上海
2025
CMEF
Wait for flowers to bloom
From tomorrow on I will be a happy man
可以放慢脚步,逐一感受周围的痕迹
可以坐在那里,尽情凝视,任自己沉浸其中
可以穿梭于大厦之间,流连于灵魂深处
在近日举办的第91届中国国际医疗器械博览会(CMEF)上,鲲为科技以“超脑风暴”为主题,通过全线超声产品展示、颅脑超声创新临床解决方案发布会及第九届"一带一路"超声医学新技术新设备论坛三大板块,向全球医疗行业展现了国产高端医疗设备的突破性进展。
颠覆性技术发布
引发现场沸腾
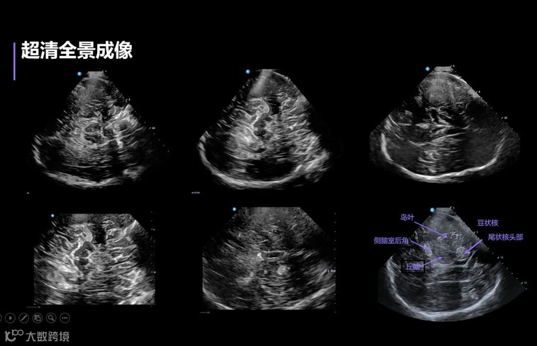
展会首日,鲲为科技推出的kOS超声系统平台成为全场焦点。在“超脑风暴——创新临床解决方案发布会”现场,公司创始人刘家家先生为我们揭开“超分辨超声成像”的原生创新之路。
传统超声在颅脑应用领域受限于颅骨屏障,鲲为科技独创的kOS成像平台,运用独特的全模态平面波、SRBF超分辨波束合成以及UP超穿探头,依托于强大的GPU处理能力,在业内首次实现了超高穿透力与深部分辨率的完美结合,得到了深部超分辨图像,开启超分辨超声新时代。
BRAIN STORM
超脑风暴
颅脑超声创新临床解决方案
鲲为临床专家在会上首次发布“颅脑超声临床解决方案”,并通过动态影像展示了这项创新性技术在颅脑神经疾病中的临床应用价值。
该方案为神经退行性病变如帕金森病的早期诊断和鉴别诊断、急性出血性卒中评估、脑血管病的筛查等提供了全新临床应用场景,颅脑超声的应用必将推动急诊卒中筛查、神经疾病等临床场景的诊疗革新。
超分辨成像开启颅脑超声新时代
New Era of
Super-Resolutin Transcranial Sonography
以帕金森病为例
Parkinson's disease
鲲为颅脑超声解决方案为帕金森早期诊断与鉴别诊断提供了全新临床应用场景,将推动神经疾病等临床场景的诊疗革新。为帕金森疾病的及早发现更早干预,带来积极临床价值。
创新技术学术论坛
共绘行业蓝图
同期举办的第九届"一带一路"超声医学新技术新设备论坛汇聚了逾200位行业专家。在中国装备协会超声装备分会指导下,与会学者围绕经颅超声,超分辨成像等前沿技术展开,分享了超分辨成像在颅脑的临床应用,探讨颅脑超声质控与前景,还涉及常见脑血管病诊断、超声在神经外科及腹部的应用,以及脑科学投资思考,为超声在颅脑疾病诊断开辟了新的应用场景,促进了学术交流与行业发展。
聚焦前沿成果
推动超声医学创新发展
The 9th "Belt and Road" Ultrasonic Medical New Technology and new Equipment Forum
第九届“一带一路”超声论坛
王金锐教授
北医三院超声医学科主任医师、教授
毓星教授
国家卫健委能建超声专家委员会名誉主任
超声装备技术分会常务副秘书长
刘家家 CEO
深圳鲲为科技有限公司
万明习 教授
西安交通大学
张迎春 教授
苏州大学附属第二医院
刘禧 教授
空军特色医学中心
邢浩 教授
北京协和医院
郑剑教授
香港中文大学(深圳)医院
周艳华 CCO
深圳鲲为科技有限公司
本次论坛内容丰富,涵盖超声医学多领域前沿进展。参会人员借此了解前沿动态,获取新思路和方法。未来,超声医学将朝着精准化、智能化、便携化发展,科研人员、临床医生和企业将共同努力,提升超声成像质量和诊断水平,推动超声设备创新升级,为全球健康事业贡献更大力量。
展会期间,鲲为科技展台汇聚海内外专业观众,其全球首发的kOS超分辨成像系统及颅脑超声创新临床解决方案,在医学影像领域引发现象级关注。此次里程碑式展示不仅重新定义了行业技术新标准,更彰显了企业"以原创科技驱动临床变革"的核心理念,为后续布局精准医疗生态圈注入强劲动能。

