搜索
首页
大数快讯
大数活动
服务超市
文章专题
出海平台
流量密码
出海蓝图
产业赛道
物流仓储
跨境支付
选品策略
实操手册
报告
跨企查
百科
导航
知识体系
工具箱
更多
找货源
跨境招聘
DeepSeek
首页
>
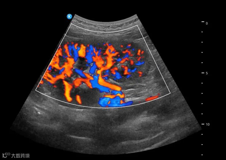
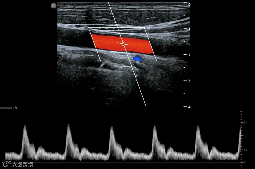
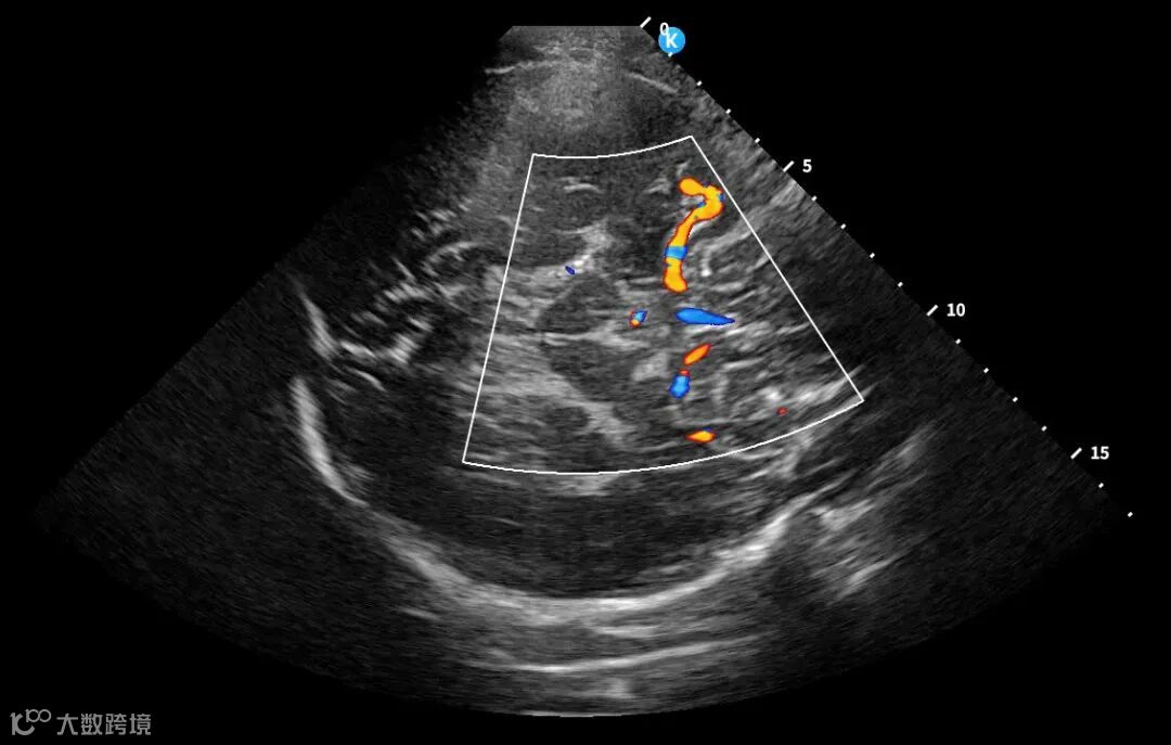
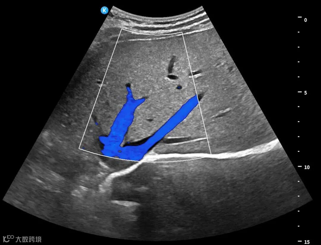
乙巳蛇年迪拜上“新” | 鲲为超分辨超声亮相Arab Health
>
乙巳蛇年迪拜上“新” | 鲲为超分辨超声亮相Arab Health
鲲为科技
2025-01-30
3
导读:鲲为科技 向新出发
与会国际医者交流互鉴
【声明】内容源于网络
0
0
鲲为科技
深圳鲲为科技有限公司是以突破性原创技术引领,并致力于下一代超分辨超声开发的专业影像设备公司。
内容
13
粉丝
0
关注
在线咨询
鲲为科技
深圳鲲为科技有限公司是以突破性原创技术引领,并致力于下一代超分辨超声开发的专业影像设备公司。
总阅读
22
粉丝
0
内容
13