Hello,仙女们大家好
俗话说,一白遮三丑
美白不仅是长期活,
还是系统性的活
只要皮肤白,
就能成为人群中
最闪耀的一个

研究美白产品越深,越觉得美白实属不易,但不是无计可施。难就难在“辛苦美白100天,一朝不防晒便毁所有”;难在各种心浮气躁(追求神速);在不切实际的白(美白是有限度的,不会无限度的白下去)。

然而,只要方法合理正确,搭配合理的话,我们是完全可以在美白的路上做到事半功倍。
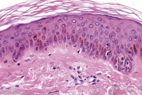
紫外线照射皮肤时会引发黑素细胞合成黑素,并转运至角质形成细胞,这是皮肤为了避免受到更多紫外线伤害的自我防御机制。
正是因为黑素可以吸收和阻挡部分紫外线,黑素转运至角质形成细胞,会聚集在细胞核 上方形成“核帽效应”,更好地保护细胞核免受损伤。

除了使皮肤晒黑之外,紫外线会加重黄褐斑、雀斑等色素性皮肤病,还可导致晒斑的产生。UVA穿透力强,可直达真皮层,使胶原纤维和弹性纤维断裂,导致皮肤老化和皱纹形成。

紫外线能直接损伤细胞遗传物质DNA,也可以通过激活氧自由基造成细胞膜和DNA的氧化损伤,严重的话还会导致细胞氧化应激水平 增加、炎症状态、肿瘤、细胞衰老和凋亡。

紫外线也是皮肤癌的重要诱发因素。不想做防晒措施又让皮肤年轻水润嫩白是不可能的,任何未加防护措施的日晒都会伤害皮肤。有人认为只 有皮肤晒伤潮红疼痛时日光才对皮肤造成伤害,其实即使在阴天户外活动时,紫外线都能穿过云层,对皮肤造成负面影响。

紫外线对皮肤的损伤是有累加效应的,短时间内可能看不出变化,假如平时是严格注意防晒的话,随着年 龄的增长,十年二十年之后,您的肌肤状况会比不注意防晒的更年轻靓丽。

或者如果您年龄在40岁以上,可以对比暴露部位皮肤(如面部、额头、前臂外侧)和较少暴露于日光的皮 肤(臀部、大腿内侧),看看哪个部位的肤色更均匀,更紧实有弹性?
皮肤表层的水分,对维持皮肤健康,防御外界的各种刺激,防止皮肤老化及保持皮肤滋润、柔软都具有重要的意义。

水分减少时,皮肤生理代谢减慢,并且变得干燥,水分减到10%以下时,肌肤的张力与光泽会消失,角质层也比较容易剥落,皮肤会变得干枯暗哑。

因此,保持皮肤角质层含水量,是护肤工作的重中之重。皮肤美白需要兼顾考虑保湿,选用保湿性能好的美白产品或者辅助使用保湿产品,保持皮肤水分,维持皮肤角质层生理功能所需的水分含量,可以保障皮肤的完整性、表皮水平衡和角质细胞有序地脱落。
临床实验证实,外用维生素C、维生素E、辅酶Q10等抗氧化剂可以有效的预防紫外线的损伤,延缓光老化和减轻皱纹、色素沉着。

辅酶Q10也有不错的美白功效
外用含有抗氧化成分的护肤品,以及适量摄入维生素C、维生素E,以及含有巯基、多酚类物质如花青素、茶多酚等具有抗氧化活性的物质,可以降低皮肤内氧自由基水平,有助于减少色素沉着,延缓皮肤老化。

抗氧化物质金字塔
选择美白产品时,要注意可以换用不同美白成分的美白产品,或者选择不用美白成分搭配的美白产品。

皮肤变黑与很多因素有关,有些人变黑可能是因为紫外线,有的可能是遗传,内分泌,炎症,物理刺激等其它因素。

同时皮肤变黑的过程中,皮肤相关组织及细胞都会发生一系列的变化,涉及机体的很多途径。所以,皮肤在变黑的过程中,不同的美白成分在不同阶段发挥的作用就有很大的差异,实现多途径美白。

比如美白成分可以针对清除自由基、抑制黑素细胞增殖、抑制酪氨酸酶的合成、抑制酪氨酸酶的活性、阻止黑素向角质细胞转移、促进生成的黑素代谢等多种路径。
1. 脸色泛黄
应对脸色泛黄的问题,主要从防晒、抑制色素沉着加快老化角质的代谢入手,简而言之,就是去黄。

另外,还要注意肌肤的糖化问题,可以考虑加强日常的防晒、抗衰老工作,美白产品可以考虑选用例如含维生素 C 及其衍生物、阿魏酸、烟酰胺、泛醌、肌肽等成分的产品,另外可以定期的使用含果酸的产品清除老化角质。
2. 黄褐斑
黄褐斑的病因比较复杂,并且受身体的内分泌影响很大,所以黄褐斑的治疗除了使用美白祛斑产品,还需要养成良好的生活作息习惯,调整心态。黄褐斑的治疗周期一般较长,需要较好的耐心。
严重的黄褐斑需要到皮肤科门诊治疗,轻度的黄褐斑可以通过美白淡斑的产品,淡化色斑,改善肤色。

黄褐斑的治疗,防晒工作是必不可少的;淡化黄褐斑的产品,可以考虑选用含有强效抑制黑素生成的成分,例如:4-丁基间苯二酚、己基间苯二酚、苯乙基间苯二酚、二甲氧基甲苯基-4-丙基间苯二酚、光甘草定等;
不同的美白成分复配可以明显加强淡化色斑的效果,例如含有水杨酸、乳酸、羟基乙酸等成分可以加快已形成的色斑脱落。
3. 晒斑
晒斑为正常的肌肤经暴晒后产生的急性炎症反应,严重的话需要前往皮肤科就诊,尽快对晒伤的部位进行护理,以避免出现炎症后色素沉着。

皮肤护理的产品,可以选用含有甘草亭酸、红没药醇、丹皮酚、积雪草提取物等成分的产品,帮助炎症的消退;另外,要严格加强皮肤的防晒措施,以免皮肤再受伤。
4. 炎症后色素沉着PIH
炎症后色素沉着主要是皮肤急性或慢性炎症后出现的皮肤色素沉着。炎症后色素沉着的常见原因是、接触了刺激源或者皮肤损伤引起的,严重的痤疮也会留下深色的痘印。
该类型肌肤问题的美白产品,应该考虑炎症消退的成分,如甘草亭酸、红没药醇、积雪草等。浅表性的炎症后色素沉着,炎症后数周内可逐渐消退。
使用水杨酸、乳酸、羟基乙酸等成分的产品,加快角质层的剥离,可以显著加快色素的消退。着色部位较深的色素沉着,色素消退时间的周期较长。
美白的产品太多了,搞清楚自己的色素情况以及美白成分,很容易选到合适自己的产品,愿各位小仙女都白成一道光!
以上~就是本期内容,想要了解更多产品相关问题可以直接留言或者添加小可官方微号:fankol666


