点击蓝字 关注我们
紧固件
紧固件在制造过程中,由于设计不合理、选材不当、成形工艺、热处理和表面处理工艺不当等原因都会造成紧固件产生表面或内部缺陷,达不到质量要求。
01
紧固件常见的因原材料缺陷原因造成的产品缺陷
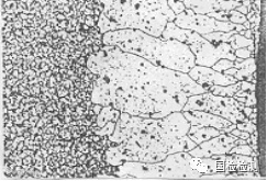
材料表面裂纹造成紧固件表面裂纹,见图10-4;原材料表层粗晶环造成紧固件表层粗晶环,见图 10-5;原材料表面脱碳造成紧固件表面脱碳,见图10-6;原材料表面折叠造成紧固件表面折叠,淬火后开裂,见图10-7。
图10-4 螺栓表面裂纹 1×
图10-6 螺钉表面脱碳 ×3
图10-5 螺栓杆部粗晶环 ×100
图10-7螺栓表面折叠裂纹 ×50
02
紧固件成形工艺与加工工艺不当造成缺陷
紧固件失效工艺缺陷原因有尺寸超差、螺纹精度不够;高强度螺栓头杆联接处未进行冷挤压;变形不当造成的晶粒不均匀等。裂纹在粗细晶粒交界处产生并扩展, 见图10-8。螺栓头部金属流线没有沿螺栓头部外形分布,见图10-9。
图10-8粗细晶粒交界面上的裂纹 ×50
图10-9螺栓头部不合格金属流线 50×
03
螺纹滚压工艺不当造成的缺陷
螺纹滚压时要求毛坯直径和滚压压力符合工艺要求,当毛坯直径过大或滚压压力过大时,经滚压螺纹后有时螺纹端中心呈开口孔洞或出现内部中心封闭孔洞,中心呈开口孔洞见图10-10(a);螺纹端中心呈开口孔洞的螺钉,其端面中心会呈不规则的孔洞缺陷,该缺陷不要与缩孔残余相混淆。螺钉螺纹端头表面中心呈不规则孔洞缺陷,见图10-10(b)。
图10-10(b)螺钉螺纹端中心不规则孔洞
图10-10(a) 螺钉螺纹端中心开口孔洞
04
自锁螺母加工工艺不当安装时收口端产生裂纹
锁螺母的自锁性能靠螺母收口后产生,自锁螺母的收口方式主要有两种形式,两点收口和三点收口。尺寸过小,螺母起不到自锁作用;收口尺寸过大,螺母装配时收口端容易产生裂纹,见图10-11。
图10-11 螺母收口端裂纹 ▲
05
表面处理工艺不当造成的产品缺陷
电镀螺栓没有及时除氢,氢含量较高,使用中易发生氢脆断裂,见图10-12。
图10-12螺栓氢脆断口形貌
06
热处理工艺不当造成的产品缺陷
(1) 紧固件热处理时因淬火温度过高、淬火保温时间过长、淬火冷却介质选择不当、淬火冷却操作不当、均会造成淬火裂纹。螺栓、螺母的淬火裂纹见图10-13(a) 、图10-13 (b)。
(2) 高温合金热处理固溶时保护不当的表面层晶界氧化
高温合金紧固件的固溶热处理要采用真空炉固溶或采用氩气保护固溶,如果漏气或真空度不够或氩气保护不好,均会造成紧固件表层晶界氧化,见图10-14。
(3)45钢销子淬火裂纹
处于淬火开裂临界尺寸范围的碳素钢紧固件淬火时,冷却速度不当容易产生淬火裂纹。Φ6㎜45钢销子淬火时产生纵向裂纹,见图10-15。
←
图10-14 表面层晶界氧化 100×
→
图10-15 结构钢销子淬火裂纹
上周失效文章的谜底,大家猜到了吗?
(1)试样失效模式为沿晶脆性断裂;
(2)引起试样断裂的根本原因是试样回火不充分导致硬度过高,攻牙时在螺纹处产生微裂纹。
你的好友国检检测拍了拍你
并请你帮她点一下“分享”
球分享
球点赞
球在看

