
7月17号下午,新致美齿科集团东莞子公司市场部总监刘倍余、活动部主管罗锐老师、惠州区域销售经理吴金兴一同前往惠州现代口腔,联合举办了《为尔美功能性吸附义齿技术交流会》。


为尔美功能性吸附义齿
【产品特点】
【适用范围】
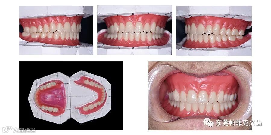
【案例展示】



最后,衷心感谢惠州现代口腔医生朋友们的信任与支持,致力于为坚持高品质的牙医服务,一切以患者为中心!


东莞帕菲克义齿
7月17号下午,新致美齿科集团东莞子公司市场部总监刘倍余、活动部主管罗锐老师、惠州区域销售经理吴金兴一同前往惠州现代口腔,联合举办了《为尔美功能性吸附义齿技术交流会》。


为尔美功能性吸附义齿
【产品特点】
【适用范围】
【案例展示】



最后,衷心感谢惠州现代口腔医生朋友们的信任与支持,致力于为坚持高品质的牙医服务,一切以患者为中心!

