研究摘要
英文题目:Integrated DNA and RNA sequencing reveals early drivers involved in metastasis of gastric cancer
发表刊物:Cell Death & Disease
影响因子:9.6(2025年最新影响因子)
发表时间:2022年4月
研究单位:复旦大学上海癌症中心
涉及组学:全外显子测序(WES)、转录组测序、靶向外显子测序(TES)、抗体芯片蛋白组学(趋化因子抗体芯片)
研究结果分析
1. 全外显子组测序(WES)
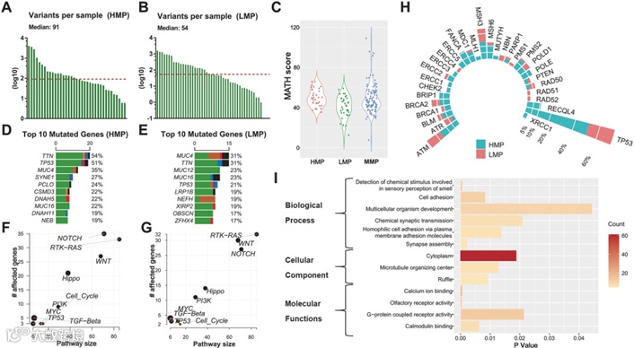
2. 基于转移潜能的突变特征和肿瘤内异质性( ITH )来鉴别有意义的突变
研究团队为了进一步确定潜在的促转移突变基因,将样本分为HMP组(n=37)和 LMP 组(n=48),以及MMP组(T2-4N+M0,n=107) ,结果发现NOTCH和RTK-RAS途径分别在HMP和LMP组中居于首位(图2F、G),其中HMP组有176个基因的突变率显著高于LMP组(>10%(p<0.05),HMP组大多数(24/31)的突变率较高(图2H)。
图2
3. 靶向基因测序(TES)表明TP53和MADCAM1热点突变可增强GC细胞的迁移能力
研究团队进一步对另一组153名GC患者进行了TES,使用HMP组中突变率较高的8个候选基因,结果显示MADCAM1和TP53突变促进转移,在术后3年内发生转移的患者中,TP53、MADCAM1、PREX2、PRG4和TAF1L的突变率几乎是无转移患者的两倍或更多,并且TP53和MADCAM1的突变率具有统计学意义(图3B),TP53和MADCAM1热点突变可增强GC细胞的迁移能力(图3H、I)并且在体外实验中证实了MADCAM1及其突变体在GC细胞增殖中的作用。
图3
4. 研究RNA水平上转移潜能和基因表达之间的关系
为了进一步阐明在RNA水平上研究转移潜能和基因表达之间的关系,研究团队对87例GC患者的肿瘤和配对正常组织的转录组进行了分析。结果显示基因集富集分析(GSEA)基因标记在HMP肿瘤和HMP正常组织中富集,但在LMP肿瘤和LMP正常组织中不富集。此外,在HMP组肿瘤中,内皮细胞和M2巨噬细胞比HMP组正常组织和LMP组肿瘤组织升高(图4G、H)。并发现一些EMT标记物(即SLUG)、干细胞样细胞标记物(即EZH2)、趋化因子(即CCL11、CCL13、CXCL6)、趋化因子受体(即CCR6、CCR7、CCR9、CCR10)、免疫检查点靶点(即CD70、IDO1)和其他免疫调节剂(即TGFB1、VEGFA、VEGFC)显著上调,在HMP肿瘤中有表达,但在LMP组中无表达(图4) 。
图4
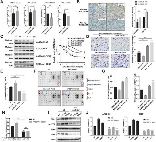
5. MADCAM1突变体与T细胞和巨噬细胞趋化迁移相关
研究团队发现MADCAM1突变体与T细胞和M2巨噬细胞的趋化迁移有关,在TCGA队列和FUSCC队列中,MADCAM1的表达与淋巴细胞比例呈显著正相关,与巨噬细胞比例呈显著负相关(图A),紧接着,研究发现MADCAM1的表达与许多趋化因子、趋化因子受体和免疫调节剂相关。为了鉴定相关的分泌因子,研究团队使用RayBio Chemokine Antibody Array I(趋化因子芯片,RayBiotech, USA)分析了MADCAM1WTGC细胞、MADCAM1D242N GC细胞,结果发现在MADCAM1D242N GC细胞上清液中的CCL2和IL8更高(图5F、G)。此外,阻断CCL2可减少巨噬细胞的迁移,特别是在MADCAM1D242N GC细胞中(图5H)。这表明MADCAM1D242N招募巨噬细胞的能力部分依赖于CCL2。随后,在Western blot分析中发现(图3K),MADCAM1P270Q和MADCAM1D242N-GC细胞的Akt磷酸化水平明显升高,而总水平变化不大。在MADCAM1P270Q和MADCAM1D242N GC细胞中抑制Akt后,p-mTOR和CCL2的表达受到抑制(图5J)。这些结果表明,MADCAM1突变体通过Akt/mTOR轴调节CCL2促进巨噬细胞的募集。
图5
6. MADCAM1突变促进PD-L1介导的免疫逃逸
图6结果展示,一方面MAD-CAM1突变体通过调节趋化因子减少T细胞趋化迁移,促进PD-L1介导的免疫逃逸。另一方面,MADCAM1突变体通过Akt / mTOR轴调控CCL2诱导巨噬细胞趋化迁移和M2样极化。MADCAM1MUT重编程TAMs可以抑制肿瘤反应性T细胞杀伤以帮助免疫逃逸,而抗PD-1抗体无法逆转这一点。提示MADCAM1 MUT重编程TAMs和Akt/mTOR信号通路可能有助于抵抗PD-1/PD-L1治疗。需要进一步的体内工作来验证CCL2和Akt / mTOR轴在MADCAM1MUT重编程免疫中的作用。
图6
讨论与总结
文章信息:
Jieyun Zhang, Fatao Liu, Yanan Yang, Nuoya Yu, Xiaoling Weng, Yue Yang, Zhe Gong, Shenglin Huang, Lu Gan, Sijie Sun, Xiaowei Zhang, Yiwei Gong, Yun Liu, Weijian Guo. Integrated DNA and RNA sequencing reveals early drivers involved in metastasis of gastric cancer. Cell Death and Disease (2022) 13:392 ; https://doi.org/10.1038/s41419-022-04838-1
扩展阅读
专题集锦 | 信号通路、蛋白翻译后修饰(PTMs)、肿瘤癌症、肺癌、胃癌、肝癌、胰腺癌、乳腺癌、甲状腺癌、鼻咽癌、结直肠癌、巨噬细胞、自噬、泛素、凋亡、焦亡、铁死亡、免疫、炎症、脓毒症、衰老、阿尔茨海默病、肥胖、糖尿病、肾病、血管生成、心脑血管、肝病、呼吸、结核病、皮肤、眼科、妇科、干细胞、外泌体、类器官、组织工程、骨科、新药研发、中医药、多糖、神奇动物、病毒、麻醉……
【胃癌】合集
【肿瘤癌症】合集
【信号通路】合集
【巨噬细胞】合集
【免疫治疗】合集
【多组学】合集
【基因组学】合集
【转录组学】合集
【抗体芯片蛋白组学】合集
【生物医学样本送样手册】合集
【科研攻略】合集
更多专题


