“我每一次收到客户报案信息,都会第一时间电话联系客户,对客户进行慰问的同时,提出主动上门服务。
在理赔服务过程中,我竭尽全力,让客户感受到我的专业、用心。
沟通中,我也会现身说法,向客户讲解保险的意义与功用,同时了解客户及家人的保障缺口与需求。后期持续跟进,促成新的保障方案。”
——东莞顾问营销 夏登科
1
选择太保
2015年12月30日,45岁的张女士有感于中年危机,认为保险是生活的必需品,主动为自己投保了我司的《福佑安康重大疾病保险》,年缴3850元,20年交,基本保额10万元,保终身。
2
突发疾病
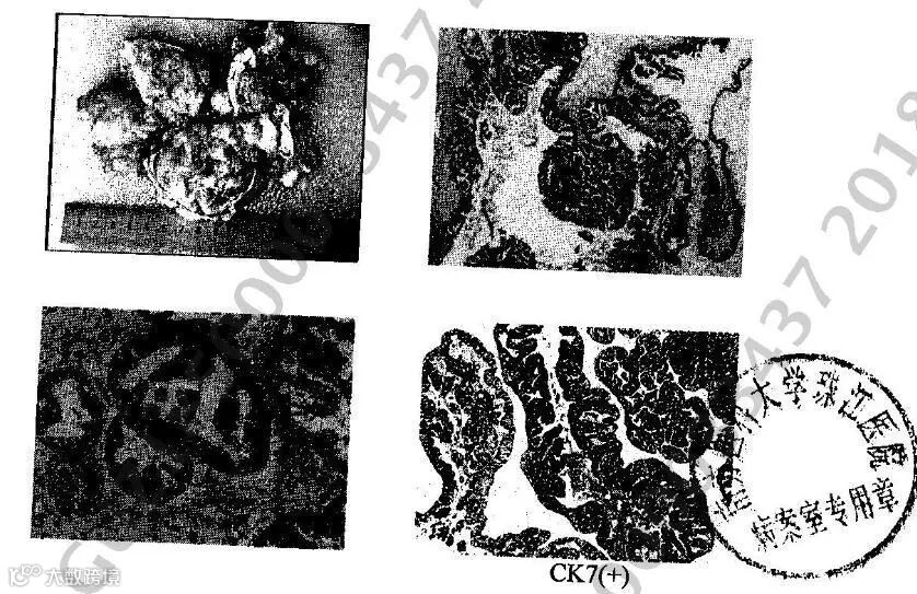
注重健康的张女士,经常会坚持锻炼健身和保养,但不知从什么时候开始,张女士感觉自己下腹部胀气,没有什么胃口;2018年8月之后突然有加重的趋势,于是前往当地就诊,B超提示:卵巢癌?转移瘤?。张女士害怕了,于同日住进了该医院,经过十天的检查治疗后,不见好转,经熟人介绍,2018年9月13日转入广州某三甲医院,最终9月18日病理确诊卵巢癌。
3
上门快赔
坚持积极治疗二十多天后,张女士逐渐恢复了信心,2018年10月11日,她拨通了夏登科经理的电话咨询理赔事宜。夏经理立即通知我司营运部,东莞中支理赔人员即刻进行回访,对张女士的病情进行确认,过程中介绍我司为重疾客户提供的关爱服务,张女士表示非常认可,在征得客户同意后,17日上午上门服务。
2018年10月17日上午10时许,夏经理带着心意礼品前往客户家中慰问探视,现场指导客户操作太e赔,1小时快速赔付重疾理赔金10万元。
4
为家人选择太保
理赔服务过程中,夏经理了解到张女士夫妻和睦,丈夫在一家事业单位上班,还有一个乖巧的女儿在上高中,但都还没有购买保险。
1个小时快速赔付10万,深深触动了客户的内心,主动提出为自己的丈夫和女儿加保。2018年10月25日,为丈夫和女儿投保了我司:
东莞中支顾问营销
夏登科经理
我原来很迷茫,不知道未来在哪里?通过这几个月的服务经历,我现在很坚定,我一定会服务好每一位客户,在风雨来临前为他们送去及时足额保障方案;在风雨来临的时候,为他们提供最专业及时的售后服务。
贴士:“服务明星”夏登科(服务心得:9次用心理赔服务,收获10份爱的加保),还有更多理赔转保案例:
案例1:11月5日《他协助客户办理安行宝百万赔付,家属感激涕零……》
案例2:11月6日《他协助客户快赔9140元后,客户转介绍投保团意险14280元》
案例3:11月7日《他协助客户快赔金佑14万,客户果断为儿女加保金诺人生》
2018
将理赔做成一件有温度的事儿
由广东分公司营运部编辑
编辑:杨卫
审核:周娟

