
杂志名称:
Nature
文献题目:
Zhang L, Zhang S, Yao J, et al.Microenvironment-induced PTENloss by exosomal microRNA primes brain metastasisoutgrowth[J]. Nature, 2015.
本实验所用产品:
人细胞因子抗体芯片AAH-CYT-3(42个因子)
实验样品:
细胞上清
研究背景:
肿瘤转移至远处器官生长需要肿瘤细胞可以适应转移位点巨大不同的环境,并且能够共同生长。来自相同起源的肿瘤细胞在转移至不同器官后表现出完全不同的基因表达模式。转移的肿瘤细胞与各个转移器官位点的外部信号之间的动态交互作用对随后的转移肿瘤生长起到至关重要的作用。然而,播散的肿瘤细胞何时及以何种方式获得转移器官微环境的必要特征,从而成功转移及生长,目前还不得而知。目前的研究发现,人和小鼠肿瘤细胞都正常表达PTEN,但是在肿瘤细胞转移到大脑后,PTEN表达显著降低,而其他器官并没有发现此现象。更为有趣的是,在肿瘤细胞离开大脑微环境时PTEN表达又逐渐恢复。PTEN水平缺失的逆转可以通过位于大脑和脊髓中的星形胶质细胞的miRNAs来诱导完成,星形胶质细胞可以分泌包含靶向作用PTEN的miRNAs的外泌体,并且通过外泌体将PTEN靶向的miRNAs从细胞间转移至肿瘤细胞中。另外,脑转移肿瘤细胞PTEN缺失导致CCL2表达水平增加,CCL2募集表达IBA1的髓细胞,其增强脑转移肿瘤细胞的生长,保护肿瘤细胞免于死亡。
研究思路
IDEAS
1、样品
细胞上清
2、结果
2.1 脑微环境依赖性可逆PTEN在脑转移肿瘤中表达下调
如下图所示,与原代乳腺癌肿瘤细胞比较,脑转移性肿瘤细胞PTEN表达显著降低;同样的肿瘤细胞分别注射脑和乳腺脂肪垫,结果显示PTEN在脑组织中表达显著低于MFP肿瘤细胞。

2.2 脑肿瘤微环境如何调控PTEN的降低
将不同肿瘤细胞与脑神经胶质细胞(90%以上是星形胶质细胞)、肿瘤相关成纤维细胞、小鼠NIH3T3胚胎成纤维细胞共培养,发现与星形胶质细胞共培养的肿瘤细胞PTEN的mRNA和蛋白表达水平都显著降低。且如果抑制星形胶质细胞活性,PTEN的表达会增高。

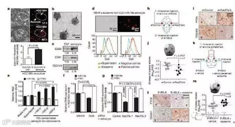
2.3 星形胶质细胞通过外泌体将PTEN靶向miRNAs从细胞间转移到肿瘤细胞中

2.4 脑依赖PTEN丢失如何促进转移性肿瘤细胞的生长
RayBiotech抗体芯片筛查表达PTEN的肿瘤细胞与不表达PTEN的肿瘤细胞分泌因子的差异,结果显示稳定表达PTEN的肿瘤细胞CCL2的分泌水平显著低于对照。各种实验结果表明脑转移肿瘤细胞PTEN缺失导致CCL2表达水平增加,CCL2募集表达IBA1的髓细胞,增强脑转移肿瘤细胞的生长,保护肿瘤细胞免于死亡。

结 论
Conclusion
该研究表明转移性肿瘤细胞中PTEN应对不同器官微环境有很大的可塑性,PTEN在转移性肿瘤细胞和它们的微环境之间动态和互作中起到关键作用。该研究对肿瘤转移的治疗提供很好的新思路。RayBiotech抗体芯片帮助研究者寻找到PTEN的缺失导致CCL2表达增加,从而促进肿瘤转移生长,抗体芯片在寻找疾病分子机制方面起到重要作用。
RayBiotech作为国际领先的蛋白芯片和免疫产品专业供应商,拥有世界上种类最多的抗体芯片及ELISA及产品,其产品检测灵敏度高,种属多样,包括涵盖人、小鼠、大鼠、猪、马、牛、猴、犬、猫、兔等多个种属。使用RayBio公司产品发表的文献达到数千篇。
做芯片,找RayBiotech!





