

跖骨骨折咋回事,了解下~
作者丨北京大学第一医院介入血管外科 范则杨
制图丨椰子匠
来源丨医学界影像诊断与介入频道
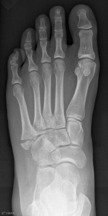
X线图像:


点击下方空白区域查看正确诊断
▼

临床要点
X线检查是怀疑骨骼肌肉损伤的首选方式;
此例假性琼斯撕脱骨折的发生是由于跖屈时腓骨短肌肌腱牵拉,常发生踩在马路的边缘或者楼梯边缘时。在网球、篮球运动员中也常出现,有人称之为网球骨折;
鉴别假性琼斯骨折/琼斯骨折也很关键,因为两者治疗方式不同。









东莞元润堂生物科技有限公司

跖骨骨折咋回事,了解下~
作者丨北京大学第一医院介入血管外科 范则杨
制图丨椰子匠
来源丨医学界影像诊断与介入频道
X线图像:


点击下方空白区域查看正确诊断
▼

临床要点
X线检查是怀疑骨骼肌肉损伤的首选方式;
此例假性琼斯撕脱骨折的发生是由于跖屈时腓骨短肌肌腱牵拉,常发生踩在马路的边缘或者楼梯边缘时。在网球、篮球运动员中也常出现,有人称之为网球骨折;
鉴别假性琼斯骨折/琼斯骨折也很关键,因为两者治疗方式不同。








