
什么是早期矫治?
早期矫治是指在儿童早期生长发育阶段,一般指青春生长发育高峰期及之前,对已表现出来的牙颌畸形、畸形趋势及可导致牙颌畸形的病因进行预防、阻断和治疗。
常见问题包括反𬌗、开𬌗、萌出异常、扭转、𬌗干扰、偏𬌗、系带短等,医生需要进行判别,这些问题是不是早期矫治的适应证及矫治时机。
早期矫治的目标
维持牙颌面正常生长发育的环境。
尽可能消除造成错𬌗畸形的病因。
例如及时破除各种口腔不良习惯。

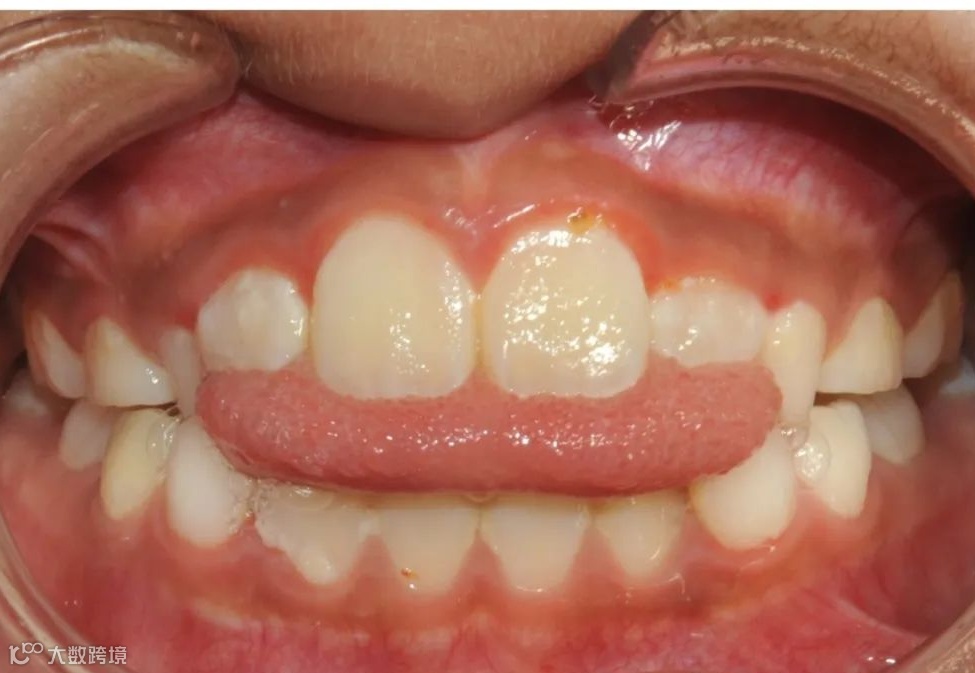
吐舌不良习惯 
吐舌不良习惯导致开𬌗
防止已发生的畸形进一步加重。
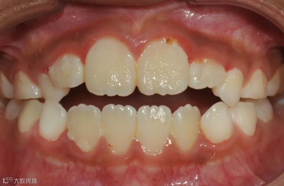
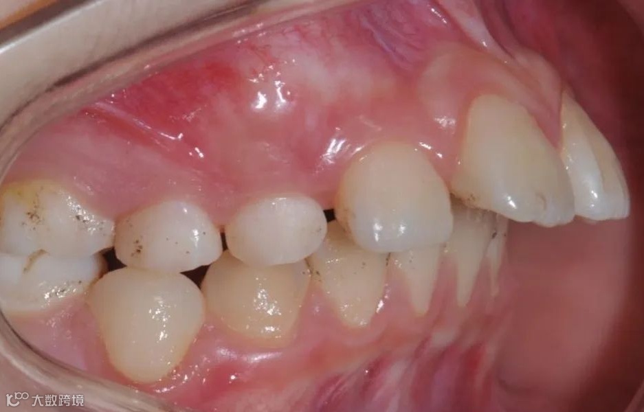
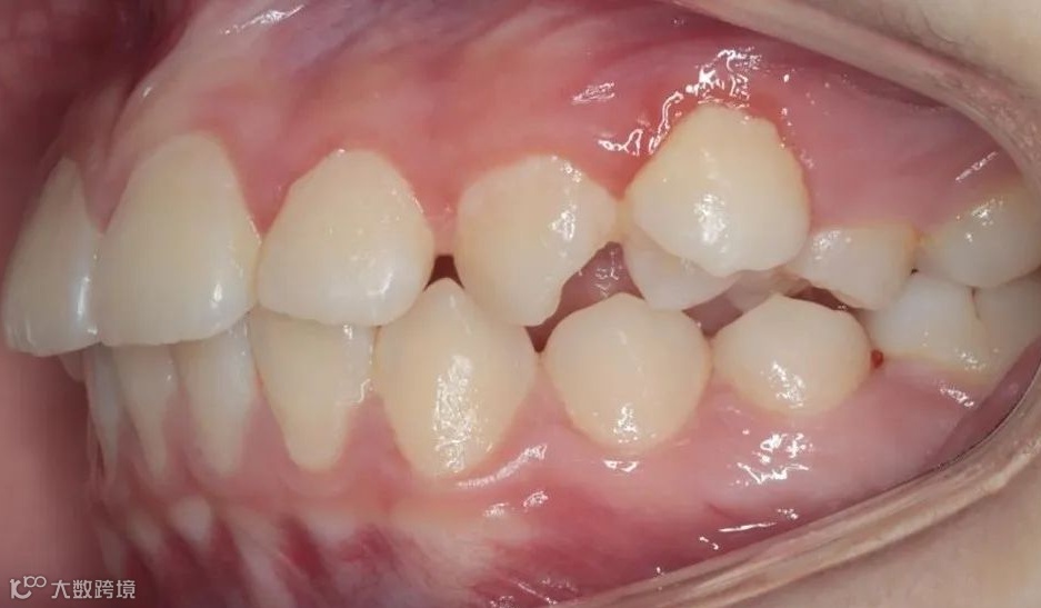
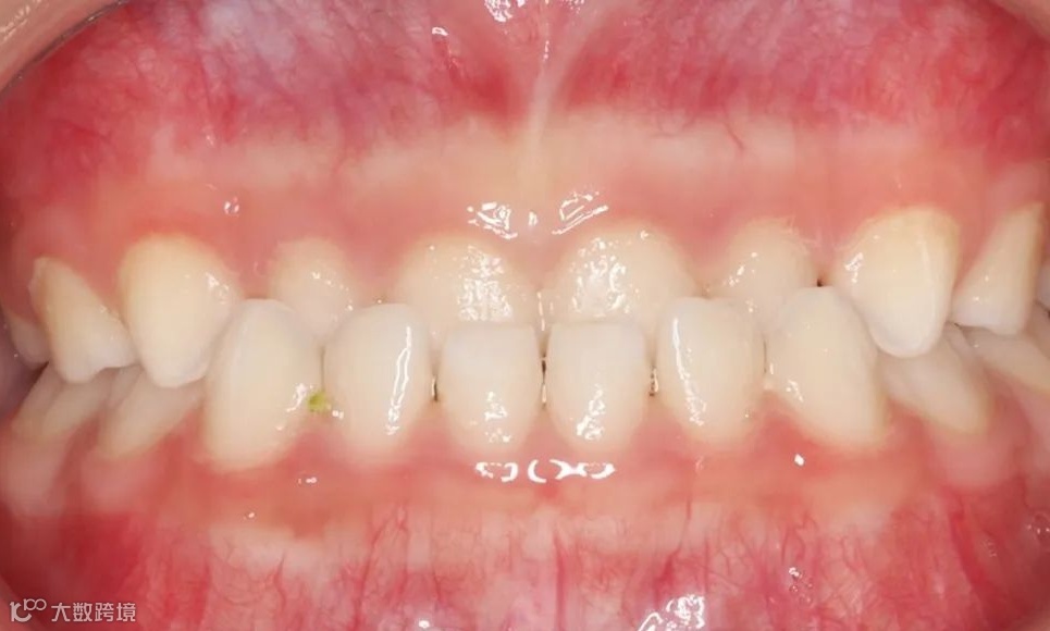
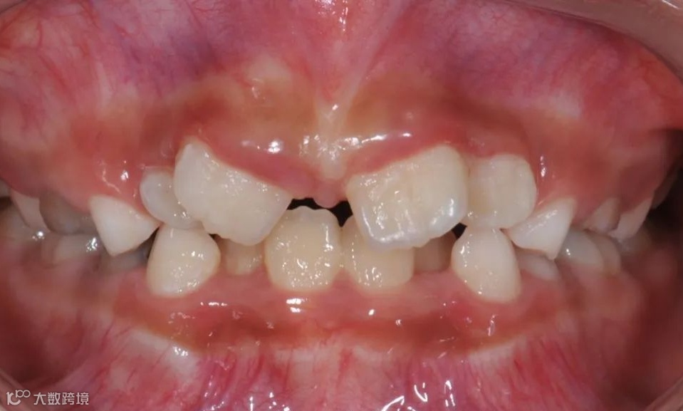
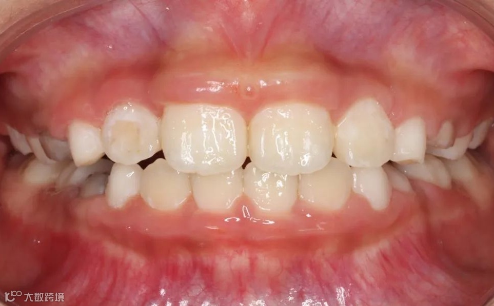
例如牙性及功能性反𬌗需早期干预,防止进一步加重为骨性反𬌗。

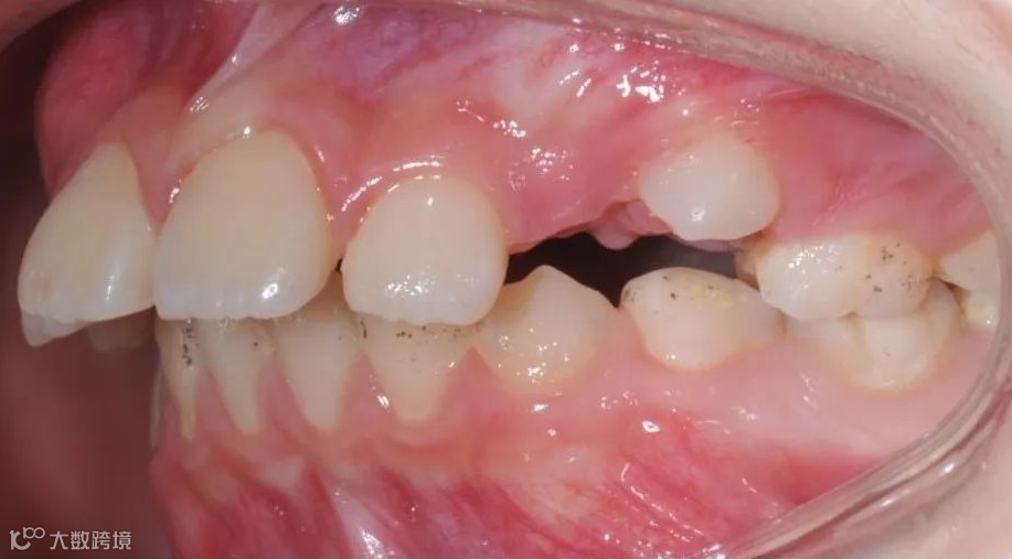
替牙期牙性反𬌗治疗前

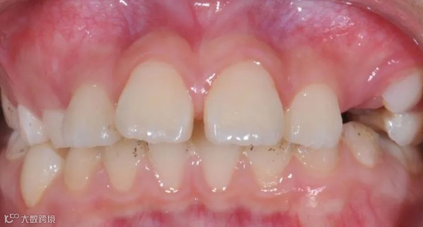
替牙期牙性反𬌗治疗后
改善不良的颌骨形态、生长型和颌骨间位置关系。
例如下颌发育不足的早期生长改良,可促进下颌骨的发育。

治疗前右侧咬𬌗相

治疗前正面向咬𬌗相

治疗前左侧咬𬌗相

治疗前正面相

治疗前侧面相
患儿戴用Twin-Block矫治器,在引导下颌向前的同时扩宽上颌牙弓,内收上前牙。

治疗后右侧咬𬌗相
治疗后正面咬𬌗相

治疗后左侧咬𬌗相

治疗后正面相

治疗后侧面相
建立相对正常的口颌功能。
改善儿童的社会心理发育。
早期治疗的优势
早期矫治可充分利用生长发育的潜力,对矫治力反应好、适应性强。
早期矫治可降低某些复杂牙颌畸形的治疗难度,改善骨性畸形的不调关系,有利于后期的正畸治疗,甚至免除后期的正畸及正颌治疗。

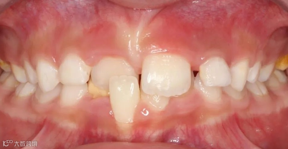
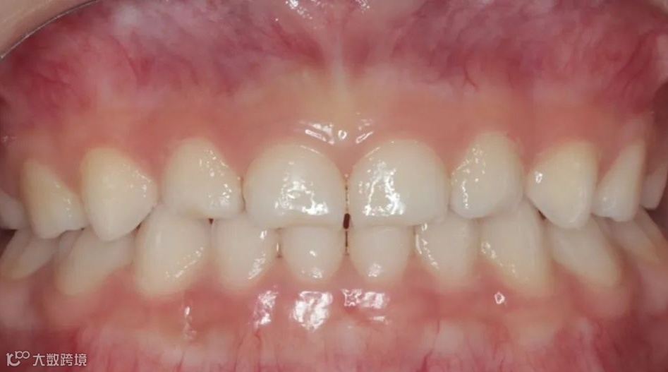
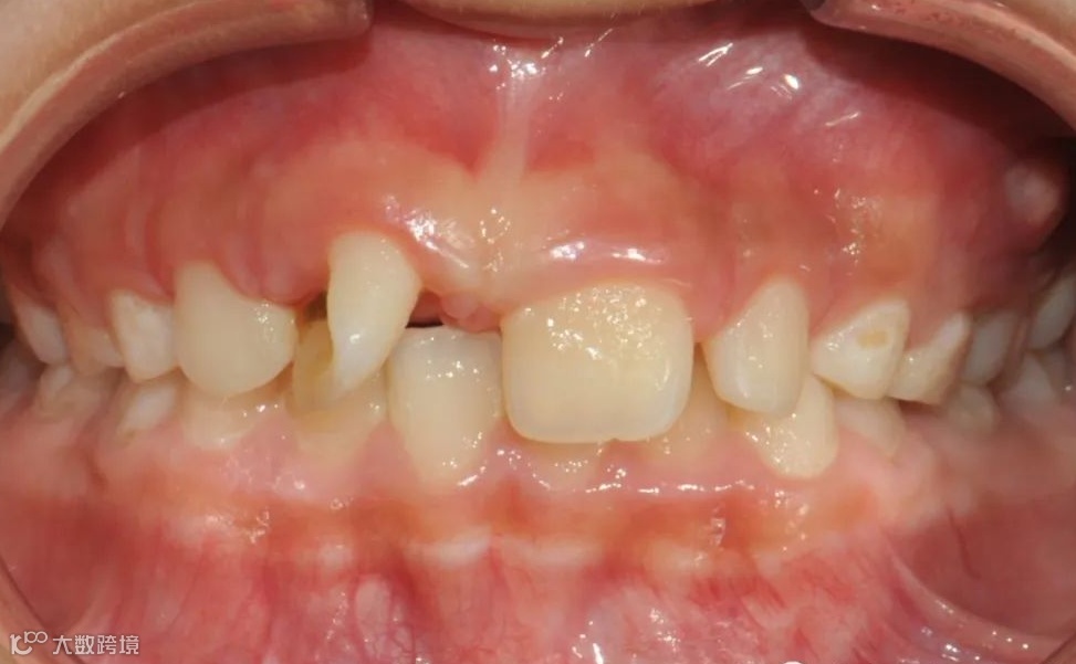
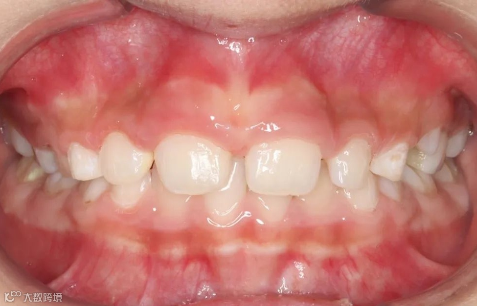
乳牙反𬌗治疗前

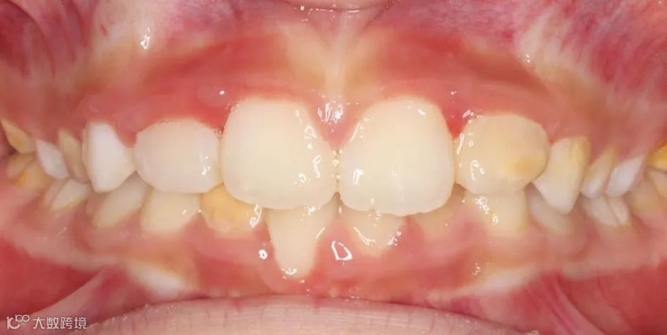
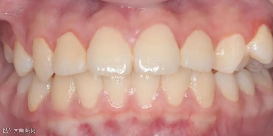
乳牙反𬌗治疗后
早期矫治选择的矫治方法和矫治器较为简单,疗程不长。

治疗前

治疗中(4个月后)
治疗后(6个月后)

治疗前
治疗后(6个月后)
早期矫治及时消除了畸形,防止畸形给儿童造成的生理和心理伤害,有益于儿童身心健康成长。

治疗前正面咬𬌗相

治疗后正面咬𬌗相

治疗前正面微笑相

治疗后正面微笑相
早期矫治的局限性
4月23日晚上20:00
爱特佳诚邀简从相老师做客直播间
为大家带来
“儿童早期矫治精品案例分析”
感兴趣的医生朋友们一定不能错过
扫描下方二维码
获取直播链接

同时
爱特佳在每月有两场直播
邀请的都是儿牙早矫领域的大咖
分享儿牙早矫经验
感兴趣的医生朋友们
关注本公众号
点击左下角“直播回放”
即可获取更多


成就医生·造福患者


