

数字化种植手术规划与导板设计



临床种植手术过程









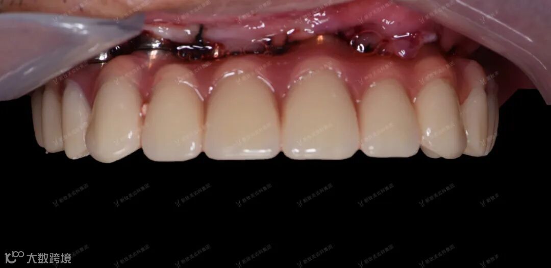
取模过程


即刻负重修复体制作过程

患者带牙后口内照



小结
数字化种植导板的优势:
精准——术前精确设计,术中精准控制,避免损伤重要的解剖结构,实现安全种植,以美学修复为导向,为永久修复牙位设计更理想、美观。
高效——通过精准设计,使手术过程更直观、精准、快速、高效,提高种植成功率和工作效率。
微创——在一定的条件下,可不翻瓣或少翻瓣,减少术后反应且术后恢复快,实现微创种植,减少患者疼痛,让患者享有更好的种植体验感。
最后,特别感谢诺恩齿科曹院长提供的病例支持!
主治医生:曹宇
新疆石河子医科大学口腔医学专业(本科)
2004年入行,专注口腔医疗。从事口腔工作16年,美国 BLOHRLZONS 即刻种植/修复认证师,对口腔各种牙病的诊断和治疗有着近10多年的临床经验。擅长口腔美学修复、口腔种植学,是国内少数 “数字化种植导板” 技术掌握者,是近年来口腔种植领域新锐;对口腔诊疗有着独到的见解和丰富的实践经验。2010年去德国柏林自由大学口腔医学系深造1年,并多次赴德国、韩国、香港等地进行学术交流,极大的丰富和提高了专业理论知识技能。
现任诺恩齿科院长。
医生:赵浩君
毕业于广东医科大学口腔医学院(本科)
曾赴德国费亚丹种植牙培训中心,瑞士Nobel种植系统培训中心接受专门培训。在口腔美容修复、口腔种植、口腔疑难杂症等口腔诊疗方面具有很高的学术理论水平和丰富的临床经验,具备深厚的口腔美学功底,善于考量患者的个体特性设计完美方案。
现任诺恩齿科口腔诊疗师。
技师:陈亚通
现任东莞子公司种植上部工作室主管
东莞子公司技术培训部讲师
微尔美梦之队核心成员
专注种植上部美学修复设计制作,数字化种植导板设计制作,即刻负重临床技术配台。


口腔知识|临床病例|技术培训|产品理念





















