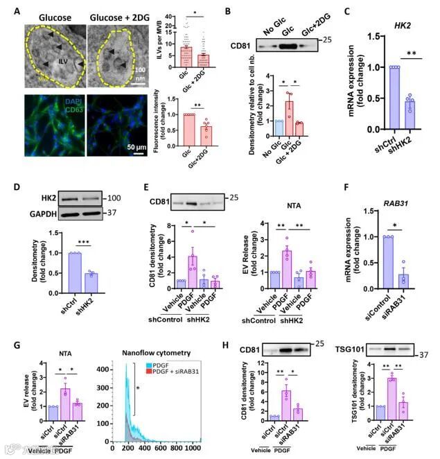
在本研究中通过使用Apogee纳米流式仪和其他实验技术验证了血小板衍生生长因子-β(PDGF)介导的糖酵解促进EV释放的相关机制。EVs部分来源于多泡体(MVBs)的腔内囊泡(ILVs)。因此,检查了糖酵解对每MVB中ILVs数量的影响。实验分组除了对照外和糖酵解抑制剂-脱氧葡萄糖(2-DG)还有葡萄糖分别处理原代人造血干细胞。与对照相比,2-DG显著降低了MVBs中ILVs的数量,以及MVB标记物CD63的荧光水平(图6A)。葡萄糖的存在增加了从培养基中分离的EV标记物CD81的水平,当糖酵解被2-DG抑制时,该标记物被显著降低(图6B)。研究了PDGF介导的糖酵解如何影响EVs释放。本研究通过短发夹RNA (shRNA)敲除原代人造血干细胞中的己糖激酶2( HK2),在mRNA和蛋白质水平上证实了这一点(图6C和D)。通过CD81蛋白水平和纳米颗粒跟踪分析(NTA)可以证明,与对照相比,PDGF增强了EV在media中的释放,而HK2敲除会消除这种释放(图6E)。考虑到糖酵解影响EV通路,我们选择RAB31作为模型,我们下一步研究RAB31在EV释放中的非典型作用。通过纳米流式细胞术检测,研究发现PDGF介导的EV释放在siRNA介导的RAB31敲低后被消除(图6F和G)。与这些结果一致,培养基中EVs组分中的EVs标记物CD81和肿瘤易感基因101 (TSG101)随着PDGF的增加而增加,并通过敲除RAB31而消失(图6H)。

图6所示。PDGF介导的糖酵解通过RAB31促进EV释放
在这项研究中,通过使用Apogee纳米流式仪、单细胞、空间、大量转录组学和蛋白质组学,证明了HSC特异性糖酵解在空间调节控制肝纤维化扩增的特定途径中的作用。观察到HSC特异性糖酵解通过表观遗传机制促进了纤维性中心周围区EV相关基因的表达。最后,本研究提供证据证明糖酵解依赖的EV在体内放大肝纤维化,这是一种持续纤维化和肝脏疾病的机制(图8)。

图8所示。研究的总体图例
结论
造血干细胞中的糖酵解通过促进肝中心周围区纤维化性EVs的释放而放大肝纤维化。针对HK2或其他糖酵解酶的有效糖酵解药物抑制剂目前尚未在临床治疗肝纤维化中得到探索,这为药物开发确定了一个重要的研究领域。此外,Apogee纳米流式数据,空间转录组学数据集与单细胞和大量RNA-seq数据集相结合,可用于识别肝纤维化期间纤维化区上调和活化HSC的其他靶标。总之,抑制糖酵解酶如HK2和随后的表观遗传机制可能是治疗肝纤维化的靶点。
Summary

英国Apogee超灵敏纳米流式分析仪,专为外泌体微囊泡(EVs)等小颗粒分析优化设计,在EVs样品颗粒大小分析,绝对定量,多标记物同时快速分析工作中广泛应用。截止目前,该设备已累计参与数百篇高质量同行审议文章相关实验分析工作。其出色的灵敏度,稳定性及可靠性已备受业内广泛认可,并将继续为EVs相关基础研究及转化应用提供坚实支持。
Apogee纳米流式除了可用于纳米级别的颗粒 (如:细胞外囊泡、外泌体、微生物、病毒颗粒、LNP) 等,还可以用于作常规动物细胞检测 (如免疫细胞、哺乳类动物细胞、等)。它是一台全面且功能强大的纳米流式分析仪!

参考文献
OXFORD BIOLOGY Methods & Protocols,Biology Methods and Protocols,2024, bpae009
https://doi.org/10.1093/biomethods/bpae009
Advance Access Publication Date: 13 February 2024
Methods Article: Biomolecular, Structural and Biophysical AnalysisA methodological primer ofextracellular vesiclesisolation and characterization via different techniques
推荐阅读
>>加拿大科研人员制定细胞外囊泡的不同分离技术和表征方法的入门方案
>>美国研究人员基于神经血管耦合、功能连通性和脑血管内皮细胞外囊泡作为轻度认知障碍的生物标志物的研究
>>加拿大科研人员利用Apogee Flow纳米流式对乳腺癌来源的细胞外囊泡的质量控制和检验的研究
>>科研人员采用ApogeeFlow纳米流式对眼内递送地塞米松的脂质体进行表面特性研究
>>MINI TALKS:纳米流式在神经退行性疾病方面的应用
>>MINI TALKS:诱导性多能干细胞来源的EVs在增强细胞功能方面的应用
>>【Apogee应用文章】通过细胞外囊泡预测经导管主动脉瓣植入术后的病情发展
>>加拿大科研人员研究发现抗体滴度对纳米流式分析细胞外囊泡结果的重要影响研究
>>检测EV/细胞两不误,Apogee納米流式又建功!
>>波兰科学家应用间充质干细胞来源的细胞外囊泡通过转运miRNA和蛋白质在缺血组织中发挥促血管生成和促淋巴管生成的研究
>>波兰科学家应用诱导性多能干细胞来源的细胞外囊泡在缺血性疾病方面的研究
>>进科驰安携手英国Apogee顺利参加2024(第八届)细胞外囊泡前沿与转化大会
>>Apogee纳米流式协助加拿大阿尔伯塔大学科学家研究地球生命起源
>>浙大医学院脑科学及脑医学院以优化的“Apogee纳米流式测试”以检测星形胶质细胞外泌体为帕金森病病变和诊断作研究
>>线下讲座邀请:Apogee Flow Micro Plus在纳米颗粒分析中的优势和典型应用
>>Apogee纳米流式为阿尔茨海默病前期诊断把关
>>Apogee纳米流式抗疫研究发表Nature刊物!
>>Nanostics公司利用Apogee纳米流式开发膀胱癌无创检测方法
>>Apogee纳米流式为寻找帕金森综合征生物标记物带来了新进展
>>促销:ApogeeMix流式微球金标准
>>MINI TALKS:外泌体流式检测总是做不好?ApogeeMix流式微球金标准来助力
>>精于性能,专于服务
>>PNAS | Apogee纳米流式助力解析外泌体与胚胎滞育关系新进展
>>Apogee纳米流式分析EVs新成果,助力EVs蛋白聚集体精准解析
>>流式分析EVs测评,Apogee Flow可靠性再获新认可
>>美国妙佑医疗国际(Mayo Clinic)新成果再现Apogee纳米流式综合性能
>>邀您参加Apogee超灵敏纳米颗粒分析仪应用在线讲座
>>白皮书:数据验证Apogee纳米流式外泌体微囊泡分析性能
>>Apogee助力梅奥医学中心连续发表顶级期刊肝脏/外泌体微囊泡重要研究成果
>>Apogee Flow Systems纳米流式设立亚太区总部
>>Apogee纳米流式助力梅奥医学中心连发两篇PD-(L)1-EVs高水平研究成果
>>Apogee纳米流式用户连发JEV文章解析外泌体精准分析方法
>>Apogee纳米流式助力益生菌全球标杆企业发表新成果
>>MINI TALKS:Apogee纳米流式病毒疫苗研发实例解析
>>MINI TALKS:纳米流式的高通量外泌体检测方案
>>Apogee超灵敏纳米流式助力病毒表征和疫苗研发
>>ApogeeMix:流式微球金标准
>>Apogee纳米流式技术助力前列腺早期诊断研究
>>祝贺四川大学曾烨老師课题组在JEV国际外泌体微囊泡专业期刊发表研究成果
>>热烈祝贺伯齐科技再次成为英国Apogee中国独家授权代理商
>>外泌体微泡非特异性标志物总结分析
>>Apogee纳米流式超灵敏检测干细胞胞外微囊泡
>>Apogee超灵敏纳米流式分析仪在杜邦北京工厂成功安装
>>药企巨人默克引入Apogee纳米流式进行病毒颗粒检测应用
>>Apogee纳米流式应用新亮点-美国FDA推出大肠杆菌单细胞快速检测新方案
>>伯齐科技陈连彬博士喜获细胞外囊泡研究与应用专业委员会任命为委员
>>超灵敏纳米流式技术大力推动阿尔茨海默症和帕金森病的早期诊治
>>Nature子刊:单个外泌体高通量多参数分析法
>>外泌体提取、标记、检测三部曲
>>超灵敏纳米流式巧选胞外囊泡最佳参考材料
>>内皮细胞微粒检测解决方案
>>纳米流式技术助力肿瘤靶向递药系统研发
>>间充质干细胞源性胞外囊泡调节免疫功能研究
>>肾结石高通量无创检测新方法:纳米流式分析法
欢迎关注进科驰安官方微信(微信公众号:Bio-Gene)
回复:apogee,查看更多相关视频
长按/扫描以下二维码可识别关注公众号

广州进科驰安科技有限公司
Bio-Gene Technology Ltd.
热线:176 2009 3784
www.bio-gene.com.cn
marketing@bio-gene.com.cn
香港 北京 上海 广州 济南

