研究背景
肺癌是全球癌症相关死亡的主要原因,其中肺腺癌(LUAD)是最常见的组织学亚型。尽管在LUAD的治疗方法上取得了显著进展,特别是免疫疗法的引入,但许多患者的预后仍然不理想。肿瘤微环境(TME)的复杂性、治疗耐药性以及患者反应的差异进一步加剧了治疗的复杂性。因此,深入了解LUAD的分子机制并开发个性化治疗策略至关重要。
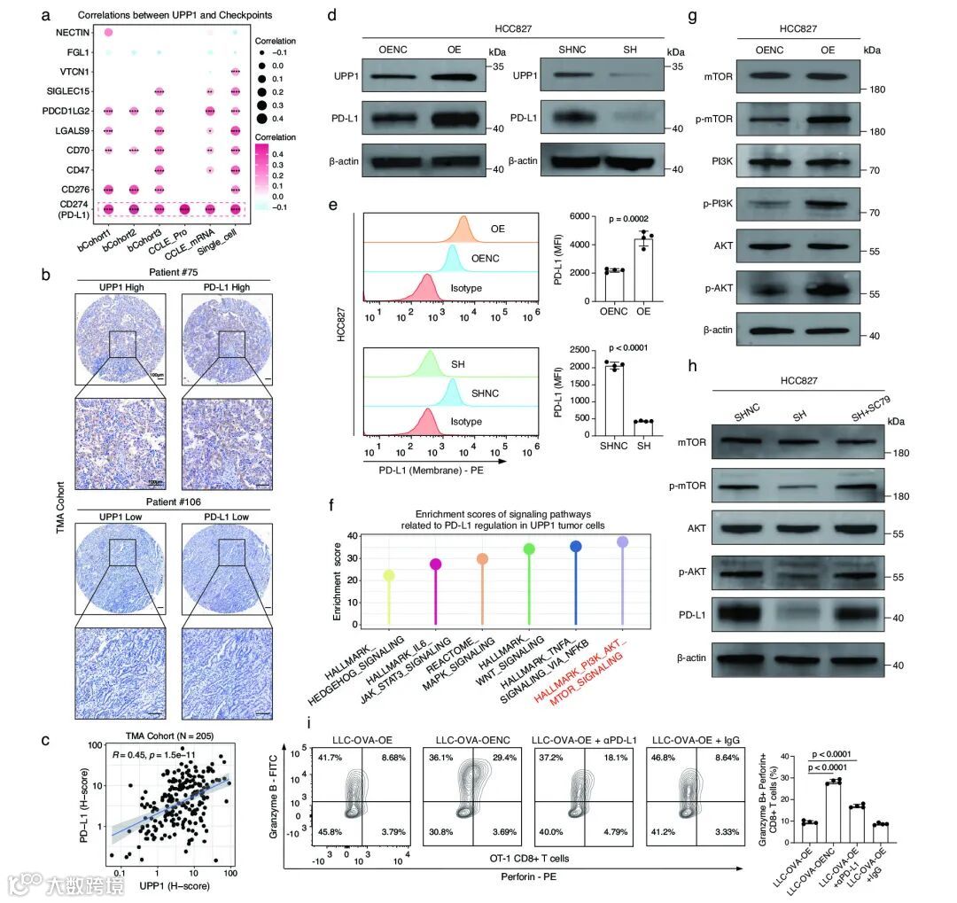
UPP1(尿苷磷酸化酶1)在尿苷代谢中起重要作用,维持体内平衡并帮助嘧啶的补救途径。最近的研究表明,UPP1在LUAD中通过调节肿瘤细胞对糖酵解抑制剂的敏感性,驱动糖酵解途径并促进肿瘤生长。此外,抑制UPP1可以增强抗肿瘤T细胞的浸润,表明UPP1在肿瘤免疫微环境中可能具有重要作用。
杂志名称:Nat Commun
影响因子:14.7
文章题目:UPP1 promotes lung adenocarcinoma progression through the induction of an immunosuppressive microenvironment
第一作者:李银
通讯作者: 卢春来,葛迪,李国平
研究单位:复旦大学附属中山医院胸外科
本研究涉及组学:单细胞转录组,抗体芯片 AAH-CYT-5(同时检测人类样本中80种细胞因子,检测靶标详情请点击下图跳转链接)
实验样本:肿瘤细胞裂解液
研究摘要
本研究通过整合单细胞RNA测序(scRNA-seq)数据和大规模基因表达数据,分析了来自117名LUAD患者的377,574个细胞,发现了一组与预后相关的UPP1高表达肿瘤细胞。这些细胞主要位于肿瘤的侵袭前沿,并与TME中的免疫抑制成分密切相关。研究发现,UPP1的上调导致多种免疫抑制细胞因子的释放增加,特别是TGF-β1,并通过PI3K/AKT/mTOR途径提高PD-L1的表达,从而抑制CD8+ T细胞的活性。进一步的实验表明,UPP1高表达的肿瘤对Bosutinib和Dasatinib表现出更高的敏感性。这些发现揭示了UPP1在LUAD中的免疫抑制作用,并为个性化治疗策略的开发提供了新的见解。
研究结果分析
1. UPP1高表达肿瘤细胞与免疫抑制微环境相关
通过单细胞RNA测序分析,研究发现UPP1高表达的肿瘤细胞与FOXP3+调节性T细胞(Tregs)、MMP11+癌症相关成纤维细胞(CAFs)、LAG3+ PDCD1+ CD8+耗竭T细胞和M2样SPP1+巨噬细胞显著相关。这些细胞群体在TME中具有免疫抑制作用,表明UPP1高表达肿瘤细胞在塑造免疫抑制微环境中起关键作用。
2. UPP1通过TGF-β1依赖的机制驱动免疫抑制
利用RayBio抗体芯片AAH-CYT-5对UPP1高表达肿瘤细胞中80种细胞因子的变化,发现TGF-β1、GM-CSF、IL-1β、IL-6、IGFBP-3、CXCL5、CCL20和VEGF等细胞因子的显著上调,特别是TGF-β1的显著增加。
UPP1的上调导致TGF-β1的显著增加,TGF-β1是TME中主要的免疫抑制因子之一。通过共培养实验,研究发现UPP1高表达的肿瘤细胞能够促进CD4+ T细胞向Tregs分化,并诱导CD8+ T细胞进入耗竭状态。此外,UPP1还通过TGF-β1促进巨噬细胞向M2表型转化,并增强成纤维细胞的促肿瘤特性。
3. UPP1通过PI3K/AKT/mTOR途径调控PD-L1表达
研究发现,UPP1通过激活PI3K/AKT/mTOR信号通路,上调PD-L1的表达。PD-L1的高表达抑制了CD8+ T细胞的杀伤能力,而抑制UPP1可以逆转这一效应。进一步的动物实验表明,抑制UPP1可以增强CD8+ T细胞的细胞毒性,并提高抗PD-L1免疫疗法的敏感性。
4. UPP1高表达肿瘤对Bosutinib和Dasatinib更敏感
通过生物信息学筛选和实验验证,研究发现UPP1高表达的肿瘤对Bosutinib和Dasatinib表现出更高的敏感性。这些药物通过抑制Src家族激酶,干扰UPP1介导的PI3K/AKT/mTOR信号通路,从而抑制肿瘤生长。
讨论与总结
UPP1在LUAD中通过诱导免疫抑制微环境促进肿瘤进展。研究发现,UPP1通过TGF-β1和PI3K/AKT/mTOR途径调控PD-L1的表达,抑制CD8+ T细胞的活性。此外,UPP1高表达的肿瘤对Bosutinib和Dasatinib表现出更高的敏感性。这些发现为LUAD的个性化治疗提供了新的策略,并揭示了UPP1在肿瘤免疫微环境中的关键作用。

文章信息:Yin Li, Manling Jiang, Ling Aye, Li Luo, Yong Zhang, Fengkai Xu, Yongqi Wei, Dan Peng, Xiang He, Jie Gu, Xiaofang Yu, Guoping Li, Di Ge1 & Chunlai Lu. UPP1 promotes lung adenocarcinoma progression through the induction of an immunosuppressive microenvironment. Nature Communications. Published:
【多组学】Adv Mater(IF=27.4):中国大鲵来源糖胺聚糖通过代谢重编程调控巨噬细胞促进糖尿病伤口愈合
【组学关键词:单细胞转录组学、真核转录组学】
【多组学】抗体芯片+RNA测序+单细胞测序 | 揭秘cGVHD-BOS致病“元凶”:克隆性GZMK+CD8+T细胞的关键角色
【组学关键词:单细胞转录组学、转录组学、抗体芯片蛋白组学】
【多组学】AI赋能多组学:生命科学的精准密码又双叒叕拿捏!
【组学关键词:基因组学、转录组学、蛋白组学、代谢组学、微生物组学、单细胞组学、空间组学、类器官、深度学习、人工智能】
【多组学】Cell(IF=45.5) | 人工智能驱动的空间蛋白组学变革性技术
【组学关键词:空间蛋白组学、微流控芯片、微量蛋白组、转录组学】
【多组学】Nature Medicine(2024 IF=58.7)| “肠-肝-脑轴”最新研究成果燃爆2025新篇章!
【组学关键词:宏基因组、转录组学、代谢组学、微生物组学】
【多组学】Nature子刊 | 多组学联合揭露肠道菌群与帕金森病那些藕断丝连的秘密
【组学关键词:转录组学、代谢组学、微生物组学】
【多组学】CNS解读 | 体液-组织联合分析策略优化大队列生物标志物研究的四种思路
【组学关键词:单细胞转录组学、蛋白组学】
【多组学】Nature子刊 | 厉害了!宏基因组+代谢组+万人大队列,揭示每日喝咖啡到底对身体有何影响!
【组学关键词:宏基因组学、代谢组学】
【多组学】View(IF=9.7) | 蛋白组+代谢组助力大规模肿瘤样本标志物筛查
【组学关键词:蛋白组学、代谢组学】
【多组学】11.14 世界防治糖尿病日 | 告别“甜蜜的负担”,质谱联合抗体芯片揭秘糖尿病足溃疡的革命性疗法!
【组学关键词:质谱蛋白组学、抗体芯片】
【多组学】Nature metabolism(IF:18.9) | 转录组+宏基因组+代谢组解密生酮饮食“越吃越瘦”抗肥胖新机制
【组学关键词:宏基因组学、转录组学、代谢组学】
【多组学】CNS主刊 | 外显子+空间转录组解锁遗传密码
【组学关键词:外显子组、空间转录组学、转录组学、单细胞测序】
【组学关键词:微生物组学、宏基因组学、转录组学、代谢组学】
【多组学】PNAS | 单细胞测序+蛋白组学(磷酸化多因子检测芯片)筛选非抑制小细胞肺癌迁移及侵袭的关键靶标CD73/Axl
【组学关键词:单细胞测序、蛋白组学、抗体芯片】
【多组学】Cell(2024 IF:45.5)| 多组学联合揭示营养吸收和宿主防御的差异性调控机制
【组学关键词:微生物组学、单细胞转录组学、真核转录组学、基因组学、蛋白组学、代谢组学】
【多组学】Cell子刊+Nature子刊 | 利用多组学打开微生物代谢通路研究新视角
【组学关键词:宏基因组学、代谢组学】
【多组学】科研私话 | OMG,蛋白组学结果和转录组学竟然不一致!——是哪里出了问题?
【组学关键词:转录组学、蛋白组学】
【多组学】Nat Commun(2024 IF:14.7)| 转录组+蛋白组学揭露大脑如何老化:环境丰富化如何逆转衰老迹象
【组学关键词:转录组学、蛋白组学】
【多组学】多组学的版本升级策略 | “外显子测序+” 深度洞察癌症分子机制,精准定制治疗策略
【组学关键词:全外显子组测序、蛋白组学、宏基因组学】
【多组学】APSB(IF: 14.7)文章解析 | 单细胞转录组+微生物多样性+转录组:联合揭示肠道稳态调节机制
【组学关键词:单细胞转录组学、微生物组学、转录组学】
【多组学】治大国,若烹小鲜 | “蛋白组学+转录组学+……”多组学的版本升级策略
【组学关键词:转录组学、蛋白组学、微生物组学、代谢组学】
【多组学】全外显子组测序+单细胞转录组测序 | 探索癌症的分子机制与治疗策略
【组学关键词:全外显示子组、单细胞转录组】
【多组学】科研私话 | 蛋白组学+转录组学的研究意义究竟何在?
【组学关键词:转录组学、蛋白组学】
【多组学】Cell Mol Immunol(IF: 24.1)| 转录组+蛋白组+芯片剖析IRF1激活机制及在炎症免疫中的作用
【组学关键词:转录组学、蛋白组学、抗体芯片】
【多组学】Cell Host & Microbe(2023 IF: 30.3)| 肠道菌群昼夜有变化,饮食影响非常大!
【组学关键词:16S、宏基因组学、代谢组学】
【多组学】Nat Commun(2024 IF: 14.7)| 肝癌免疫治疗I期研究取得突破,肿瘤微环境分析揭示关键作用
【组学关键词:免疫组库测序、转录组学】
【多组学】Cancer Cell(IF: 50.3)| 乳腺癌基因组变异的共现与互斥对精准治疗的启示
【组学关键词:基因组学、转录组学、蛋白组学、代谢组学、脂质组学】
【多组学】iHMP(人类微生物组整合计划)| Cell Host & Microbe:人体多个部位菌群的稳定性及与宿主的相互作用
【组学关键词:微生物组学、蛋白组学、代谢组学、脂质组学】
【多组学】玩转多组学联合分析,拿捏CNS Paper!
【组学关键词:基因组学、宏基因组学、转录组学、蛋白组学、宏蛋白组学、代谢组学】
【蛋白组学】质谱、Olink与SomaScan在蛋白质组学研究中的跨平台联合策略
【组学关键词:蛋白组学、质谱、Olink、SomaScan】
【多组学】CNS:肥胖那些事 | 涉及组学:单细胞转录组、脂质代谢组、蛋白组、基因组学
【组学关键词:单细胞转录组、脂质代谢组、基因组学、蛋白组学】
【多组学】Nature Cancer(2023 IF:22.7) | 大型中国乳腺癌队列多组学研究
【组学关键词:基因组学、转录组学、蛋白组学、代谢组学、放射组学、数字病理学】
【多组学】Nature(2023 IF:64.8)| 基因组与代谢组联合的mGWAS助力疾病研
【组学关键词:基因组学、代谢组学】
【多组学】宏基因组学×代谢组学 | 解锁肠道菌群与人体疾病的作用机制
【组学关键词:宏基因组学、代谢组学】
【蛋白组学】科研私话 | 蛋白组学是不可替代的吗?
【组学关键词:基因组学、转录组学、蛋白组学、蛋白芯片、代谢组学】
【代谢组学】技术文档——微生物测序粪便样本收集SOP
【组学关键词:16S/18S/ITS扩增子测序、宏基因组测序】
【多组学】Nature Microbiology(2022 IF 30.964) | 多组学研究慢阻肺病呼吸道菌群-宿主互作机制
【组学关键词:宏基因组学、代谢组学、转录组学、蛋白组学(高通量抗体芯片)】
【多组学】Blood最新封面文章解读 | 单细胞及多组学揭示补体C1Q促进急性骨髓性白血病(AML)的髓外浸润(EMI)和复发
【组学关键词:单细胞测序、外显子测序、转录组测序、蛋白组学】
【蛋白组学】关于宏蛋白质组学数据分析你应该知道的
【组学关键词:蛋白组学、宏组学、宏蛋白组学】


