
其实,小编姐姐要说:
“近年来商家炒作,媒体不给大众正确的导向,让公众都认为七夕是情人节,怎么辩都辩不过来。
要说中国的情人节,农历正月十五的“上元节“才是真正的中国情人节。这一天,男男女女,借观花灯之名,会中情之人 。七夕绝对不不应该是中国的情人节!
今天,#七夕节#其实又称“乞巧节”,古人通常在这一天里吃巧果,偷听牛郎织女天河夜话。姑娘们则会在夜里向织女许愿乞求心灵手巧,故称“乞巧”。”
噼里啪啦····
好啦
不歪楼!
重点是!
七夕就算不是情人节,但是这是牛郎织女相会之日,我们怎么可能不凑(ba)凑(gua)热(yi)闹(xia)呢
人道是
牛郎织女鹊桥相会
金风玉露一相逢
便胜却,人间无数
就问羡慕不羡慕

现代化的今天,究竟牛郎和织女是怎么过的呢?(不要YY了,那是神话
,说的是你们~)
一般都是:


美食的喜悦会因为餐厅门口漫长的等待慢慢消磨殆尽......

貌似每个节日里看电影都不是个明智的选择。院线全线飘红,场场爆满,特别是节日。满场的小情侣,完全就是在比赛秀恩爱。

不不不,玫瑰花实在没创意又很俗。玫瑰花除了让TA发个朋友圈还能做什么?

对于减肥的TA来说,巧克力这种高热量的东东真的不是一个好的选择。
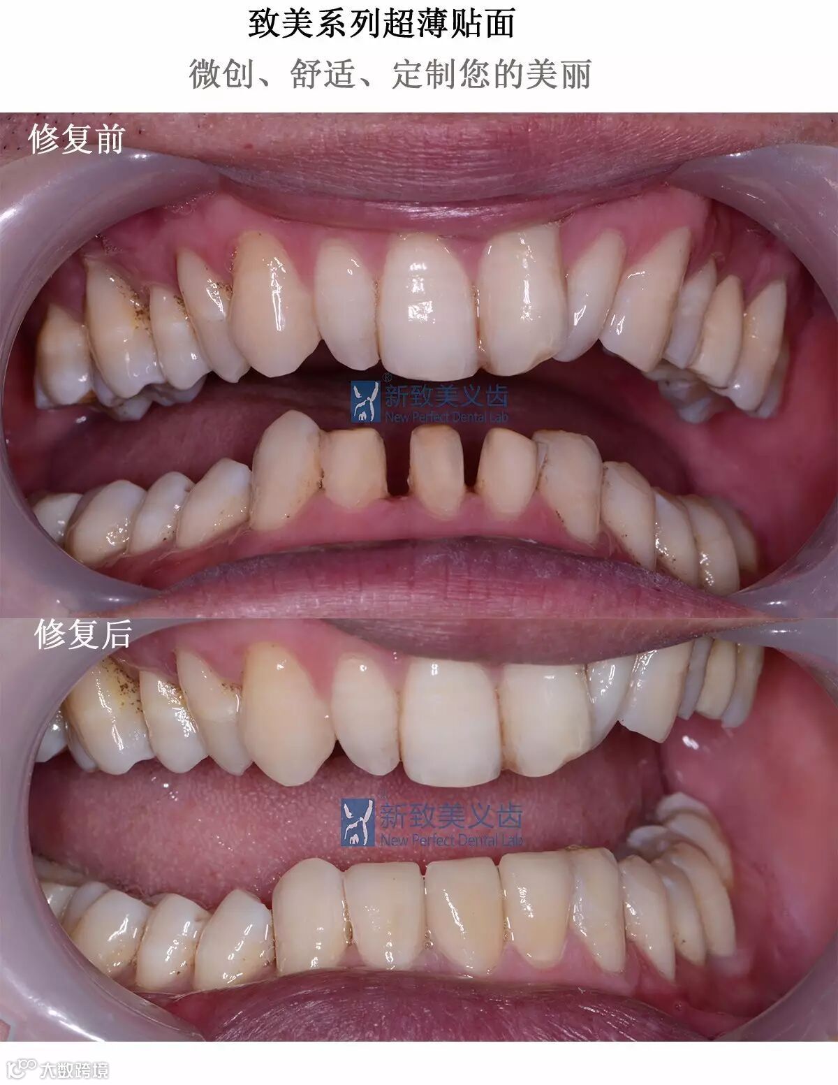
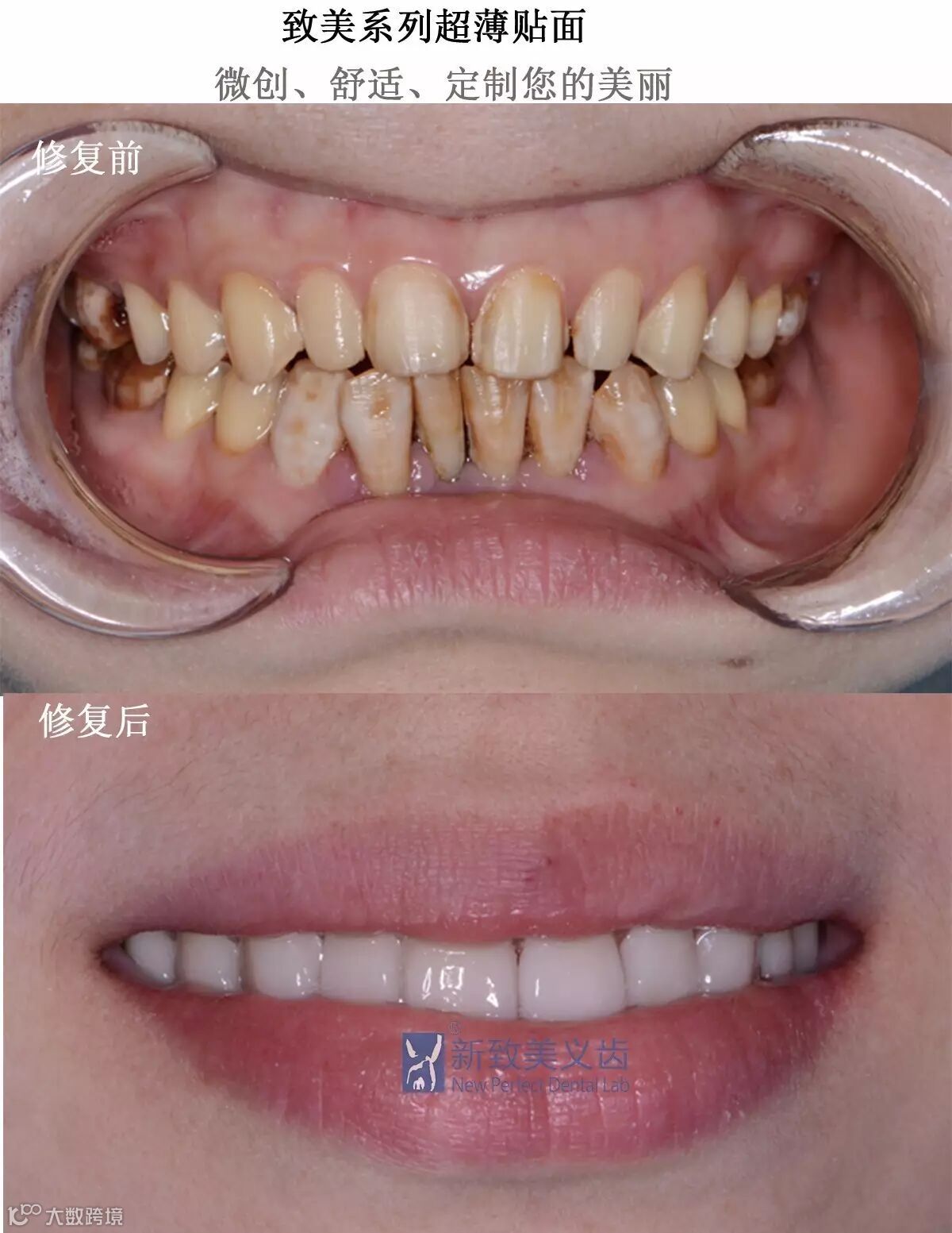
致美系列超薄贴面
然而以上的种种都不是约会的问题,当你终于历经千辛万苦准备了约会,拿出事先精心准备的礼物,鼓起勇气准备向TA表白,闭上眼深呼吸。你仿佛已经看见了胜利的曙光,睁开眼却发现TA的目光没有聚焦在你的眼睛上,你的一口大黄牙出卖了你......难道你就这样准备投降了?

NO!NO!NO!
让我们来到把剧本倒回去!


牙齿美美的,还有什么难得到你
定制您的美丽~
给牙齿一个“表白”的机会!
致美系列超薄贴面修复案例






别怪福利来的太晚,拥有一口漂亮洁白的牙齿,从此每天都是情人节






