近日,清华大学附属北京清华长庚医院神经外科郭毅主任团队成功完成一例在“低频高分”经颅超声实时监测下的脑脓肿穿刺抽吸手术。
该手术将鲲为的低频经颅探头与术中导航系统相结合,在精准清除病灶的同时,首次在临床实践中系统性地验证了该新型超声技术在颅内介入操作中的卓越精准性与可靠性,标志着神经外科术中影像监测技术取得了新的进展。
脑脓肿是颅内一种严重的感染性疾病,穿刺抽吸是有效的治疗手段。
然而,手术成功的关键在于穿刺路径的精准无误,以避免对周围正常脑组织及功能区的损伤。传统手术多依赖术前的CT或MRI影像进行规划,无法实现真正的实时引导。
本次手术中应用的鲲为“低频高分”经颅超声成像技术,成功破解了这一难题。
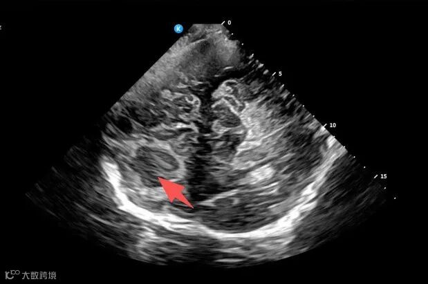
低频设计增强了超声波的颅骨穿透能力,能够在术中透过骨窗显示颅内结构;
而超高分辨率成像特性,则让术者能够实时“看见”穿刺针尖的精确位置以及脓肿的形态变化。
手术过程中,术者在常规使用术中导航系统的同时,将鲲为超声的低频经颅探头置于手术对侧。
超声屏幕上的图像清晰展示了脓肿的位置、大小及其与周围血管的关系。
随着穿刺引流管在超声的实时引导下缓缓进入,术者可以清晰地观察到引流管的轨迹正精准地朝向脓肿目标。
在穿刺成功的瞬间,超声图像实时显示了脓肿被成功穿刺以及脓液被顺利抽吸和反复冲洗的过程。
超声实时导航下,脑脓肿穿刺手术所抽吸脓液和冲洗液
整个操作过程流畅、直观,超声监测结果与术中导航系统显示的位置高度吻合,展示了该技术的精准性。
术后患者恢复良好,未出现任何神经功能损伤等并发症
本次手术的成功,展示了该技术在临床中的应用价值:
1. 实现真正“实时可视化”手术:该技术为医生提供了“动态的透视眼”,解决了传统静态导航的滞后性问题,大幅提升了手术的安全性与精准度;
2. 优化手术流程,提高效率:实时成像和监测,缩短了手术时间,为抢救赢得了宝贵窗口;
3. 验证技术可靠性:通过与金标准之一的术中导航系统对比以及术后复查,证实了“低频高分”经颅超声在可以满足高标准的神经外科需求;
4. 拓展应用前景:此次成功为该项技术在脑肿瘤活检、颅内血肿穿刺、深部电极植入等更多神经外科领域中的应用提供了坚实的实践依据。
北京清华长庚医院神经外科郭毅主任在术后评价道:
“术中超声技术已经比较成熟,但传统术中超声需要开颅以避免颅骨干扰,但鲲为的这项经颅超声技术为我们提供了前所未有的术中实时视野。它像是一台‘便携式的术中MRI’,让我们在操作时更有信心,能够更安全、更彻底地清除病灶。
这无疑是神经外科术中监测技术的一次重要飞跃。”
随着“低频高分”经颅超声成像技术在临床的不断深入,鲲为正与国产高端医疗设备一同为脑部疾病的诊疗提供了新的实时影像方案,为国产高端医疗设备在神经影像方向带来新的应用情景。

