


图1:肝纤维化、肝硬化和肝衰竭背后的免疫机制示意图 [1]

图2:CCL4致病机制 [2]
对乙酰氨基酚诱导急性肝损伤模型
机制:对乙酰氨基酚(APAP)的毒性与肝内代谢有关。在肝内,少量APAP可以被CYP2E1酶降解为高毒性的活性代谢物N-乙酰-对-苯醌亚胺(NAPQI)。少剂量的NAPQI可以被线粒体中的内谷胱甘肽(GSH)解除毒性。对乙酰氨基酚诱导小鼠肝损伤的机制为当APAP过量时,其代谢过程产生大量的NAPQI,超过了GSH的解毒能力,未被清除的NAPQI与细胞内线粒体结合,破坏线粒体膜并最终导致肝细胞坏死。

方法:在末次给药12h后,对小鼠腹腔注射300mg/kg APAP溶液进行造模。在末次给药30min后对大鼠皮下注射450mg/kg APAP溶液制造大鼠急性肝损伤模型。

图4:CCL4诱导肝纤维化4周肝脏病变情况

图5:CCL4造模8周血生化和肝指数结果

Bile duct ligation model
Animal:C57BL/6 mice, 7-8 week
Pathologic analysis in liver:H&E, Sirius red

图7:胆管结扎诱导肝纤维化肝脏病变图

图8:胆管结扎模型肝组织病理H&E染色结果图

图9:胆管结扎模型肝组织病理Sirius red染色结果图
APAP induced acute liver injury model
Animal:C57BL/6 mice, 6-8 week
Serum biochemical:ALT, AST
Pathologic analysis in liver:H&E

图10:APAP诱导急性肝损伤肝组织肝指数结果图

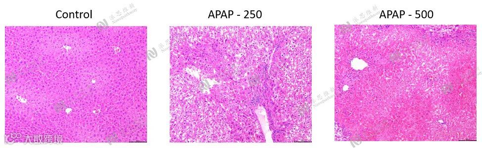
图11:APAP诱导急性肝损伤肝组织病理H&E染色结果图
Alcohol induced chronic liver injury model
Animal:SD rat, male, 8-9 week
Serum biochemical:ALT, AST, TG
Pathologic analysis in liver:H&E

图12:酒精诱导慢性肝损伤模型8周血生化结果
图13:酒精诱导慢性肝损伤肝组织病理H&E染色结果图
Novopathway
2023
派思维新现有模型清单


更多信息
请登录派思维新官方网站
www.novopathway.com
- 上下滑动查看参考资料 -
[1]: Neshat SY, Quiroz VM, Wang Y, Tamayo S, Doloff JC. Liver Disease: Induction,Progression, Immunological Mechanisms, and Therapeutic Interventions. Int J MolSci. 2021 Jun 24;22(13):6777. doi: 10.3390/ijms22136777.
[2]:Scholten D, Trebicka J, Liedtke C, Weiskirchen R. The carbon tetrachloride model in mice. Lab Anim. 2015 Apr;49(1 Suppl):4-11. doi:10.1177/0023677215571192.
[3]: Cai X, Cai H, Wang J, Yang Q, Guan J, Deng J, Chen Z. Molecular pathogenesis of acetaminophen-induced liver injury and its treatment options. J Zhejiang Univ Sci B. 2022 Apr 15;23(4):265-285. English. doi: 10.1631/jzus.B2100977.
[4]: Caligiuri A, Gentilini A, Pastore M, Gitto S, Marra F. Cellular and Molecular Mechanisms Underlying Liver Fibrosis Regression. Cells. 2021 Oct 15;10(10):2759. doi: 10.3390/cells10102759.
[5]: Lai M, Afdhal NH. Liver Fibrosis Determination. Gastroenterol Clin North Am. 2019 Jun;48(2):281-289. doi: 10.1016/j.gtc.2019.02.002. Epub 2019 Apr 1.
[6]: Kisseleva T, Brenner D. Molecular and cellular mechanisms of liver fibrosis and its regression. Nat Rev Gastroenterol Hepatol. 2021 Mar;18(3):151-166. doi:10.1038/s41575-020-00372-7. Epub 2020 Oct 30.
[7]:Roehlen N, Crouchet E, Baumert TF. Liver Fibrosis: Mechanistic Concepts andTherapeutic Perspectives. Cells. 2020 Apr 3;9(4):875. doi: 10.3390/cells9040875.
[8]:Aydın MM, Akçalı KC. Liver fibrosis. Turk J Gastroenterol. 2018Jan;29(1):14-21. doi: 10.5152/tjg.2018.17330.
[9]: Ezhilarasan D. Molecular mechanisms in thioacetamide-induced acute and chronic liver injury models. Environ Toxicol Pharmacol. 2023 Apr;99:104093. doi:10.1016/j.etap.2023.104093.
[10]:张守堂,万国靖,李璐. 药物性肝损伤机制的研究进展[J]. 药学服务与研究,2017,17(1):39-42. DOI:10.5428/pcar20170113.
[11]:韩玉梅,鄢丹,胥秀英,等. 肝脏疾病动物模型的分类与应用[J]. 中药材,2010,33(4):644-647.
[12]:徐博, et al."肝损伤动物模型的研究进展." 中国当代医药 26.14(2019):38-40+44.
图文信息均汇总于专业期刊,如有错误欢迎指正!
往期推荐
2023-07-08
2023-06-14
2023-06-13
期待您的
分享
点赞
在看


